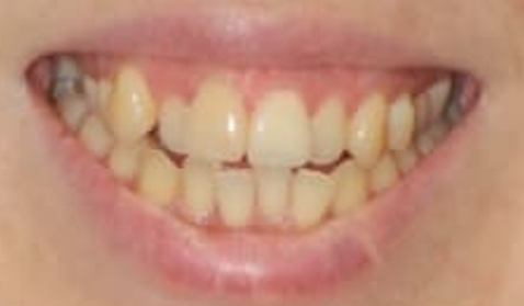
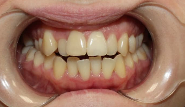
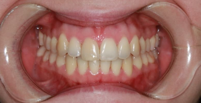
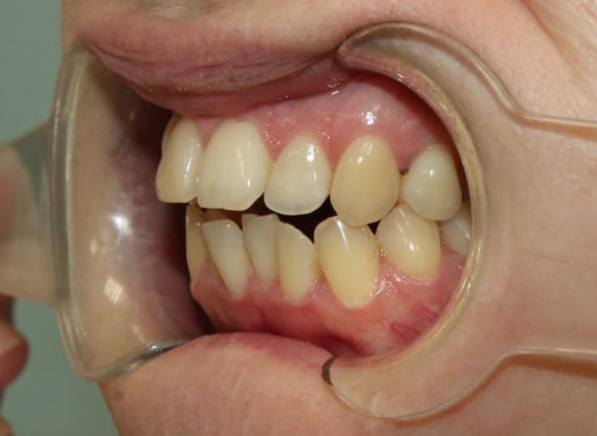
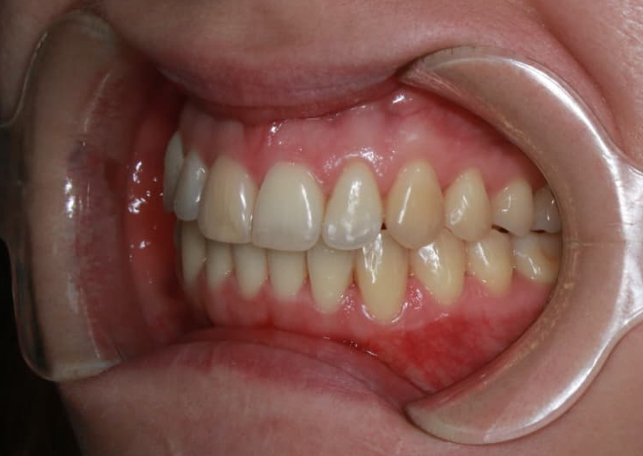
История появления проблемы со скученностью зубов верхней челюсти
Этот пост собрал уже много вопросов поэтому думаю стоит на них начинать отвечать.
Читая мои ответы прошу не думать, что я жалуюсь на жизнь. Повторюсь снова я пофигист. Даже сказал бы грубее, но вдруг эта история станет назиданием для тех, кто так же, как и я, откладывает всё в долгий ящик.
Часть первая ответов на вопросы
1. Самый главный, как я думаю, вопрос о том, почему закрывали родители на это глаза?
Ответ: Я вырос в маленькой деревне. В бедной многодетной семье, в которой пища была с огорода, личного хозяйства. Одним словом, как потопаешь, так и полопаешь. У меня было 5 сестёр, 4 из которых учились за 200 километров в интернате. Я же, самый младший, учился в деревенской школе. В семье работал один отец, плюс пенсия бабушки. Матушка была домохозяйкой.
В районном центре не было услуг ортодонтии.
На что вы ответите, что, в чем же была проблема съездить в областной центр.
И тут, как и в большинстве случаев все упиралось в деньги и пребывание привинциальной семьи в городе. Короче говоря, было проблемой даже добраться до туда, и понимаете, что всё бы там решалось не одним днем, а родственников или друзей на тот момент в городе не было.
Не спорю. Были попытки, были поездки в региональный центр. Были советы от стоматологов и ортодонтов, но... Как видите, получилось, что получилось.
Мне же было пофиг, растут и растут, есть дефект речи небольшой, да и насрать. В школе я был тихоней, но в определённых кругах весьма знаменитой личностью, как в плохом так и хорошем смысле, но травли, как таковой ко мне не было. Так и жил спокойно.
2. На заявления людей, что это устройство будет бесполезно и ставят его только детям.
Ответ: вы были бы совершенно правы, если бы данный аппарат просто привинчивался в нёбо,но нет. Его установка сопровождается хирургическим вмешательством, с отсечением верхней челюсти от черепа+разделением её по центру под носом на две части. Следовательно тогда этот аппарат можно раскрутить и за день до необходимого размера, но кость не успеет нарасти, поэтому в течение месяца будет такая процедура : крутишь винт->разрывается едва заросшая кость на определённую величину->за день снова нарастает костная ткань->крутишь винт. И так по кругу. Периодически наблюдаясь у хирурга и ортодонта. И впоследствии с помощью бреккет-системы все доводится до здорового прикуса. И это конечно же не одним годом.
3. Почему решил это делать именно сейчас?
Ответ: Спасибо большое одной из старших сестёр, которая в прямом смысле заставляла меня звонить и записываться на приёмы, контролировала визиты. Сама, пока я был на вахте в районах крайнего севера, производила запись к ортодонтам, искала лазейки там, где для меня были стены. Рад, что она уже завершат свой давным давно намеченный план ортодонтического лечения. И не оставила мою ещё более сложную проблему на самотёк дальнейший.
Также и спасибо тяжёлой работе крайнего севера, которая предоставляет большое количество свободного времени, ну и немного кормит....




















