Моя непостоянная рубрика: Будни приёмника. Разрыв почки
Пожилая пациентка поступила в приёмный покой с пиелонефритом (боль в боку, температура, слабость, тошнота). После общего расспроса выяснилось, что около трёх недель перед госпитализацией она пролежала дома с температурой и той самой болью в боку.
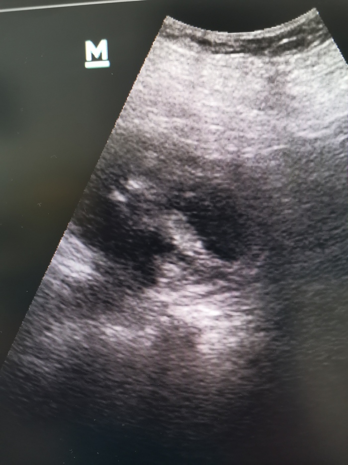
На УЗИ почка особо не изменена (кисты не в счёт). Кроме одного "но". На снимке видно, что как бы вокруг почки имеется жидкостный, достаточно плотный компонент. Вероятно, это кровь, то есть гематома. Факт травмы пациентка отрицает. Или не помнит.
В динамике проведено КТ почек с контрастом. Исключен тяжёлый разрыв почки. Так как разрыв не проникает в полостную систему, где собирается моча. Почка не оторвана от питающих сосудов. Нет увеличения размеров гематомы.
Возможная причина – давняя травма, о которой пожилая пациентка не помнит.
В результате неё мог произойти спонтанный небольшой разрыв почки с образованием подкапсульной гематомы, которая сдавила почку и кровотечение остановилось.
Со временем содержимое гематомы начало воспаляться (длилось это около недели) и в итоге привело женщину к нам в больницу. Где была оказана соответствующая помощь.
Конец этой истории благополучный.
Мораль проста и коротка. Всë же стоит обращаться на приём к врачу как можно раньше, если есть какие-либо вопросы по своему здоровью. Чтобы решать их своевременно и с минимальным риском осложнений.
По такому случаю напомню. Можно получить консультацию написав мне в телеграм
Перед консультацией ознакомтесь, пожалуйста, с закрепленным сообщением.
Так же на моём канале можно читать публикации раньше, чем они появляются тут.
Дальше - больше


