Серия «Рентгенология.»

7

Последствия перенесенной болезни Пертеса

Болезнь Пертеса (полное название: болезнь Легга-Кальве-Пертеса) — это заболевание возникающее в детском возрасте, при котором нарушается кровоснабжение головки бедренной кости, это приводит к ее некрозу и последующей деформации.

Рентгенография левого тазобедренного сустава молодого пациента с жалобы на боли ,ограничение движений в суставе.

Головка левой бедренной кости овоидно деформирована, уменьшена в размере, вертлужная впадина деформирована, уплощена, склерозирована, суставная щель неравномерно сужена. Шейка бедренной кости укорочена, расширена. Заключение: Признаки перенесенной болезни Пертеса левого тазобедренного сустава, вторичный коксартроз слева 2 ст.

Наиболее вероятно такая рентгенологическая картина сложилась вследствие не пролеченной болезни Пертеса в детском возрасте, что привело к деформации головки бедренной кости, вторичным изменениям в суставе.

Категория годности с данным диагнозом по ст.65(Хирургические болезни и поражения костей, крупных суставов, хрящей:)б-В(ограниченно годен к в/сл).

https://t.me/MME_SurgeryRadiolodgy

Показать полностью 1
0

Ложный сустав локтевой кости

Ложный сустав(псевдоартроз)-это осложнение после перелома, когда костные отломки не срастаются, а между ними формируется соединительная/рубцовая/хрящевая ткань и своеобразная «суставная щель», которой в этом месте быть не должно.

  1. Причины возникновения:

    • Недостаточная иммобилизация.

    • Нарушение кровоснабжения в области перелома.

    • Попадание мягких тканей между отломками.

    • Инфекция в области перелома (остеомиелит).

    • Общие факторы: плохое питание, курение, сахарный диабет, остеопороз.

  2. Основные симптомы:

    • Патологическая подвижность в том месте, где в норме кость должна быть неподвижной.

    • Боль при нагрузке (может быть не всегда сильной).

    • Деформация конечности.

    • Снижение функции (невозможность нормально опереться на ногу или использовать руку).

  3. Лечение:
    Лечение ложного сустава почти всегда хирургическое. Консервативные методы неэффективны. Основные виды операций:

    • Костная пластика: Удаление рубцовой ткани между отломками и заполнение дефекта костным трансплантатом .

    • Стабильный остеосинтез: Скрепление отломков с помощью пластин, штифтов или стержней, которые прочно фиксируют кость для создания условий для сращения.

    • Компрессионно-дистракционный остеосинтез (аппарат Илизарова): Использование специального аппарата внешней фиксации, который позволяет постепенно сближать отломки и стимулировать рост новой костной ткани.

В анамнезе у молодого пациента травма-падение на улице, с последующим обращением в травмпункт, где был диагностирован перелом дистального конца левой лучевой кости без значительного смещения, была наложена гипсовая лонгета 3х месячной давности.

Визуализируется горизонтальная линия просветления в дистальной трети диафиза левой локтевой кости(перелом),выраженное разрастание периостальной костной мозоли вокруг линии перелома, ось кости сохранена, контуры отломков локтевой кости склерозированы. Заключение: Ложный сустав(псевдоартроз) левой локтевой кости.

При неосложненном переломе локтевой кости без смещения, полное сращение (консолидация) кости занимает в среднем от 6 до 8 недель.

При наличии ложных суставов освидетельствуемым призывникам предлагается хирургическое лечение. Заключение о категории годности к военной службе выносится после окончания лечения в зависимости от его результатов. При отказе от операции освидетельствование проводится по по пунктам "а", "б", "в", в зависимости от степени нарушения функции конечности.

То есть, при отказе от оперативного лечения, итоговая категория годности по ст.81- В(ограниченного годен к в/сл)-для I, II граф., Б(годен к в/сл с незначительными ограничениями)-для графы III.

https://t.me/MME_SurgeryRadiolodgy

https://vk.com/club223629464

Показать полностью 3
5

Антеверзия(загиб) копчика

Загиб копчика — это не медицинский диагноз, а описательный термин, который может означать аномальный изгиб или изменение положения копчика относительно его нормального положения.

Копчик в норме имеет небольшую естественную кривизну, направленную вперед. Проблемы возникают, когда этот изгиб становится слишком выраженным, резким или направленным под неправильным углом.

В норме крестцово-копчиковый угол, определяемый на рентгенограмме в боковой проекции, составляет 150 ± 3,7 градусов. Этот угол измеряется между линией, проходящей через крестцово-копчиковое сочленение, и линией, проходящей через верхушку копчика.

Рентген крестца и копчика в боковой проекции пациентки 30 лет., жалобы на боли в копчике при длительном положении сидя, травму в анамнезе отрицает.

Травматических, деструктивных изменений крестца и копчика не выявлено. Костная структура не изменена. Крестцово-копчиковый угол-90 градусов(норма-150 ± 3,7 градусов).

Заключение: Антеверзия копчика.

Копчик сильно загнут вперед, что является наиболее частой причиной кокцигодинии (боли в копчике).

У призывников данный диагноз практически не встречается, в основном такая патология выявляется у женщин молодого-среднего возраста(1-Строение таза: Женский таз шире и более развернут вперед по сравнению с мужским. Это приводит к иному углу наклона копчика и делает его более выступающим кпереди. 2-Подвижность копчика: У женщин копчик обладает большей подвижностью (особенно во время родов). Эта подвижность, хотя и функционально необходима, делает его более уязвимым для травм и смещений при падении или длительном сидении на твердой поверхности. 3- Гормональный фактор: эстроген косвенно влияет на эластичность связок и сухожилий. Хотя это необходимо для репродуктивной функции, это также может способствовать меньшей стабильности крестцово-копчикового сочленения.)

Категория годности с диагнозом антеверзия копчика по ст.66д-Б3(годен к в/сл с незн.огран.)

https://t.me/MME_SurgeryRadiolodgy

https://vk.com/club223629464

Показать полностью 3
7

Брахидактилия

Это врождённая аномалия развития, характеризующаяся укорочением пальцев кистей и/или стоп из-за недоразвития или отсутствия фаланг.

На Р-граммах правой кисти в 2х проекциях: травматических, деструктивных изменений не выявлено. Структура костной ткани не изменена. Средняя фаланга пятого пальца укорочена, утолщена. По остальным отделам кисти-без явной костной патологии.

Заключение: Врожденная аномалия развития правой кисти- брахидактилия (брахифалангия) средней фаланги пятого пальца правой кисти.

Категория годности с данным диагнозом по ст.67(Отсутствие, деформации, дефекты кисти и пальцев), г) при наличии объективных данных без нарушения функций-Б3(годен к в/сл с незначительными ограничениями).

https://t.me/MME_SurgeryRadiolodgy

https://vk.com/club223629464

Показать полностью 2
6

Дефект костной ткани головки плечевой кости

Возрастная пациентка, занимающаяся тяжелым физическим трудом, на протяжение 10 лет отмечала наличие болей в левом плечевом суставе, за помощью не обращалась, лечилась самостоятельно НПВС(таб., мазь),миорелаксанты, с временным незначительным положительным эффектом.

Описание: Структура костной ткани с участками кистовидной перестройки. Суставная щель неравномерно умеренно-значительно сужена, субхондральный склероз суставной поверхности гленоида, краевые остеофиты головки плечевой кости. Субакромиальное пространство сужено. Нижне-медиальный край головки плечевой кости находится на 1.75см выше нижнего суставного края гленоида. В верхнем полюсе головки плечевой кости определяется дефект костной ткани размером 2.5х1.6см,неправильной овальной формы, контур сrлерозирован,дефект повторяет форму нижней поверхности акромиона.

Заключение: ДОА левого плечевого сустава 2-3ст.Дефект костной ткани головки левой плечевой кости(наиболее вероятно как следствие выраженного, продолжительного импиджмент синдрома).Подвывих головки левой плечевой кости.

-Говоря простыми словами нижняя поверхность акромиона "продавила" головку плечевой кости, образовав тем самым крупный костный дефект.

-Категория годности при данном диагнозе по ст.65(Хирургические болезни и поражения костей, крупных суставов, хрящей:), а-Д(не годен к в/сл). по I, II, III графам.

https://t.me/MME_SurgeryRadiolodgy

https://vk.com/club223629464

https://boosty.to/mme_surgery_radiology

Показать полностью 2
2

Ребро Люшка

Ребро Люшка - врожденная аномалия развития ребра в виде удвоения его переднего отдела

В редких случаях может вызывать синдром верхней апертуры грудной клетки , приводящий к:

-компрессии плечевого сплетения (боль, онемение в руке);

-сдавлению подключичной артерии/вены (нарушение кровообращения, тромбоз).

-Иногда ошибочно принимается за опухоль или фиброзные изменения.

Категория годности к военной службе по ст.69г-Б3(годен к в/сл с незначительными ограничениями)

https://t.me/MME_SurgeryRadiolodgy

https://vk.com/club223629464

https://boosty.to/mme_surgery_radiology

Показать полностью 3
3

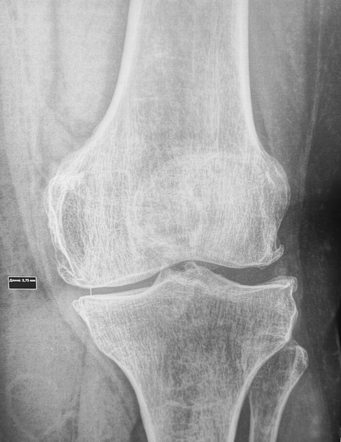
Стресс-перелом мыщелка большеберцовой кости

Стресс-перелом – это трещина в кости, вызванная повторяющимися нагрузками, а не единичным травматическим воздействием.

Основные причины:

  • Хронические микротравмы (бег, прыжки, маршировка)

  • Остеопороз (снижение плотности костей)

  • Резкое увеличение физической активности

  • Недостаток питательных веществ (дефицит кальция, витамина D)

  • Неправильная техника движений (в спорте)

Частые локализации:

  • Кости стопы (плюсневые кости, особенно у бегунов – "маршевый перелом")

  • Большеберцовая кость

  • Бедренная кость

  • Кости таза

Симптомы:

  • Ноющая боль, усиливающаяся при нагрузке

  • Отечность в области перелома

  • Болезненность при надавливании

  • Уменьшение боли в покое

Диагностика:

  • Рентген (на ранних стадиях может не показать перелом)

  • МРТ или КТ (более точные методы)

Лечение:

  1. Покой – исключение нагрузок на 4–8 недель.

  2. Фиксация (гипс, ортез, костыли при необходимости).

  3. Обезболивание (НПВС)

  4. Физиотерапия (магнитотерапия, ультразвук).

  5. Постепенное возвращение к нагрузкам после заживления.

  6. Коррекция питания (кальций, витамин D).

Косая линия просветления костной ткани в медиальном мыщелке левой б/б кости, сужение рентгенологической щели левого коленного сустава в медиальных отделах до 3.7,краевые остеофиты, субхондральный склероз суставной поверхности, заострение, деформация межмыщелковых возвышений. Заключение: Стресс-перелом медиального мыщелка левой большеберцовой. Гонартроз слева 2 ст.

Категория годности по ст.85(Временные функциональные расстройства костно-мышечной системы, соединительной ткани, кожи и подкожной клетчатки после лечения болезней, ранений, травм, отравлений и других воздействий внешних факторов) Г-временно не годен к военной службе сроком на 3 мес., с последующим оформление с диагнозом гонартроз 2 ст. по ст.65в-В(ограниченно годен к в/сл).

https://t.me/MME_SurgeryRadiolodgy

https://vk.com/club223629464

https://boosty.to/mme_surgery_radiology

Показать полностью 5
11

Компрессионный перелом позвонка

В анамнезе падение с дерева, появление болей в нижнем грудном отделе позвоночника, медикаментозное лечение с не выраженным временным положительным эффектом.

Снижение высоты передних отделов тела Th11 позвонка в пределах 25% относительно высоты задних отделов. Дегенеративно-дистрофические изменения.S-образное искривление оси позвоночника. Клиновидная деформация тела Th11 позвонка 1ст. как следствие компрессионного перелома.

Категория годности по ст.85(Временные функциональные расстройства костно-мышечной системы, соединительной ткани, кожи и подкожной клетчатки после лечения болезней, ранений, травм, отравлений и других воздействий внешних факторов)- Г -временно не годен к военной службе, с последующим оформлением по ст.81(Последствия переломов позвоночника, костей туловища, верхних и нижних конечностей)(последствия стабильных переломов тел одного или нескольких позвонков с клиновидной деформацией I степени, незначительным болевым синдромом и кифотической деформацией позвоночника I степени;)в - В(ограниченно годен к военной службе)

https://t.me/MME_SurgeryRadiolodgy

https://vk.com/club223629464

https://boosty.to/mme_surgery_radiology

Показать полностью 4
Отличная работа, все прочитано!