guilmor

Пикабушник
alx49
alx49 оставил первый донат
51К рейтинг 1904 подписчика 0 подписок 63 поста 35 в горячем
Награды:
10 лет на Пикабуболее 1000 подписчиков
324

Гигантская опухоль в груди. Хирургия

Всем привет. Сегодня расскажу о недавно прооперированной пациентке с крупной опухолью, расположенной в средостении (точно внутри груди).

Пациентке 68 лет и у неё сложная история заболеваний. В 2015-16 годах пациентка прошла лечение рака левой молочной железы и прошла успешно. На сегодняшний день признаков рецидива болезни нет. В 2021 году пациентке удалили крупный зоб (увеличенная щитовидная железа). И вот, в 2023 году, кто-то из врачей всё-таки решил посмотреть повнимательнее контрольную КТ органов грудной полости, которую регулярно выполняют всем онкологическим пациентам.. А на этой КТ обнаружена крупная опухоль средостения (красный цвет), которая расположена между такими важными структурами, как правое лёгкое (розовый цвет), трахея (зелёный цвет), пищевод (голубой цвет), аорта (жёлтый цвет). Размер опухоли достигал 10 см.

Вид сверху:

Вид сбоку:

Интерес в том, что, как это часто бывает, жалоб у пациентки не было. Как правило, это связано с тем, что опухоль существует давно, растёт медленно, и организм не переживает резких изменений в своей работе. Тем не менее, с учётом большого размера опухоли, смещения ею пищевода, трахеи, лёгкого, принято решение эту штуку удалить.

Операция выполнялась открыто, то есть через классический разрез, без видео, поэтому фиксации самой операции у меня нет, зато есть фото удалённой опухоли:

При гистологическом (под микроскопом) исследовании опухоли установлен диагноз внутригрудного зоба. То есть вся эта опухоль является щитовидной железой, которая когда-то спустилась с шеи в груди, там прижилась и развилась до таких размеров.

Загрудинный зоб – это аномально низко расположенная (ниже грудины) и патологически увеличенная щитовидная железа. Такое расположение зоба характерно для аутоиммунного тиреоидита, диффузного токсического зоба, на фоне хронического йодного дефицита, а также при врожденной эктопии (смещения положения) железы.

Всем спасибо!

Показать полностью 2
3896

Кое-что крутое из хирургии

Привет. Сегодня кратко расскажу о хирургической лечении довольно редкой неонкологической болезни легкого.

_________________________

Почта для советов по поводу хирургии, онкологии органов грудной полости - pikabu.onco@gmail.com. По поводу другой патологии я не отвечаю. Диск с КТ при наличии присылайте сразу же.

_________________________


Пациентке 70 лет. Длительное время отмечает боль и дискофорт где-то под лопаткой слева. В какой-то момент женщина решается пойти к врачу, выполняется КТ органов грудной полости, на которой обнаруживается новообразование в задних отделах левой плевральной полости:

При контрастном усилении выявляется крупная артерия (красный цвет), идущая откуда-то из живота и впадающая в это новообразование.

Как я ни пытался, я не смог вывести сосуд в одну плоскость, так как сильно извит, поэтому на картинке он выглядит оборванным:

Этот патологический сосуд подсказал нам верный диагноз. В данном случае речь идет о секвестрации легкого:


Легочной секвестрацией  называются участки нефункционирующей легочной ткани, получающие аномальное кровоснабжение из системного сосудистого русла и не связанные с трахеобронхиальным деревом. Секвестр не связан с воздухоносными путями и не имеет функционального кровотока. Кровоснабжение секвестра, в отличие от других аномалий развития легких, осуществляется изолированным сосудом, отходящим непосредственно от аорты.


Секвестрация может болеть, может воспалится. Она является причиной неверного диагноза. Часто пациентов с секвестрацией долго и упорно лечат от пневмонии, которую ошибочно диагностируют при помощи рентгенографии грудной клетки, не прибегая к КТ. Таким образом, мы приходим к необходимости сексестрацию удалять.

В данном случае секвестрация расположена в нижней доле легкого, то есть, в теории, надо удалять нижнюю долю легкого. Но мы решили попробовать сохранить шестой сегмент легкого, так он не вовлечен в процесс и, в приципе, при типичном строении сосудистого русла, его не так сложно оставить.


Сегментарное строение левого легкого для понимания того, что мы хотим удалить (8-10 сегменты), а что оставить (6 сегмент)

Далее этапы операции (скорокть 1,5х). Входим в полость, поднимаем лёгкое, осматриваем зону интереса. визуализируем тот самый патологический сосуд:

Нехитрыми движениями сосуд выделяется , под него поводится сшивающий аппаратом, сосуд пересекается:

Далее в междолевой борозде нужно отыскать артерии. Артерию шестого сегмента нужно увидеть и  сохранить. Выделяем и прошиваем артерию, которая питает только 8-10 сегменты:

Вену я выделил чуть раньше. Схема такая же - аппарат, прошиваем, пересекаем:

Пересечение бронха и самого легкого я записал крайне некачественно, показать тут нечего

После удаления препарата мы наливаем воду для проверки герметичности легкого. Мы видим раздувающуюся верхнюю долю легкого (зеленый) с сохраненным шестым сегментом (красный):

Все,  операция закончена. Осталось поставить дренаж и уйти.


Снимок пациентки после операции. В принципе, левое легкое несильно отстает по размерам от правого. Во многом это заслуга сохраненного нами сегмента, который расправился еще больше и занял собой пустоту:

Всё. Всем спасибо.

Показать полностью 8
600

Как мы рак лёгкого лечили1

Всем привет. Под конец года захотелось рассказать случае успешного лечения местно-распространенного рака легкого и показать как это происходило. Пост будет громоздким, длинным и, скорее всего, скучным, однако для полноты понимания всех возможностей современного противоопухолевого лечения мне бы хотелось отобразить все этапы.

___________________________________

Я готов консультировать пользователей Пикабу по вопросам новообразований органов грудной клетки, а так же любой торакальной хирургической патологии. Мы занимаемся хирургическим лечением и диагностикой новообразований легкого, плевры, трахеи, грудной стенки, ребер, средостения, спонтанного пневмоторакса, эхинококкоза. Можно писать поводу любых опухолей, метастазов, лимфаденопатии, кист. Я могу посмотреть снимки, дать рекомендации и обсудить возможность госпитализации в отделение, в котором работаю я (город Москва, но можно и иногородних). Почта для консультаций - pikabu.onco@gmail.com. Моя консультация и госпитализация и все лечение бесплатное. Моя консультация - в рамках силы Пикабу и моей любви к профессии, дальнейшее лечение - в рамках ОМС и ВМП (высокотехнологичная медицинская помощь).

1. Если есть диск в КТ – оправляйте его содержимое сразу же, в первом письме.

2. Еще раз напомню – я торакальный хирург и онколог (ординатура по онкологии и ординатура по торакальной хирургии). Поэтому очень прошу обращаться ко мне только по моим специальностям. Я не умею лечить лейкозы, опухоли печени, и тем более коронавирус. Я не смогу качественно посмотреть снимки и изучить документы пациентки, например, с опухолью щитовидной железы. Не отвечать на такое мне неловко, но и сказать что-толковое я вряд ли смогу. На письма, не относящиеся к моей специальности, я могу не ответить. Большое спасибо за понимание.

3. Всё, что я могу сделать в своей больнице и моя консультация – все бесплатно. Не надо предлагать мне деньги.

4. Я хирург. Я не занимаюсь химиотерапией и лучевой терапией. Я не пристраиваю к химиотерапевту в Москве. Я не могу высказываться по поводу качества тех схем лечения которые вам предложили другие врачи.

5. Так как сразу после публикации поста мне пишут сразу много людей, я могу ответить не слишком оперативно. Пожалуйста, подождите немного.

___________________________________

Пациенту 55 лет, Здоровый, работающий мужчина без хронических болезней. Летом этого года стал жаловаться на кашель, на КТ нашли какие-то изменения, стал обследоваться и в конечном итоге в пациента нашли центральный плоскоклеточный рак левого легкого.


Центральный рак поражает главные, долевые, сегментарные и субсегментарные бронхи. Короче говоря, центральный рак – это рак бронха, а не легочной ткани.


На КТ эта опухоль выглядит совсем не интересно и скучно, поэтому покажу кадр бронхоскопии. На картине видна опухоль верхнедолевого бронха, которая полностью перекрыла его просвет и перешла на главный бронх левого легкого. Над опухолью видим свободный просвет бронхов нижней доли:

Схематично опухоль расположена вот тут:

Да, опухоль расположена неудобно, но она небольшая, и мы уже заточили скальпель для выполнения красивой операции (об операции расскажу ниже), но формально нам нужно было исключить метастазы в лимфоузлах средостения. Мы не ожидали там метастазов, ибо опухолевый процесс небольшой, и лимфоузлы по КТ увеличены не были. Но после выполнения медиастиноскопии с биопсией лимфоузлов (это отдельная операция и отдельная госпитализация) мы все же обнаружили метастаз в лимфатических узлах. Стадия рака резко сменилась с IB на IIIA. В такой ситуации тактика противоопухолевого лечения кардинально меняется. Появляется необходимость проведения химиотерапии до хирургического лечения., что и было сделано. Пациенту проведено 4 курса химиотерапии в сочетании и иммунопрепаратом под названием Пембролизумаб. Химиотерапия закончилась пришло время контрольной бронхоскопии, на которой мы видим, что опухоль ликвидирована полностью, ее вообще нет. Верхнедолевой бронх освободился:

Но мы не дураки и знаем, что одной химиотерапии не достаточно для полного излечения пациента. Самое время достать тот самый заточенный скальпель и прооперировать пациента. Теперь немного об операции.

Выше я писал, что опухоль расположена в верхнедолевом бронхе и переходит на главный бронх, следовательно, для обеспечения радикальности операции нам нужно резецировать главный бронх. Раньше в таких случаях выполняли пневмонэктомию - удаление всего лёгкого, ведь поражен главный бронх, и обеспечить радикальность операции, то есть гарантию удаления всего опухолевого объема, можно было только так. Но ведь нижняя доля лёгкого совершенно здорова, и очень жалко ее терять из-за какого-там пятимиллиметрового перехода опухоли на главный бронх. Именно для таких случаев разработаны схемы бронхопластических операций. При таких операциях мы отсекаем пораженную долю, отсекаем циркулярный фрагмент главного бронха на достаточном расстоянии от края опухоли, а его (главного бронха) остаток вшиваем в здоровый нижнедолевой бронх, как труба в трубу. Тем самым обеспечивается и радикальность операции и сохраняется целая половина легкого.


Сформированное соединение между различными структурами называется анастомоз. Анастомоз может быть сосудистым (сшивают два сосуда), кишечным (сшивают кишку с кишкой), пищеводно-желудочным (сшивают пищевод и желудок) и так далее. В данной операции мы формируем межбронхиальный анастомоз при помощи рассасывающейся нити


Схематически операция выглядит вот так:

План операции составлен, осталось самое простое - сделать. К сожалению, это большая открытая операция, в течение которой не всегда есть возможность фиксировать этапы ее выполнения, а уж тем более делать красивые фотки. За качество и непонятность некоторых фото прошу прощения.


Главный и нижнедолевой бронхи. Главный смотри на нас, мы хорошо видим его просвет. Нижнедолевой бронх смотрит от нас:

Сводим края анастомоза и сшиваем хитрым швом, не забывая путаться в нитях:

Наступает момент, когда анастомоз полностью сформирован:

Всё. Мы удалили верхнюю долю левого лёгкого, сделали циркулярную резекцию главного бронха и сформировали межбронхиальный анастомоз.

Проходит неделя, пока делать контрольную бронхоскопию, на которой мы видим циркулярный анастомоз,  (красная полоска с небольшими синяками по окружности бронха). Анастомоз полностью проходим, состоятелен:

Если б не дренаж, установленный во время операции, то по рентгену вообще сложновато сказать с какой стороны была операция (шутка). Нижняя доля левого лёгкого расправилась, полностью заняла освободившийся после удаления соседней доли:

Госпитализация заняла 8 койко-дней.

Ну всё. Пока!

Показать полностью 11
455

Диагностика онкологии на ранней стадии. Как COVID помогает моим пациентам

Всем привет. В новом посте хочу рассказать несколько случаев онкологических заболеваний, которые удалось выявить на ранней стадии благодаря тому, что у пациенты заболели коронавирусной инфекцией и им пришлось делать КТ органов грудной полости. Заранее прошу прощения за то, что фотографий операции в процессе и органов не будет.


___________________________________

Я готов консультировать пользователей Пикабу по вопросам новообразований органов грудной клетки, а так же любой торакальной хирургической патологии. Мы занимаемся хирургическим лечением и диагностикой новообразований легкого, плевры, трахеи, грудной стенки, ребер, средостения, спонтанного пневмоторакса, эхинококкоза. Можно писать поводу любых опухолей, метастазов, лимфаденопатии, кист. Я могу посмотреть снимки, дать рекомендации и обсудить возможность госпитализации в отделение, в котором работаю я (город Москва, но можно и иногородних). Почта для консультаций - pikabu.onco@gmail.com. Моя консультация и госпитализация и все лечение бесплатное. Моя консультация - в рамках силы Пикабу и моей любви к профессии, дальнейшее лечение - в рамках ОМС и ВМП (высокотехнологичная медицинская помощь).

1. Если есть диск в КТ – оправляйте его содержимое сразу же, в первом письме.

2. Еще раз напомню – я торакальный хирург и онколог (ординатура по онкологии и ординатура по торакальной хирургии). Поэтому очень прошу обращаться ко мне только по моим специальностям. Я не умею лечить лейкозы, опухоли печени, и тем более коронавирус. Я не смогу качественно посмотреть снимки и изучить документы пациентки, например, с опухолью щитовидной железы. Не отвечать на такое мне неловко, но и сказать что-толковое я вряд ли смогу. На письма, не относящиеся к моей специальности, я могу не ответить. Большое спасибо за понимание.

3. Всё, что я могу сделать в своей больнице и моя консультация – все бесплатно. Не надо предлагать мне деньги.

4. Я хирург. Я не занимаюсь химиотерапией и лучевой терапией. Я не пристраиваю к химиотерапевту в Москве. Я не могу высказываться по поводу качества тех схем лечения которые вам предложили другие врачи.

5. Так как сразу после публикации поста мне пишут сразу много людей, я могу ответить не слишком оперативно. Пожалуйста, подождите немного.

___________________________________


Первый пациент - мужчина 40 лет. Ни на что не жалуется, все хорошо. Однако коронавирус заставляет сделать КТ, где выявляется увеличение медиастинальных лимфатических узлов (выделены красным), которые расположены вдоль брахиоцефальных артерий (артерий, питающих кровью голову и верхние конечности, выделены зеленым) и аорты (выделена синим):

Никаких других опухолей при комплексном обследовании мы не нашли. С целью биопсии и установки природы изменений нами выполнена торакоскопия слева, биопсия лимфоузла средостения. При гистологическом исследовании у пациента диагностирована внегонадная герминогенная опухоль. Предвещая вопросы от врачей, скажу, что онкомаркеры у пациента в норме и опухолей яичек не обнаружено. Эти опухоли встречаются редко, я сам видел может три или четыре случая, но. все они были гораздо запущеннее, а пациенты приходили сами с теми или иными жалобами в связи с большой опухолью в средостении. В описанном же случае можно рассчитывать на полное излечение больного, так как болезнь только-только начала себя проявлять.


Внегонадные герминогенные опухоли  встречаются редко и составляют 3—10% всех герминогенных новообразований гонадной локализации. Наиболее часто они развиваются в медиастинальной и забрюшинной областях, поэтому диагноз ставится лишь после исключения метастазов в этих зонах. Считается, что герминогенные опухоли возникают в результате злокачественной трансформации герминогенных клеток, потерянных во время эмбриогенеза, являются пороком эмбрионального развития и содержат тканевые элементы и органоподобные структуры, которые в норме ни в средостении, ни в забрюшинном пространстве не встречаются.

У больных первичными герминогенными опухолями средостение поражается в 50% случаев, но от общего числа истинных герминогенных опухолей яичка и яичников первичная их локализация в средостении редка — всего 1—5%.

---------------------

У второго пациента в 2010 году уже был рак желудка, по поводу которого успешно проведено хирургическое и химиотерапевтическое лечение. Пациент жив на протяжении 11 лет. Однако коронавирусная инфекция принудила пациента сделать КТ, на которой выявлено новообразование нижней доли левого легкого:

КТ-картина однозначно говорила нам о том, что опухоль недобрая. Поэтому мы не заморачивались с биопсией и сразу пошли на операцию. Пациенту выполнена нижняя лобэктомия слева, то есть удаление нижней доли левого легкого, что составляет половину от легкого и 25% всего легочного объема. При гистологическом исследовании у пациента диагностирована первичная аденокарцинома легкого без метастазов внутри легкого и в медиастинальных лимфатических узлах, то есть речь идет о раке легкого I стадии. Пациент победил второй рак в своем организме и отправился домой под динамическое наблюдение.

---------------------

В третьем случае ковид помог своевременно выявить прогрессирование ранее вылеченного рака кишки. Пациентке в 2018 году по поводу рака сигмовидной кишки проведена операция и химиотерапия. Женщина строго и дисциплинированно наблюдалась, прогрессирования заболевания не выявлялось. Случился ковид, выполнена КТ, на которой выявлено довольно крупная опухоль неправильной формы в верхней доле правого легкого:

Пациентке выполнена резекция правого легкого. При гистологическом исследовании удаленной опухоли диагностирован метастаз рака кишки. Метастазов в других органах не выявлено, однако с "профилактической" целью, в качестве борьбы с теми метастазами, которые нам могут быть еще не видны, пациентке проводится послеоперационная химиотерапия.

---------------------

Пациентка №4. Очень трепетная, переживающая женщина с сахарным диабетом, гипертонией, ожирением. Ковид, КТ, на КТ опухоль верхней доли правого легкого:

Снимок ПЭТ-КТ (об этом исследовании я рассказывал в предыдущих постах). Нам виден головной мозг, который всегда хорошо накапливает вводимый в вену препарат, а также светящаяся опухоль верхней доли правого легкого:

Сомнений в природе заболевания у нас не было, поэтому мы сразу пошли на операцию и удалили верхнюю долю правого легкого (верхняя лобэктомия справа, треть от правого легкого) вместе с лимфоузлами (лимфаденэктомия). У пациентки диагностирована аденокарцинома легкого I стадии.

---------------------

Последний случай - раннее выявление опухоли средостения. У пациентки 60 лет на КТ органов грудной полости, выполненной по поводу ковида, выявлена опухоль, расположенная в самой середине грудной полости, или средостении:

Судя по КТ-картине, опухоль представляет собой не очень большую, но и не очень маленькую тимому, то есть опухоль из ткани вилочковой железы. Опухоль успешно удалена торакоскопически. При гистологическом исследовании диагноз тимомы подтвержден.


Это только несколько случаев из десятков и сотен. Ковид выраженно увеличил раннюю диагностику опухолевых заболеваний органов грудной полости. Всем больным, о которых я рассказал, "повезло" заболеть коронавирусной инфекцией и выявить в своем организме тяжелую болезнь, но выявить вовремя. Поэтому можно надеяться на то, что эта гадость больше в организм не вернется, и больные люди станут здоровыми.

Показать полностью 10
519

Операция через "прокол" или торакоскопия в торакальной онкологии

Всем привет. Сегодня я хотел рассказать о чем-то более интересном и современном. Заранее предупреждаю, что будет много писанины. Все знают, что сегодня хирургия развивается по пути уменьшения операционной травмы и, соответственно, ускорения реабилитации пациента после хирургического вмешательства. Уже никого не удивить удалением желчного пузыря или аппендикса лапароскопически, то есть через «проколы», без большого разреза. Торакальная хирургия и онкология старается не отставать. Несмотря на то, что онкологические операции зачастую очень большие, требуют удаления части или целого органа, удаления лимфатических узлов, удаления соседних с пораженным органом структур, в ряде случаев мы можем выполнять операции, не прибегая к большим разрезам. Я расскажу о выполнении с помощью торакоскопии самой частой операции при раке лёгкого – лобэктомии. При этом доступе мы используем специальные эндоскопические инструменты и сшивающие аппараты, разрез грудной клетки при этом не превышает 3-4 см.

_____________________________________________________________________________________

Я готов консультировать пользователей Пикабу по вопросам новообразований органов грудной клетки. Мы занимаемся хирургическим лечением и диагностикой новообразований легкого, плевры, трахеи, грудной стенки, ребер, средостения. Можно писать поводу любых опухолей, метастазов, лимфаденопатии, кист. Я могу посмотреть снимки, дать рекомендации и обсудить возможность госпитализации в отделение, в котором работаю я (город Москва, но можно и иногородних). Почта для консультаций - pikabu.onco@gmail.com. Отвечу всем. Моя консультация и госпитализация и все лечение бесплатное. Моя консультация - в рамках силы Пикабу и моей любви к профессии, дальнейшее лечение - в рамках ОМС и ВМП (высокотехнологичная медицинская помощь).


После последнего поста ко мне обратились несколько человек, после чего я понял, что мне нужно сделать несколько уточнений:

1. Всё, что я могу сделать в своей больнице и моя консультация – все бесплатно. Не надо предлагать мне деньги.

2. Я торакальный онколог, то есть занимаюсь опухолями органов грудной клетки. Вы конечно можете мне писать по поводу кожи, молочной железы или кишки, но я не так хорошо знаю эти локализации опухолей, чтоб высказываться квалифицированно.

3. Я хирург. Я не занимаюсь химиотерапией и лучевой терапией. Я не пристраиваю к химиотерапевту в Москве. Я не могу высказываться по поводу качества тех схем лечения которые вам предложили другие врачи. Хотя нет, я могу, но опять же – я не занимаюсь этим каждый день, я не лечу пациентов лекарствами.

_____________________________________________________________________________________


Теперь к пациентке. Женщина 60 лет. При плановом обследовании по данным флюорографии, а потом по данным КТ выявлена опухоль нижней доли левого лёгкого. Опухоль имеет характерные признаки злокачественности: лучистые контуры, тяжи к междолевой борозде, плевре (оболочке лёгкого):

Есть опухоль, значит нужно брать биопсию (хотя вопрос биопсии опухолей легких это отдельная тема). Так как новообразование расположено на периферии легкого, мы не можем достать его изнутри, то есть при бронхоскопии. Значит, нужно брать снаружи, то есть делать прокол грудной стенки специальной иглой (трансторакальная биопсия). У меня нет картинок того, как мы брали биопсию этой опухоли, но есть фото аналогичной ситуации. Процедура выполняется под контролем КТ, где видно ход иглы и глубину ее расположения.

При биопсии доказано, что опухоль представляет собой аденокарциному, то есть злокачественную опухоль из клеток желез. Теперь мы можем выставить показания к операции – нижней лобэктомии слева, медиастинальная лобэктомии. Что это означает? Это означает, что нам нужно удалить нижнюю долю левого лёгкого (50% от левого лёгкого) и лимфатические узлы, потенциально содержащие в себе метастазы. Для левой стороны это бифуркационные, субаортальные и парааортальные лимфатические узлы. Опухоль небольшая, признаков метастазов внутри легкого и в лимфоузлах у нас нет, значит клинически мы выставляем I стадию заболевания. При I стадии опухолей лёгких мы имеем право сделать операцию торакоскопически, то есть без большого разреза.

Теперь я опишу что собой представляет лобэтомия. Так как мы имеем дело со злокачественной опухолью, которая имеет свойство рецидивровать, мы не можем удалить ее с минимальным отступом от края опухоли, потому в таком случае есть опасность оставить часть опухоли, невидимую глазу и КТ, в организме, что неминуемо приведет к рецидиву. При онкологических операциях почти всегда операция выполняется в переделах анатомической зоны или функциональной единицы органа. При опухоли толстой кишки выполняется гемиколэктомия, то есть удаление половины кишки, при опухоли желудка – субтотальная резекция желудка (удаление ¾) или гастрэктомия (удаление всего желудка) и так далее. Так же и при опухолях легкого мы не можем удалить небольшого фрагмент легкого с опухолью, хотя технически это возможно. Нам нужно удалить все анатомическую зону, то есть долю. В некоторых случаях мы можем обойтись удалением сегмента лёгкого.

Как удалить долю? Для этого нужно знать что эту долю внутри держит. А держит ее легочная связка, нижняя легочная вена, артерия 6 сегмента, артерия базальных сегментов, бронх нижней доли и собственно самое легкое, которые связано с верхней долей. Итак, доступ сделан, камера введена, начинаем, выделять, разделять, прошивать и пересекать. Нами используется оптика увеличением, поэтому все скопления крови, которые вы увидите ниже, на самом деле гораздо меньше. Кровопотеря при таких операциях не больше 50-100 мл.


Разделение лёгочной связки

Разделив связку, мы выходим на нижнюю легочную вену, которая собирает кровь от нижней доли легкого. Разделив окружающие мягкие ткани, вена оказывается полностью на инструменте

При открытой хирургии мы можем подвести под сосуд нитку, перевязать, прошить и пересечь. Но при торакоскопии руки внутрь никак не засунуть. Поэтому при обработке сосудов используют специальные сшивающие аппараты, которые одновременно и сшивают и режут сосуд. У аппарата есть ручки на одном конце и сшивающая кассета на другом. Хирург подводит кассету под сосуд, закрывает его при помощи одной ручки, а при помощи второй шьет и режет. Аппарат выглядит вот так:

Вена выделена, под нее заводится аппарат, вена прошивается и пересекается.

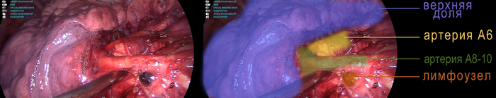
Следующий этап – выделение артерий. К нижней доле идут два артериальный сосуда – артерия 6 сегмента (А6) и артерия базальных сегментов (А8-10). Искать артерии нужно в междолевой борозде. Борозда раскрыта, сосуды найдены.

В данном случае сосуды располагались очень удачно, и нам получилось их обработать одним аппаратом. Для простоты заведения аппарата под артерии подводится резиновая держалка.

Следующий этап – бронх нижней доли. Вот он

Разделение легкого и прошивание бронха у меня на видео не попало. Короче, доля удалена, теперь ее нужно извлечь. Для этого в полость погружается контейнер, а в него погружается доля, затем извлекается (само извлечение на видео не попало).

Дальше – удаление лимфоузлов. На видео попало удаление только двух групп – субаортальной и парааоратальной:

Всё. Торакоскопическая нижняя лобэктомия с медиастинальной лимфаденэктомией выполнена. В полость устанавливается дренаж, рана зашивается, пациентку будят.


В данном случае при гистологическом исследовании метастазов в лимфоузлах и легком не выявлено, поэтому дополнительного – лекарственного или лучевого – лечения не требуется.

Будьте здоровы!

Показать полностью 13
1319

Работаем, болеем и снова работаем

Ну что. Месяц работы в "ковидной" бригаде не прошел даром, и в середине апреля я тоже заболел. Но ничего, слава богу моему организму, болезнь прошла достаточно легко. Отлежался дома, получил два отрицательных мазка и поехал снова. Всем здоровья и терпения.

Показать полностью 2
838

Симптомы заболеваний

Мне очень нравятся красочные сравнения симптомов болезней и состояний, которые применяли ученые при описании тех самых болезней. Эти сравнения вошли в повседневную практику, и я бы хотел поделиться некоторыми из них. Постараюсь приложить картинки, иллюстрирующие часть наименее противных для визуализации симптомов.


1. Стул по типу "рисового отвара".

Симптом, характерный для холеры и связан с крайней степенью обезвоживания организма. испражнения имеют вид жидкости с белыми рыхлыми хлопьями, похожими на рисовые.

2. Стул по типу "малинового желе".

Симптом амебиаза или амебной дизентерии - заболевания кишечника, вызываемого простейшим микроорганизмом. При этой болезни появляются тупые боли в животе, учащение стула, значительное количество стекловидной слизи в стуле, а затем и крови, что придает испражнениям вид "малинового желе".

3. Пальцы по типу "барабанных палочек", ногти по типу "часовых стекол".

Данный симптом характерен для тяжелой дыхательной недостаточности, которая может быть проявлением целого спектра заболеваний легких, сердца. Это происходит вследствие разрастания соединительной ткани, лежащей между ногтевой пластинкой и костью. Причины такого явления мне и википедии до конца неизвестны.

4. Инфильтрационная анестезия по типу "лимонной корочки".

В основе инфильтрационной анестезии лежит пропитывание тканей в области операции раствором местного анестетика, который приходит таким образом в непосредственное соприкосновение с нервными окончаниями, блокируя проводимость нервных импульсов. Для анестезии кожи вводят внутрикожно тонкой иглой раствор анастетика, при этом образуется кожный желвак в виде так называемой «лимонной корочки» по ходу предстоящего разреза.

5. И снова стул, но уже по типу болотной тины.

Симптом сальмонелезза. Для сальмонеллеза характерно острое начало заболевания с высокой температурой, рвотой, болями в области живота. Стул обильный, водянистый, зловонный, с примесью зелени, по типу «болотной тины».

6. Моча цвета мясных помоев.

Красный или розово-красный цвет мочи, похожей на мясные помои, говорит о наличии в ней крови (макрогематурия); это может наблюдаться при гломерулонефрите и других патологических состояниях.

7. Рвота по типу "кофейной гущи".

Этот грозный симптом может подсказать врачу о наличии желудочного кровотечения. Рвотные массы имеют черно-коричневый цвет, обусловленный образованием солянокислого гематина при взаимодействии крови с соляной кислотой желудочного сока.

8. "Голова Медузы".

Так называют изменения подкожных вен передней брюшной стенки чаще всего при циррозе печени. Подобное название дано потому, что в подобных случаях вены вокруг пупка, расширяясь, напоминают собой изображение головы мифологической Медузы — наиболее известной из трёх сестёр горгон, чудовища с женским лицом, у которого вместо волос из головы росли извивающиеся змеи.

9. Запах цветов каштана.

Подобным образом в некоторых руководствах описывают нормальный запах спермы. Помните об этом, прогуливаясь по каштановой аллее весной.

10. Перелом по типу "зеленой веточки".

Одним из разновидностей переломов является поднадкостничный перелом, больше распространенный среди детского травматизма. Данная разновидность травм это перелом по типу "зеленой веточки", при котором кость ломается, а надкостница, окружающая ее, не повреждается. Кости у детей более эластичные и тонкие по сравнению со взрослым человеком, так как в них находится больше минералов и коллагена. Надкостница хорошо амортизирует и смягчает удары, поэтому при получении травмы кость часто остается целой, но в костной ткани под ней возникают надломы.

Существует масса и других сравнений, помогающие врачу опознать норму или патологию. Врачи, посещающие сайт, могут поделиться своими знаниями в комментариях.

Показать полностью 10
21

Жалоба врача на врача

По моим предыдущим постам некоторые знают, что я врач. Являясь частью профессионального сообщества и обладая солидарностью к коллегам, я не мог себе представить ситуацию, в которой я пожалуюсь на действия такого же врача, как и я. Тем не менее, таковая ситуация со мною произошла.

На данный момент я оформляю военный билет, и в пакет документов, необходимых для оформления, входит выписка из медицинской карты амбулаторного больного, которая оформляется в поликлинике по месту жительства. Ну что ж, записываюсь на прием, прихожу в назначенное время, захожу в кабинет и сажусь напротив врача. Врач – молодой сотрудник (стаж 7 лет) с густой черной бородой – начинает оформлять данную выписку, согласно записям в амбулаторной карте. Пока он писал, я залип в окно и стал спокойно грызть ноготь 4 пальца правой верхней конечности (имею такую привычку, каюсь. Да, да, негигиенично, неэстетично, вредно). Делал я это абсолютно тихо, не чавкал и не причмокивал. Врач это заметил, начался диалог:
- Не грызите ногти в моем кабинете, - не попросил,  а сказал мне это сделать врач.
- Нет, - отвечаю я.
Взгляд врача осерчал после моего отказа. Хочу отметить, что если бы разговор начался  вежливо, то я бы ни секунды не стал сопротивляться. Далее диалог шел на повышенных тонах:
- Не грызите ногти, вы мешаете мне работать!
- Я не издаю звуков и запахов, не играю в телефон. Сижу молча. Я никак не мешаю работать вам.
- Работаю здесь я, а не вы. Прекратите грызть ногти!
Разговор становился все злее. Я, являясь врачом, прекрасно знаю как я должен общаться со своими пациентами. И тон уже моего врача явно выходил за рамки моего понимания. Я стал заводиться и сам:
- Доктор, вы мне не мать и не отец, что бы запрещать грызть ногти. Выдайте мне бумагу, которые вы обязаны выдать, и я уйду.
- Обязан?! Я вам ничего не обязан! Где запрос за выписку?
- Согласно какому нормативно-правовому акту вы требуете у меня запрос? Сошлитесь на закон, - уже дрожащим и сбивающимся от злости и тупости ситуации голосом отвечаю я.
- Все законы у главного врача!
- Ок. Пошлите к главному врачу, почитаем.
- У меня нет времени к нему ходить, у меня прием. Если вам надо, то идите сами.
- Вы знаете, я, пожалуй, обращусь не к главному врачу, а в департамент здравоохранения.
- Пожалуйста!
Диалог я сократил, не все помню. Тон был крайне хамский. Я, быть может, тоже где-то был неправ, хотя я такого за собой не заметил. Меня выбесил тон врача. Врача выбесил мой отказ и угрозы. Из кабинет я вышел униженный и оскорблённый, к тому же без выписки.
В департамент я позвонил тут же, из коридора поликлиники. Мою жалобу приняли. Через 44 минуты мне позвонил врач-методист поликлиники и пригласил забрать выписку за подписью того самого врача, который просил у меня какой-то запрос.

Кому-то может показаться, что я неадекват, который ходит по учреждениям и ищет повод для скандала, но это не так. Я никогда никуда не жаловался. К тому же я сам получал жалобы на свою работу из того департамента и знаю насколько эта неприятная вещь. Но тон врача, полное неумение держать себя в руках, незнание медицинской этики и повышенный голос заставили меня пойти на такой шаг.

Не стоит везде, при первом неуместном слове врача или другого медицинского работника звонить в администрацию и жаловаться. У нас тяжелая работа и иногда реальность смазывается перед глазами, не давая мыслить быстро и четко. Но и явно профнепригодность тоже не стоит оставлять без внимания.

Показать полностью
Отличная работа, все прочитано!