Сообщество - История болезни

История болезни

5 906 постов 6 708 подписчиков

Популярные теги в сообществе:

3673

Ответ BehindTheMassK в «"Пальцы почернели, врачей никого"»16

Три уебана - врач в травмпункте (первичное обращение в день травмы), и два хирурга в поликлинике (повторные обращения в течении пары месяцев) смотрели на мою ногу, проткнутую шляпкой гвоздя (длина гвоздя примерно 120-150 мм, шляпка пропорционального размера). Никто из этих, так называемых специалистов, не понял, что в ране находится кусок подошвы от кроссовка, который шляпка гвоздя вырвала из подошвы обуви и затолкала в ступню. Организм страшно удивлялся и старался переварить инородное тело, непрерывно выделяя всякое, через незаживающую рану. Эскулапы говорили терпеть и посыпать рану банеоцином. Девочка-врач из гнойной хирургии, куда я пришел с самообращением, едва взглянув, сразу сказала - "Возможно развитие флегмоны, надо резать" - положила меня в больницу и в тот же день меньше чем через минуту после начала продемонстрировала мне кусок подошвы, извлечённой из разреза. Сейчас всё хорошо, но три месяца жизни коту под хвост и спросить не с кого.

12

Что делать при приступе аритмии?

Предупреждаю сразу хейтеров и слабо помнящих – эти мои рекомендации не отменяют врачей и лечение. Выполняйте все рекомендации врачей. Вызывайте немедленно скорую помощь при приступе аритмии и при гипертоническом кризе.

Я хочу поделиться своим личным опытом, который с 2018 года помогает мне в мои 74 года выживать при целом наборе тяжёлых сердечных заболеваний. С таким набором не живут. А я уже полтора года не попадаю в больницу с приступами аритмии, потому что, благодаря своему опыту инвалида по сердечному заболеванию, снимаю (купирую) их сам в течении 2-3 минут.

Приведу для примера свои диагнозы за 2018 год из кардиологического отделения больницы: «ИБС. Аритмический вариант. Пароксизмальная наджелудочковая тахикардия. Транзиторная АВ-блокада. Персистирующая форма трепетания предсердий. Кардиосклероз диффузный. Атеросклероз аорты, коронарных артерий с поражением аортального клапана». Код МКБ 1  11.9/0/0.  Гипертоническая болезнь IIст. РССО 4 ХСН IIA  ФК II ЦВБ. ДЭП I c рассеянной органической симптоматикой. Гипотиреоз, медикаментозная компенсация».

И всё же я с 2018 года уже 7 лет выживаю. Поделюсь с читателями Пикабу как.

Видов сердечных аритмий множество. Причины их до конца не изучены, и все они несут опасность для жизни. Если начался приступ аритмии, надо обязательно вызвать скорую помощь. Пока скорая помощь едет, желательно самому попробовать купировать приступ аритмии, потому что при длительном течении приступа в сердце могут образоваться сгустки крови-тромбы, которые при попадании в лёгочные сосуды и сосуды самого сердца, могут вызвать их закупоривание. Кроме того, если в течении нескольких минут не снять приступ аритмии, этот приступ может стать более длительным, перейти из кратковременной (пароксизмальной)  формы в продолжительную (персистирующую). Поэтому, пока едет скорая помощь, надо принять возможные меры к прекращению приступа.

Есть физиологические способы купирования приступа аритмии, есть медикаментозные способы, но ни один из них не даёт полной гарантии, что сработает. Физиологические методы безвредны для организма человека. Медикаментозные методы следует применять с осторожностью только в точном соответствии с рекомендациями врачей. Нельзя заниматься отсебятиной и самолечением.

Если врачи рекомендуют для снятия приступа аритмии выпить 2 таблетки пропанорма по 150 мг, это не означает, что можно выпить 10 таблеток по 150 мг и считать, что доза, увеличенная в 5 раз поможет в 5 раз надёжнее или быстрее, чем рекомендованная. Увеличенная доза лекарства может привести к обратным результатам. Яд в мизерных дозах – лекарство, лекарство в больших дозах – яд.

У меня в начале 2018 г. начались постоянные приступы наджелудочковой тахикардии, причём ни УЗИ сердца, ни кардиограмма не показали никаких отклонений. Даже холтеровское мониторирование не показало ничего. А приступы аритмии наступали по 3-4 раза в неделю и продолжались по 2-3 часа. До конца 2019 г. мне пришлось несколько раз лежать в стационаре под капельницей, и за год лечения диагноз мой ухудшился: из пароксизмальной наджелудочковой тахикардии моя аритмия перешла в более тяжёлую форму – в персистирующую мерцательную аритмию предсердий (она же – фибрилляция предсердий, она же – трепетание предсердий).

В январе 2024 г. мне пришлось пролежать в стационаре с приступом аритмии 2 срока подряд, потому что пропанорм перестал помогать.

Сейчас на бисопрололе я с января 2024 г. и по настоящее время полтора года продержался без помещений в стационар.

За это время я при приступах аритмии применял разные способы купирования приступов. Перечислю все методы и способы, которые я пробовал для снятия приступа аритмии.

«Синдром холодной собачей морды» - при приступе аритмии поместить лицо в тазик с холодной водой со льдом и держать 30 секунд – 1 минуту. Из двух десятков применения помогло мне только один раз.

«Проба Ашнера» - закрыть глаза и надавить через веки указательными пальцами на глазные яблоки до лёгкого ощущения боли, держать 20-30 секунд. Задействуется вагусный нерв, снижается пульс, если нет приступа аритмии. При приступах аритмии из двух десятков раз мне проба Ашнера помогла всего в 2-х или 3-х случаях.

Безудержный смех (хохот). Включить на ноутбуке что-нибудь смешное и несколько минут смеяться. Я лично включал номер «Шахматист» Данилец-Моисеенко, где отец двух детей заслуженный работник отрасли шёл в шахматный клуб, а оказался в публичном доме. Врачи объясняют этот эффект тем, что от хохота колеблется диафрагма и срабатывает вагусный нерв, который воздействует на приступ аритмии.  Их двух десятков попыток при приступах мне помогло раза 3-4.

Глубокое дыхание: частые глубокие вдохи-выдохи в течении 20-30 секунд до состояния кислородного опьянения и головокружения. Объяснение: сосуды шеи забиты бляшками и к мозгу вместе с недостатком притока крови поступает недостаточно кислорода. «Кислородный центр» даёт сердцу сигналы работать быстрее, качать больше крови, начинается сильное учащение сердцебиения - приступ аритмии. Быстрое глубокое дыхание насыщает кислородом кровь и «кислородный центр» даёт сердцу сигнал снизить скорость сокращений. Помогало мне за год 3-4 раза.

«Проба Вальсальвы»: сделать вдох, зажать нос пальцами и дуть с напряжением воздух в закрытый нос и закрытый рот, не раскрывая воздуху ход из носа и изо рта секунд 20-30. Помогало мне из двух десятков приступов за 3 года 5-6 раз. Объяснение – напряжение диафрагмы, воздействие на вагусный нерв.

Кашель. Начать кашлять. Объяснение – напряжение диафрагмы, воздействие на вагусный нерв.

Рвотный рефлекс. Два пальца в рот, вызывать позывы рвоты. Объяснение – напряжение диафрагмы, воздействие на вагусный нерв.

Анаприлин 40 мг: таблетка 40 мг на язык, лежать до рассасывания таблетки и ждать прекращения приступа. Помогало мне за год 3-4 раза.

Врачи рекомендуют 2 таблетки пропанорма по 150 мг и, если через 1 час приступ не прошёл, то ещё раз употребить 2 таблетки по 150 мг пропанорма. Мне из двух десятков приступов за 3 года помогало раз 5-6 до приезда скорой помощи.

Лично мне неплохо помогало совмещение методов «глубокого интенсивного дыхания» с «пробой Вальсальвы». Надышавшись кислородом до головокружения, я зажимал нос и делал попытку выдуть воздух через закрытые плотно нос и рот. Из двух десятков случаев после начала приступов аритмии мне помогло в половине случаев.

Всё это можно сделать до приезда скорой помощи, чтобы прекратить приступ.

Если у вас дома начался приступ аритмии, надо выключить телевизор и ноутбук, открыть дверь на балкон или форточку, выпить успокаивающее, лечь, закрыть глаза, успокоиться и вызвать скорую помощь. Если после этого приступ аритмии не проходит, попробуйте до приезда скорой помощи физиологические способы снятия приступа, которые я привёл выше.  Если эти способы до приезда скорой помощи не помогают, то попробуйте лекарственные препараты: анаприлин 40 мг на язык до рассасывания или пропанорм 150 мг х 2.

Если приступ прошёл, всё равно надо обязательно дождаться приезда скорой помощи и потребовать снятия электрокардиограммы. Потому что даже после снятия приступа могут наступить неприятные последствия для сердца вплоть до микроинфаркта или инфаркта в связи с образованием во время приступа аритмии сгустков крови, которые могут попасть в лёгочные или сердечные сосуды.

Сразу после начал приступа аритмии, чтобы не образовались тромбы в сердце и не закупорили сосуды,  можно принять лекарство, разжижающее кровь: эликвис, ксарелто или прадаксу. В больницах колют гепарин в живот подкожно, но на дому этого лучше не делать. Если нет эликвиса, ксарелто и прадаксы, то можно выпить таблетку аспирина – он также разжижает кровь. Но, аспирин несовместим с алкоголем, если вы употребляли спиртные напитки, а потом начался приступ, то аспирин пить не надо – опасно. Можно только навредить. Алкоголь для сердечного больного – яд, может вызвать приступ аритмии. Я как-то выпил полстакана пива и начал показывать мальчику сыну соседки как правильно делать отжимание от пола, результат употребления пива – приступ мерцательной аритмии предсердий и 4 дня в больнице под капельницей. Ни капли алкоголя! Алкоголь может спровоцировать приступ.

Желательно после начала приступа аритмии принять разжижающее кровь средство. Потому что неизвестно, когда приедет скорая помощь, а сгустки крови могут образоваться очень быстро.

Все эти методы снятия (купирования) приступа – не замена внутривенного вливания в стационарных условиях кардарона (амиодарона) или метопролола. Но, если скорая помощь будет ехать 2 часа, то есть смысл не ждать у моря погоды и гадать: доживёшь ли ты до приезда скорой помощи или не доживёшь, а попробовать методы снятия приступа самостоятельно.

Ещё раз напомню: если в течении нескольких минут не снять самостоятельно приступ аритмии, этот приступ может стать более длительным, перейти из кратковременной  формы в продолжительную, и вам придётся лежать под капельницей в кардиологическом отделении больницы.

Поэтому, пока едет скорая помощь, надо принять возможные меры к прекращению приступа до приезда скорой помощи. А после приезда скорой помощи обязательно требуйте снятия кардиограммы, даже если вы уже сняли (купировали) приступ самостоятельно, – это поможет убедиться в отсутствии инфаркта. Эти физиологические методы, которые я по рекомендациям врачей самостоятельно применяю для снятия приступов аритмии безвредны, но помочь выжить могут. Мне пока помогают. Чего я и вам желаю.

И ещё. Лучшая профилактика от аритмии – посильные небольшие длительные нагрузки 2 раза в день: плавание, катание на велосипеде, ходьба, шведская ходьба (ходьба с лыжными палками) по 1-2 часа. Лично я утром гуляю по 1-1,5 часа, а вечером по 1,5 – 2 часа в спокойном темпе. После прогулок у меня нормализуется давление и прибор «омрон» не показывает аритмии. Отец моей знакомой пенсионерки Лидии Яковлевны, пенсионер Я. И. Головачёв, гулял утром по 2 часа и вечером по 2 часа и умер на 96 году жизни от рака желудка (поздно обнаружили). Если бы не рак желудка, он продолжал бы гулять до 100 лет и больше. Чего я и вам желаю.

Будьте здоровы и побеждайте свои недуги. Желаю всем здоровья и долголетия.

Показать полностью
776

Рак легкого. Состояние не меняется

Сегодня я на ногах с пяти утра. И хорошо что только с пяти, а не всю ночь. Женьке плохо. Говорит, что ничего не болит, а просто плохо-плохо-плохо... Его трясет мелкой дрожью, сознание путается. В основном уже почти ничего не говорит, только кивает - "да" или "нет". А тут сидел и вдруг четко сказал:" Ну вот и всё. Теперь я всё знаю!" И опять замолчал.

Рак легкого. Состояние не меняется

Поставила утренние уколы раньше чем положено. Думаю, в нашей ситуации четко соблюдать время уже не важно. Женя вроде засыпает потом. Не уверена, настоящий сон это или нет, но лежит как будто спит. Знаете, я подумала: А что делать людям, которые оказались в такой ситуации одни? Если нет никого рядом, или родственники не умеют уколы ставить и денег нанять медсестру совсем нет? Это же ужас какой то...В хоспис - по записи, и там очередь. В больницу не берут. А помощь человеку нужна именно сегодня, сейчас. Даже представить себе не могу такое.

Многие из подписчиков в комментариях интересуются моим здоровьем и напоминают, чтоб я заботилась о себе. Спасибо вам за то что беспокоитесь! Я ем, пью, сплю. Организм получает все что нужно. Только еда, конечно, не имеет вкуса и не приносит удовольствия. Но я все равно принимаю необходимое количество продуктов, от голода не загибаюсь. Веса лишнего достаточно много, так что... Пропустить обед не страшно. Пью сейчас антидепрессант утром и нейролептик вечером. Минимальную дозу. Очень помогает уснуть, так что со сном у меня тоже все в порядке. Держусь, ребята.

А вот Женя все меньше и меньше ест... Даже смесь. Даже по одной ложечке, постепенно. Все равно все меньше и меньше. Позвонила вчера врачу по поводу внутривенного питания. Она сказала, что делают они его только в стационарах, и для этого необходимо получить официальный диагноз "кахесия", а мужу его не дадут, потому что у него пока не такая критическая ситуация. В общем - получила я отказ. Так что кормлю сама как могу.

Кстати - воду пьет. В туалет пока ходит сам, под моим контролем "по стеночке". Кто его знает что конкретно творится сейчас у него в организме. Видно, что идет сильное отравление. Материнская опухоль, хоть и не дала отдаленных метастаз, убивает Женьку единолично. Как это правильно называется? Раковая интоксикация? А ведь муж "чистенький" весь - мозг без метастаз, брюшная полость тоже, кости не поражены. У него даже во втором легком метастаз нет. Есть только в пораженном легком помимо основной опухоли еще два образования. Но по последнему КТ и они уменьшились...Так вот бывает - у всех разное течение болезни. Оказывается, опухоль и почти в одиночку способна много нехороших дел натворить.

Знаете, друзья, я хочу с вами посоветоваться. Возник у меня тут один вопрос: писать ли, сообщать ли Женькиным родственникам о том, что ситуация уже очень серьезная? Чтоб они хотя бы позвонили и поговорили по телефону с ним. Так называемых родственников целых два - это брат, который не звонит годами, бухает, а когда Женя звонит он не берет трубку; и дочь взрослая, которая живет в Москве и с Женей тоже особо связь не держит, кроме 2-3 сообщений в год с поздравлениями на праздники.

Брат знает о болезни фактически с самого начала. Не звонил, не интересовался, не помогал, ни разу не приехал. Дочери я сообщила несколько месяцев назад сама(через соцсети). Я попросила ее почаще общаться с отцом, ведь он сильно болен. Но никаких действий с ее стороны не последовало. Так вот, у меня вопрос - стоит ли вообще просить позвонить или приехать тех людей, которые, в принципе, для Женьки чужие? Которые с ним не общаются, хоть и являются родственниками.

Эх... Пора идти ставить мужу уколы. Сидит вон смотрит в сторону окна, но как будто ничего не видит. Он уже наполовину не здесь... Не со мной. Сердце иногда сжимается невыносимой болью, но я стараюсь отогнать ее от себя. Надо держаться. Надо.

Показать полностью 1
4

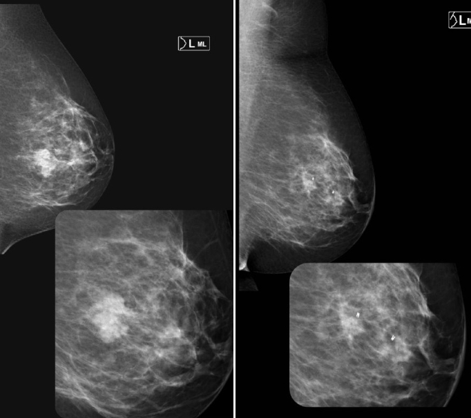
Мультицентрический РМЖ, Т2mN1M0 люминальный В

Мультицентрический РМЖ, Т2mN1M0 люминальный В

Встречается достаточно редко для BRCA1 ассоциированной формы.

ИГХ выполнялась из 2 узлов.

На первом этапе (снимок слева) проведена лекарственная терапия с положительным эффектом.
На втором этапе (снимок справа) визуализируются рентгеноконтрастные метки и остаточная перестройка структуры.

Показать полностью 1
49

-Я на шестом этаже живу, видел как она мимо пролетела!

Этот случай произошел пару лет назад. Тогда я подменял своего коллегу и оказался в составе реанимационной бригады.

Половина смены прошла скучно, в основном выезжали на повод «без сознания», который в итоге оказывался просто уснувшим пьяницей на остановке или в кустах.

- Девятая бригада, запишите срочный вызов! Падение с высоты, женщина, возраст неизвестен. - ожила вдруг рация.

Взвыла сирена, озаряя спецсигналами ночные улицы и машина скорой помощи, набирая скорость, стала лаврировать между машинами на шоссе.

Через пять минут мы остановились около одной из высоток спального микрорайона и схватив необходимое оборудование побежали искать пострадавшую.

Женщину мы нашли на за домом, она лежала на земле, в окружении столпившихся зевак и была еще жива.

-Кто видел, что произошло? С какого этажа она упала?- басом спросил доктор- реаниматолог, на ходу открывая свой чемоданчик.

- С седьмого, я на шестом живу, видел как она мимо пролетела!- сказал кто-то из зевак.

Работа тема временем уже кипела: на шею наложен воротник Шанца, я в темноте пытался поставить катетер в вену, доктор набирал наркотический анальгетик в шприц, а водитель притащил щит-носилки.

Сделав все необходимое для транспортировки, мы погрузили пациентку на щит и погрузили её в машину. При свете ламп, женщину уже можно было более детально осмотреть.

А состояние её было критическим: в грудной клетке большинство ребер сломаны и судя по тому, что изо рта пациентки пузырилась кровь, осколки пробили легкие. Обе руки сломаны в нескольких местах, из ушей сочилась кровь, что говорило о том , что кости черепа тоже сломаны.

-Давление по нулям! Нужен второй доступ в вену и готовте вакуумный отсос- сказал доктор после беглого осмотра.

- Второй доступ готов!- отчитался я, подключая капельницу с раствором ко второму катетеру.

Реаниматолог тем временем вовсю орудует отсосом, откачивая из легких пациентки кровь.

Женщина же, без сознания. Состояние её стремительно ухудшается.

Зевак становится больше, некоторые встают на подножку автомобиля и пытаются заглянуть в салон. Это жутко бесит и хочется сказать им пару ласковых, но отвлекаться нельзя, это может стоить жизни пациентки.

-Андрей, гони в приемник!- кричит доктор водителю.

Снова взвыла сирена, разгоняя зевак и машина рванула в сторону приемного отделения.

Все мы в бригаде понимали, что шансы выжить, у пациентки малы и, чем быстрее мы её довезем теперь, тем их будет больше.

Пациентку, еще живой, мы сдали в реанимацию.

Дальнейшая её судьба мне неизвестна.

-Я на шестом этаже живу, видел как она мимо пролетела!

Источник.

Показать полностью 1
21

Ответ BehindTheMassK в «"Пальцы почернели, врачей никого"»16

Мой отец ходил к хирургу в местную поликлинику с жалобой на то что у него потемнел палец на ноге. 70 лет, диабет. Этот великолепный специалист выписал какую-то мазь и послал с богом. Узнал я об это случайно позже и сразу отвез к сосудистому хирургу.

3711

Ответ на пост «"Пальцы почернели, врачей никого"»16

У моего бати диабет второго типа, и он как-то проколол ногу гвоздём — нехило так. Пошёл в травмпункт, и ему там сказали мазями помазать, что-то вроде Левомеколя, и прийти на перевязку через 3 дня.

Сходил он раз, сходил второй — снова через 3 дня, а ему на ногу только больнее становиться стало. Конечно же, я узнал об этом на девятый день, когда отец попросил что-то настроить в телефоне. Сказать, что я испугался — ничего не сказать.

Сразу пошли в тот травмпункт, там врач один этот сидит и хуйню какую-то несёт — хотелось ему втащить, чтобы он к предкам присоединился. Но ладно, сошлись с батей на том, что врач не врач, а ебач.

Поехали в областную поликлинику, рассказали, в чём дело (а батя после 9 дней "лечения" на ногу встать не может), врач посмотрел на всё это дело и сказал — ещё бы чуть-чуть, и пришлось бы отрезать ступню: загноение сильное было, а тот даун каждый раз Левомеколь прописывал.

Короче, бате разрезали ступню и выкачали нехилую такую массу гноя. Врач в областном травмпункте очень сильно матерился на того дауна, что довёл пациента до такого.

В общем, всё кончилось хорошо. Следите за своими родными, особенно пожилыми.

А врачу из первоначального рассказа желаю как минимум сидеть в тюрьме. Место таким — возле параши.

Для умников: закончилось все хорошо, рана быстро зажила, даже учитывая то, что у бати поднимался сахар до 13. Все с ним хорошо и сейчас

Показать полностью
4742

«Пальцы почернели, врачей никого»16

Нижегородке со сломанным запястьем ампутировали руку по плечо

Надежда Шибанова обратилась в Арзамасскую больницу со сломанным после падения запястьем, ей сделали операцию. Однако из-за невнимания врачей началась гангрена.

Врач Сергей Романов установил пластину для фиксации костей и ушел на выходные. В субботу и воскресенье к Шибановой не подошел ни один врач.

«В воскресенье у меня пальцы почернели и холодные стали, опять врачей никого. Гангрена пошла газовая, она моментом [распространяется]», рассказала пострадавшая.

Спустя 5 дней после первой операции ей ампутировали руку.

По словам хирурга Сергея Романова, операция по фиксации запястья прошла успешно, пальцы шевелились. А в понедельник диагностировали тромб и необратимые изменения. Он также заявил, что дежурный врач в больнице был, но на первом этаже, в травмпункте.

Руководство больницы на вопросы журналистов не ответило. Пациентка считает, что в больнице ей должны установить протез. В надзорные органы или в суд она пока не обращалась.

Видео: «Кстати»

Показать полностью
Отличная работа, все прочитано!