Сообщество - Москва даром | Новости

Москва даром | Новости

1 029 постов 791 подписчик

Популярные теги в сообществе:

1049

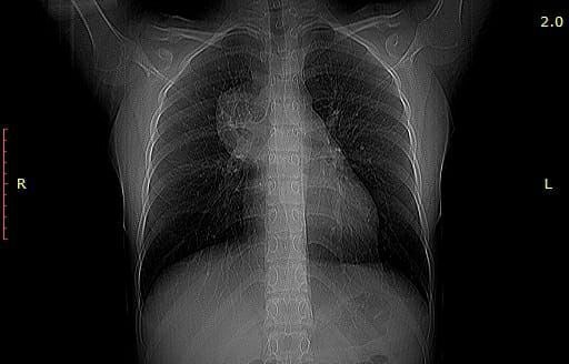
Опухоль в груди 15-летней девочки оказалась ее неразвившимся близнецом

Источник Москва Дарит Новости

Врачи ГБК им. Сперанского обнаружили у пациентки опухоль. Во время операции хирурги поняли, что новообразование содержит много разных видов тканей - жировую, хрящевую, волосы. Оказалось, что это неразвившийся плод близнеца пациентки.

Операция прошла успешно, жизни девочки ничего не угрожает.

Опухоль в груди 15-летней девочки оказалась ее неразвившимся близнецом

Пруф

6

Праздничный салют в честь Дня Победы запустят с 36 площадок в Москве

Источник Москва Дарит Новости

Залпы дадут в 22:00 после завершения всех праздничных мероприятий

Показать полностью 2
71

В Марьино бабушка заявила в полицию об изнасиловании внучки-гимнастки, чтобы забрать ее из семьи

Источник Москва Дарит Новости

Бабушка заявила в полицию об изнасиловании внучки-гимнастки, чтобы забрать ее из семьи и сделать чемпионкой!

В Марьино бабушка заявила в полицию об изнасиловании внучки-гимнастки, чтобы забрать ее из семьи

Бабушка заявила в полицию об изнасиловании внучки-гимнастки, чтобы забрать ее из семьи и сделать чемпионкой!

Семейная драма развернулась в одной из квартир на улице Луговой проезд в районе Марьино в Москве. Несколько дней назад в полицию позвонила встревоженная пожилая женщина, которая сообщила о регулярном сексуальном насилии в отношении 9-летней школьницы Марины И.* По словам звонившей, над девочкой издевается ее собственный отец. Назвать оперативникам свое имя женщина отказалась, однако передала полицейским адрес проживания семьи и попросила их срочно задержать преступника.

На место сразу была направлена оперативная группа. Полицейские позвонили в квартиру подозреваемого и уже готовились к худшему, но дверь открыл приличного вида дедушка, очень удивившийся внезапным гостям в погонах. Николай Петрович* подтвердил, что здесь действительно живет семья Ивановых: его сын, 46-летний Виктор*, 18-летний внук Павел* и 9-летняя внучка Марина*. По словам дедушки, Виктор с сыном отлучились в магазин, а внучка сейчас на занятиях в спортивной школе.

Дедушка пригласил полицейских зайти и с гордостью рассказал, что юная Марина - будущая чемпионка. Школьница успешно занимается художественной гимнастикой, побеждает в различных соревнованиях и даже имеет несколько кубков за первые места. Осмотрев квартиру и подробно расспросив пенсионера о его родных, полицейские убедились, что приехали в дом обыкновенной семьи. Тогда оперативники рассказали Николаю Петровичу о странном анонимном звонке с сообщением о тяжком преступлении в отношении несовершеннолетней Марины.

Дедушка объяснил полицейским, что это хулиганит их родственница - родная бабушка детей. Ранее пенсионерка уже угрожала семье различными проблемами, если те не отдадут ей внучку. По словам Николая Петровича, мама ребятишек Ирина долго и тяжело болела. Полгода назад женщины не стало. После смерти Ирины, ее мать, 65-летняя Галина Сергеевна*, захотела забрать себе 9-летнюю Марину. Пенсионерка хотела увезти девочку на свою малую родину в Йошкар-Олу и там растить из школьницы спортивную чемпионку так, как она считает нужным.

По словам пенсионера, отец детей отказал бабушке в неадекватном требовании, после чего их отношения совсем испортились. Теперь бабушка периодически пытается устроить семье «подлянку» и уже дошла до ложных сообщений в полицию.

«После сообщения от неизвестной женщины о преступлениях сексуального характера в отношении 9-летней школьницы Марины И.*, был осуществлен выезд по месту проживания ребенка. Полицейские опросили родных девочки, ее соседей по дому, а также обследовали квартиру, где проживает семья. Информация о преступлении против половой неприкосновенности ребенка подтверждения не получила. Родственники девочки утверждают, что ложное сообщение могла оставить бабушка школьницы, которая находится в ссоре с ее отцом», - рассказал источник в правоохранительных органах.

В настоящее время полиция проводит проверку. Оперативникам предстоит разобраться в сложных взаимоотношениях между родственниками в семье 9-летней гимнастки Марины И.*


Пруф

Показать полностью 1
11

В Подмосковье началась миграция лосей

Источник Москва Дарит Новости

Будьте осторожнее - животные могут выбежать на проезжую часть. Чаще всего сохатых можно встретить с 11 часов вечера до 2 часов ночи и с 5 до 9 утра.

В Подмосковье началась миграция лосей
93

Спящий на ветке мужчина развеселил жителей Красногорска

Источник: Москва даром | Новости

Прохожие увидели отдыхающего прямо у водоема - одно неловкое движение, и бодрое пробуждение в холодной воде обеспечено, но мужчину это явно не беспокоило

Показать полностью 2
10

В ТЦ Гагаринский произошла драка между охранниками и покупателями

Источник: Москва даром | Новости

По словам очевидцев, конфликт начался из-за пары пакетов с продуктами.

Охранники попросили показать чек, а двое мужчин - отец и сын - на просьбу отреагировали резко. Тогда в дело пошли кулаки: трое охранников попытались скрутить покупателей, а затем несколько раз ударили их.

Когда на место приехали росгвардейцы, мужчины уже ушли. Продукты они оставили в магазине.

Отличная работа, все прочитано!