Садовая жижка под микроскопом
И снова, добрый вечер, товарищи! Продолжаю рассматривать воду в саду. Как обычно, всё самое интересное в видео.
Начну с большой колонии сувоек. Я не трогал жижу примерно 3 дня и после вскрытия баночки, на поверхности воды обнаружился толстый налёт. Именно его и я взял для просмотра.
160x, тёмное и светлое поле
640x, светлое поле
Видео с сувойками
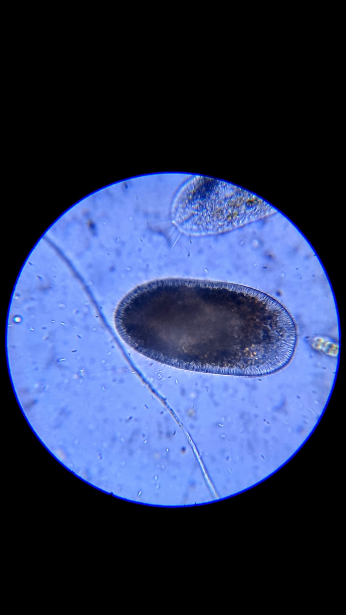
Дальше встретил нескольких инфузорий дилептусов. Это большие плавающие слоники, которые охотятся на других инфузорий, а иногда даже нападают на коловраток
И ещё, из интересного - инфузопия спиростомум. Похожа на червяка, но это не он, вроде как))





































