Серия «Клетки крови и ковид»

165

Красота клеточной смерти. Кровь при ковиде

Давайте просто полюбуемся подборкой микрофотографий трупов лейкоцитов.
Они должны были выполнять иммунные функции. Но вместо этого при ковиде, как и при многих других болезнях, порой они начинают вести себя неадекватно.

Нормально, когда нейтрофилы гибнут в очаге воспаления, выпуская наружу в кровь химически активные вещества, призывающие на помощь других лейкоцитов. Ненормально - когда это происходит чрезмерно активно.

Массовая гибель лейкоцитов приводит к выбросу массы химически весьма активных веществ в кровь одномоментно. Это называется цитокиновый шторм. И это может быть летально.
("Не можешь победить - возглавь"?...)

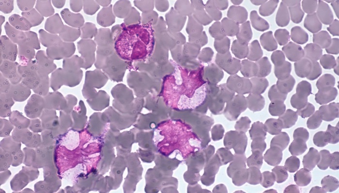
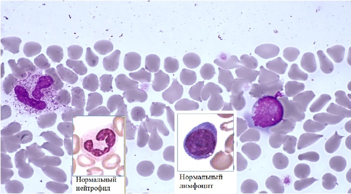
Взглянем на нормальные клетки крови. Эритроциты - красненькие, безъядерные, переносят кислород. Лейкоциты выполняют всякие иммунные функции. У них при окраске фиолетовое ядро и голубая или розовая цитоплазма. Розовые, красные, фиолетовые точечки поверх цитоплазмы у некоторых лейкоцитов - это гранулы со всякими биологически активными веществами (поэтому и выделяют отдельно гранулоциты).

А вот дальше уже пошли фото погибших клеток. Организм даже не успевает справляться с уборкой этих трупов...

Представлены фотографии мазков крови больных, умерших от ковида. Увеличение объектива х100, фото сделано с использованием капли масла между объективом и предметным стеклом (с иммерсией, если по-научному). Окраска по Романовскому-Гимзе.

Показать полностью 10
496

Красота смерти. Кровь при ковиде

Мне кажется, что фото клеток под микроскопом - это красиво. А фото погибающих клеток - отдельный вид искусства.

Клетка может погибнуть принципиально двумя путями:
1) Молча и спокойно (апоптоз),
2) Наводя панику вокруг (некроз).
Внутри этих пунктов еще есть деление на подгруппы, но не суть.
Гибель вторым путем можно сравнить с гибелью Боромира, который трубил в рог Гондора, чтобы созвать всех на помощь. Он был обречен на гибель (это же Шон Бин), но он хотя бы позвал всех, кого мог, на борьбу с врагом.

Взглянем на нормальные клетки крови. Эритроциты - красненькие, безъядерные, переносят кислород. Лейкоциты выполняют всякие иммунные функции. У них при окраске фиолетовое ядро и голубая или розовая цитоплазма. Розовые, красные, фиолетовые точечки поверх цитоплазмы у некоторых лейкоцитов - это гранулы со всякими биологически активными веществами (поэтому и выделяют отдельно гранулоциты).

А теперь продолжаем.

При апоптозе (типе клеточной гибели без истерик) клеточная мембрана не нарушается, клеточное ядро сначала будет поделено на фрагменты, потом переварено своими же внутриклеточными ферментами и как-то там утилизировано, а потом утилизируется и цитоплазма.

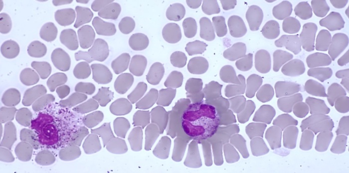
Ниже представлена пара фотографий апоптоза нейтрофилов.

Теперь о некрозе (это когда клетке суету навести охота). В некрозе нет ничего страшного. Это нормальная реакция организма при воспалении, например. Проникла бактерия - нейтрофилы героически гибнут, испуская из своего тела коктейль (цитокиновый коктейль - научный термин) из химических веществ, имеющих много свойств, в том числе предназначенных привлекать в очаг воспаления более мощную артиллерию - какие-то типы остальных лейкоцитов. Нейтрофилы, как условные пограничники, в том числе сигнализируют о нападении на организм в определенном месте, а другие лейкоциты придут, уже как подразделения нормальной армии.

Беда случается, когда некроза слишком много. Если клетки гибнут слишком стремительно, слишком массово, так и организму умереть можно... При некрозе клеток в окружающую среду попадает мощный коктейль из химических веществ, и если некроза будет слишком много, то всё обернется коктейлем Молотова против нас самих. Это называют цитокиновым штормом.

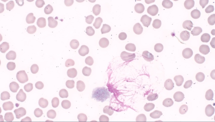
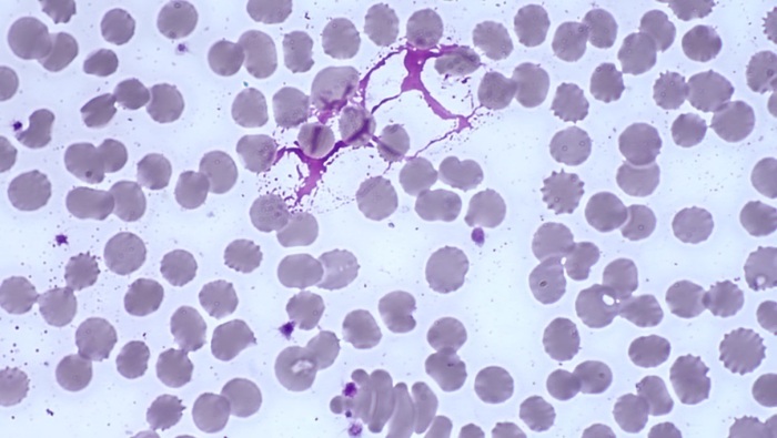
Взглянем на фото некроза нейтрофила. Клеточная мембрана разрушена - содержимое клетки разбросано равномерно вокруг, ядро клетки уже некоторое время растекается. Содержимое ядра в окружающей среде - это буквально таки ядрёнейший химический коктейль.

Взглянем на групповое фото нейтрофилов ниже. Надутые как шарики нейтрофилы, в которых много воды, поэтому и ядро, и гранулы оттеснены к периферии клетки. Может эти клетки лопнут? И тогда мы увидим то, что видели на предыдущем фото.
Кстати, обратите внимание, как меняются эритроциты по периферии от этих нейтрофилов - обрастают совершенно лишними вакуолями.

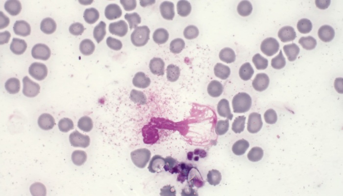
Вспоминается классическое "В общем, он лопнул!" Хотя на самом деле не было там такого эпического хлопка. Содержимое просто вытекло и всё.

А вот фото лопнувшего нейтрофила и растекающегося лимфоцита. Обратите внимание, как красиво растекается в разные стороны лимфоцит - голубая цитоплазма в одну сторону, фиолетовое ядро в другую...

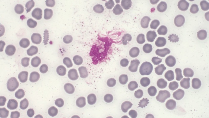
Еще одно фото нейтрофилов:

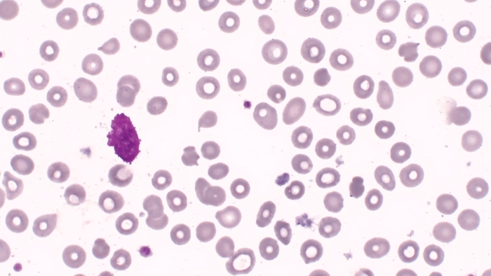
Иногда содержимое ядра с цитоплазмой так перемешивается, что становится вообще однородной субстанцией:

Представлены фотографии мазков крови больных, умерших от ковида. Увеличение объектива х100, фото сделано с использованием капли масла между объективом и предметным стеклом (с иммерсией, если по-научному). Окраска по Романовскому-Гимзе.

Показать полностью 10
3803

Кровь ковидного пациента под микроскопом

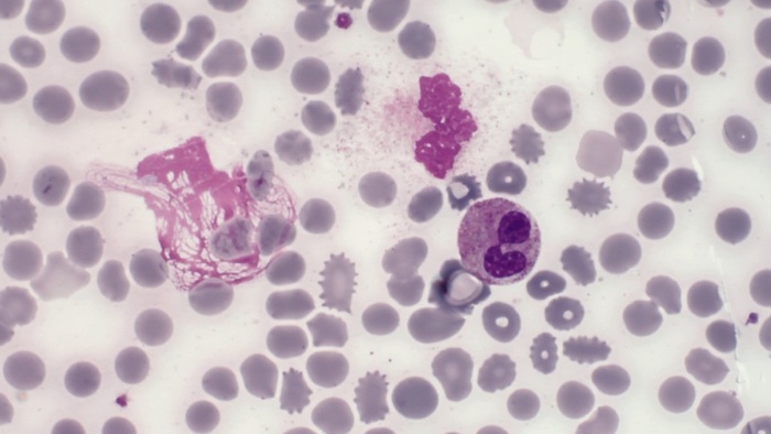
Мазок крови больного, умершего от ковида, под микроскопом. Увеличение объектива х100, фото сделано с использованием капли масла между объективом и предметным стеклом (с иммерсией, если по научному).

На фото видно скопление кривых, с "ощетинившимся" краем эритроцитов (эхиноцитов), которые должны были переносить кислород. Теперь все же переносят, но уже хуже - им труднее протискиваться в капилляры.

Также на фото в центре виден нейтрофил (белая кровяная клетка, иммунные функции). Он уже болеет и плохо себя чувствует. В окружающую жидкость он выделяет какие-то химически активные вещества, так что ближайший к нему эритроцит аж становится обладателем вакуоли (пузырек жидкости в центре теперь носит, перенос кислорода еще хуже).

Оставшиеся темно-фиолетовые объекты - тромбоциты. В правом верхнем углу, похоже, гигантский тромбоцит.

Другое фото этого же мазка. На втором фото уже намного лучше виден окружающий клетки мусор. Хлам какой-то... Так это и есть клеточный хлам, детрит - осколки разрушившихся клеток. Они тоже участвуют в развитии воспаления.

Фото сделаны мной вот на таком микроскопе - Axio Imager 2 фирмы Zeiss (цветную и монохромную камеру уже поменяли местами как надо).

Показать полностью 3
Отличная работа, все прочитано!