Сообщество - История болезни

История болезни

5 906 постов 6 708 подписчиков

Популярные теги в сообществе:

23

Мужик чихнул внутрь себя — и его разорвало!

Леденящая кровь (и другие важные составляющие твоего организма) история о том, как опасно нездоровое сдерживание в таком ответственном деле, как чихание.

Короче, один мужик был так хорошо воспитан и так тщательно заботился о здоровье окружающих, что ему самому это вышло боком! Ну, строго говоря, не совсем боком... Впрочем, обо все по порядку.

В британскую больницу попал 34-летний мужчина с жалобами, что ему вдруг стало нестерпимо глотать и его голос звучит как-то странно. Неприятные перемены в его организме произошли после того, как этот самый организм... чихнул!

В британскую больницу попал 34-летний мужчина с жалобами, что ему вдруг стало нестерпимо глотать и его голос звучит как-то странно. Неприятные перемены в его организме произошли после того, как этот самый организм... чихнул!

Причем то был не безмятежный щедрый чих во всю ивановскую, на радость ближним, попавшим в зону поражения. И даже не дипломатичный чих в кулачок, деликатно прикрывавший нос и рот исполнителя. О нет!

Причем то был не безмятежный щедрый чих во всю ивановскую, на радость ближним, попавшим в зону поражения. И даже не дипломатичный чих в кулачок, деликатно прикрывавший нос и рот исполнителя. О нет!

Не иначе как мамушки и нянюшки в детстве жестко накрутили накрутили беднягу этим своим: «Хорошие мальчики сдерживают естественные позывы, Джонни (или Чарли, или как там его)!», потому что он попытался задавить порыв в зародыше, зажав ноздри пальцами.

Однако чих все-таки состоялся, причем сдержанность не прошла для нашего героя даром: он ощутил в шее неприятные толчки, а потом обнаружил, что она опухла.

Однако чих все-таки состоялся, причем сдержанность не прошла для нашего героя даром: он ощутил в шее неприятные толчки, а потом обнаружил, что она опухла.

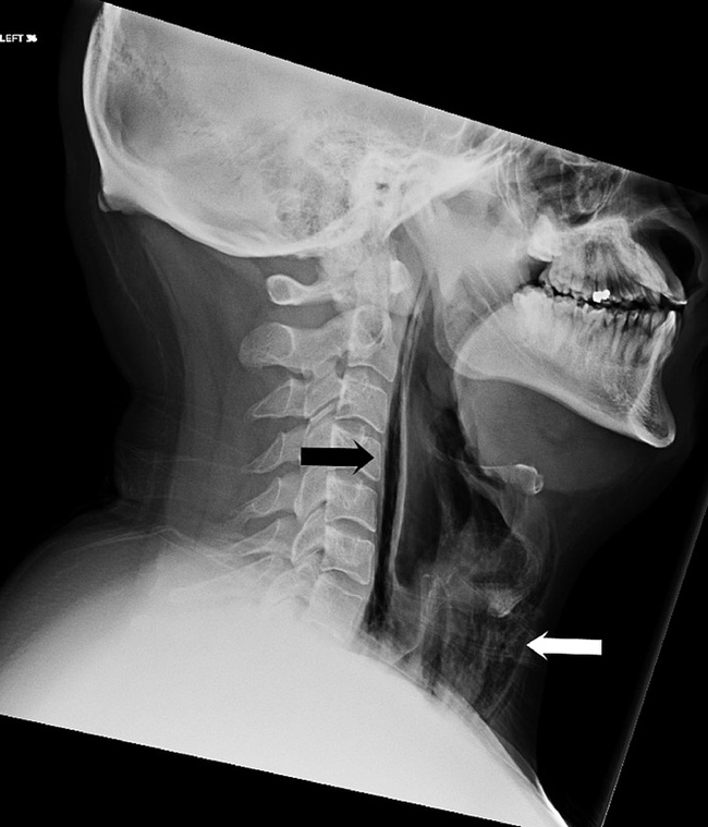
Рентген показал, что легкие не задеты, однако в мягких шейных тканях перед трахеей обнаружилось чрезмерное скопление воздуха. Компьютерная томография подтвердила: у больного обширная эмфизема в шее и грудной клетке, налицо была и перфорация глотки. Окончательный диагноз звучал зловеще: спонтанный разрыв пищевода, также известный как синдром Бурхаве. (Рентгеновский снимок шеи. Черной стрелкой показаны скопления воздуха, белой — обширная эмфизема перед трахеей.)

Компьютерная томография шеи (B) и грудной клетки (A).

Компьютерная томография шеи (B) и грудной клетки (A).

На шее стрелкой показана эмфизема, в грудной клетке возле позвонка T9 — эмфизема средостения Опасаясь, что у чихуна разовьется инфекция или в грудной полости зародятся воспаления, медики оставили его в лечебнице, долгие дни пичкали антибиотиками и кормили через трубку, засунутую в носоглотку и ведущую в желудок. Бр-р-р, короче. На больничном режиме страдалец пробыл несколько недель, потом еще пару месяцев за ним вели пристальное наблюдение, не случатся ли рецидивы. Но, к счастью, обошлось.

Вообще, парню зверски повезло: синдром Бурхаве — очень и очень не сахар, но пациент вовремя обратился к специалистам, а те оперативно поставили диагноз и обошлось без осложнений.

Вообще, парню зверски повезло: синдром Бурхаве — очень и очень не сахар, но пациент вовремя обратился к специалистам, а те оперативно поставили диагноз и обошлось без осложнений.

Между тем выявить это заболевание бывает непросто, а для избавления от него подчас требуется агрессивное хирургическое вмешательство.

При выписке мужчине строго-настрого посоветовали бросить заниматься ерундой, при чихании зажимать нос и рот — страшно опасно!

При выписке мужчине строго-настрого посоветовали бросить заниматься ерундой, при чихании зажимать нос и рот — страшно опасно!

Нет, ну если ему хочется поближе познакомиться с такими упоительными вещами, как эмфизема средостения, перфорация барабанной барабанной перепонки и даже разрыв аневризмы головного мозга, то, конечно, пожалуйста, пусть продолжает в том же духе!

Ты же живи своим умом и чихай в изящно подставленную ладошку, в уютно свернутого кота, пупок своей девушки, свежесдобренный сметаной салат, в крайнем случае, в плечо впереди стоящего чемпиона мира по боксу — здоровее будешь!

Ты же живи своим умом и чихай в изящно подставленную ладошку, в уютно свернутого кота, пупок своей девушки, свежесдобренный сметаной салат, в крайнем случае, в плечо впереди стоящего чемпиона мира по боксу — здоровее будешь!

Показать полностью 7

Продолжение поста «Облысение- закономерность, наследственность или приобретенное»3

Как говориться хочешь что то сделать, сделай сам, даже если это не твое предназначение. Взял шесть пробирок и приготовив питательную среду на основе картофеля и риса с горохом, поместил все это в автоклав. На 120 градусов Цельсия и тридцать минут выдержки.

Температура немного превысила и было опасение, что полисахариды агар-агара распадутся от высокой температуры и давления, но обошлось.

В две пробирки с разной питательной средой поместил волос с волосяной фолликулой. В одну пробирку поместил соскоб с кожи головы. В две другие еще поместил материал с разных мест, захотелось посмотреть есть там что и что это если есть. И одну пробирку оставил на контроль, вдруг там вырастит нечто.

Примерно через неделю уже можно будет посмотреть на результат этой авантюры. Возможно выявятся фотосинтезирующие бактерии, - Фотосинтезирующие бактерии, фототрофные бактерии, микроорганизмы, использующие в качестве энергии для жизнедеятельности свет (лучистую энергию), а может и нет. Как говориться не попробуешь не узнаешь.

Показать полностью 1
38

Моя история. Ч.2

Утро понедельника. Открываю глаза и понимаю, что у меня онемела правая половина тела и вся голова и всё лицо! А когда встаю, то ещё понял одну вещь, что я даже стоять не могу, потому что всё идёт кругом, а ещё давайте добавим к этому коктейлю тошноту!

Мама вызывает скорую и они приезжают через минут 40 (не плохой результат для нашей службы). Меня привозят на велту, делают кт, говорят, что там всё хорошо и везут на никулина 10. Там меня госпитализируют в 11:00, примерно, а врач ко мне подошёл около 17:00. Всё это время я еле-еле даже лежал (всё немое, глаза открыть не могу, сразу становится вообще не выносимо, лицо немое и мне всё больше от этого хочется пошевелить бровями и губами, но там всё немое и мне становится страшно он этого ещё больше, тошнит). Как то так. В итоге, когда пришел врач, он меня осмотрел, сказал, что все нормально и нечего не назначил.

Я говорю: - ВСМЫСЛЕ НОРМАЛЬНО???? Я СТОЯТЬ НЕ МОГУ! ТОШНИТ! ПОЛОВИНА ТЕЛА ОНЕМЕЛО И СЛАБЕЕ! Когда МРТ будете делать??

Врач: - Не вижу смысла! На кт всё нормально, онимение, которое у вас, не бывает.(он колол, а моя ошибка была, говорить, что ощущение другое ни сразу после первого укола, а после второго. Так то ощущение было другим после первого, а я говорил на второй укол. Просто ближе к середине ноги или руки, действительно, была разница просто ярче).

Док: - Вы же в прошлом году так же тут лежали. И это пройдёт.

Я говорю: - в прошлый раз не было такого сильного онемения. Когда МРТ?

Врач: - его не будет. Нет смысла. Ковернома, в своём роде, не растёт и вообще не понимаю, зачем вы каждый год делаете МРТ?!

Думаю, ладно, он же врач, опыта много и точно больше меня знает.(Как я ошибался!😱). В этот день мне ничего не назначили и я просто ,мучаясь, пролежал ночь.

На следующее утро поставили капельницу и на вечер дали таблетку. У меня ни чего не проходило 3 дня. Я молился, чтобы хоть тошнота прошла. Я пищу закидывал через такууууууууую силу, что и представить сложно! Хотя что представлять. Всех же тошнило без рвоты хоть раз? Да? Вот и представьте: вас тошнит, но не рвёт и это держится уже 3 суток. Не отпускает вообще! И при этом, надо же что то есть. Приятного аппетита😉 Так вот, пока меня тошнило, я особо и не обращал внимания на другие недуги. Мечтал лишь о том, чтоб хотя бы тошнота прошла. Вот, тошнота прошла. Вы же помните, что ещё там в капилочке лежало? Остановимся на головокружении. Как же оно меня выводило из равновесия, когда прошла тошнота!!! К

Уже думал, хоть бы головокружение прошло. А. Забыл сказать, ещё двоится в глазах. Позволю себе небольшое отступление и вспомню один момент из одной комедии. Есть такая комедия «майор Пейн» и там есть один момент. Лежит один солдат и орёт: -Меня ранили, у меня плечо прострелено!!! Подходит Пейн и спрашивает: - хочешь забыть про эту боль? Солдат отвечает, что хочет.

Пейн: - почувствуй новую боль. И ломает солдату палец! И тот уже вопит про палец.

Так вот, к чему это я. У меня на 4-й день появился шум в ушах. Сейчас охарактеризую данный шум (постоянно сверчки вечерние в обоих ушах. Представьте, на расстоянии 200 метров работает отбойник по бетону в один такт, а иногда он перемещается на 100 метров, ооооочень редко уходит на обед, минут на 10. Но царь всех этих звуков, это профилактика на канале тв. Помните этот писк, когда была профилактика? Вот такая профилактика, она включалась на ночь, ночи две) Очень ярко включалась, что я даже лежать не мог. Я ходил по коридорам всю ночь. А врач мне сказал при моих жалобах, что это всё субъективно и помочь ничем не может.🙂 Зато, я забыл про головокружения. Вот к чему была отсылка!🙂 Через дня три я привык к шуму, так как он иногда утихал, не полностью но выносимо, а когда я гулял по коридору, то внешние шумы вообще перебивали его, но в палате «к обеду он был самый первый».

Начинается самое интересное! За три дня до выписки со мной происходит срыв. Сейчас объясню. Есть такой медицинский термин, как «паническая атака», я поставлю ей статус «принц». Настоящая паническая атака, не путайте с легкой тревогой. Что это такое, знают немногие, но те, кто это испытали хоть раз, знают! И она, как правило, держится не более 30 минут. Но у меня была ни она!😉 На сцену выходит другой научный термин, ю«тревожное состояние», его я охарактеризую как «его величество». Оно не проходит днями. Вот это моё. Рассказываю, что это. Все болячки усиливаются, голова, как в тиски зажата и тиски сжимаются, ты не можешь ни сидеть, ни лежать, ни есть, ни на чем то внимание концентрировать более минуты. Просто ходишь из угла в угол и на полминутки ложишься, потом встаёшь и ходишь из угла в угол опять и опять. И такое состояние не отпускало меня почти неделю, но именно жестоко было крайние три дня в больнице.

Я подошел к доктору в первый же день и попросил какое нибудь успокоительное, на что он мне ответил: - мы итак каждый вечер его тебе даём. Я ему сказал, что мне стало хуже и я более минуты даже лежать не могу!!!!! Он меня не разочаровал: - тебе сейчас только транквилизаторы помогут, но они запрещены и у нас их нет. Справляйся сам.

Представьте ситуацию: жестокий наркоман, который давно на системе,

сидит с большими ломками в комнате и заходит человек с дозой и кладёт её в середину комнаты и говорит наркоману, чтоб тот её не брал. И выходит из комнаты. И чтоб он не брал, нужно принимать какие то меры, потому что сам он справиться не в состоянии.

Как думаете, из 1000 наркоманов сколько дозу при ломке не возьмёт? Не спорю, 1 может и не возьмёт, но и то, вряд ли! Потому что в этот момент, он сам себе не принадлежит.

Я к тому, что сам я с этой ситуацией уже справится не мог в данный момент. Я просто жестоко мучился все три дня, зная, что тут мне не помогут. Я просто мучился. И вложи мне в тот момент ствол в руку, я бы не задумывался, а сразу бы нажал курок. Я все три дня продумывал план, как мне умереть. Не шучу и не завораживаю. Но я не знал, как лучше это сделать, потому что умереть хотел, а мучаться нет, по этому и выбрать не мог способ, потому что не знаю легких способов без мучений и страха. Страх ,конечно, играет важную роль. Представили моё состояние?

Наступает день выписки, я говорю, что мне стало хуже и не нужно меня выписывать, на что услышал, что нет смысла меня тут держать. Чтоб я попробовал съездить на екатерининскую к психиатру. Врач даже не знал, что они давним давно переехали на крохалевку (моё счастье) и видя моё состояние, меня просто выперли из больницы. Цитирую заведующего того отделения: - если он сейчас не может выполнять свои обязанности, идите к терапевту и оформляйте инвалидность. У него уже ни чего не пройдёт, а МРТ нет смысла делать, вы там ничего не увидите, только лишний раз облучитесь.

И в тот момент меня не беспокоило моё головокружение, моё онимение, мои шумы в ушах. Я, блядь, сидеть не мог даже в тот момент из-за его виличества «тревожного состояния». Вот что меня действительно беспокоило в тот момент и по мне это было видно. Но меня выставили из больницы.

В этот же день, можно сказать, мой ангел хранитель, на протяжении начала мая и по нынешний день, друг моей матери, Елена Григорьева, которая просто проделывала колоссальную работу, поддерживая меня, сходила в новый психдиспансер и договорилась о приеме и осмотре меня в этот же день и отвела меня туда. Врач меня осмотрел и опросил и понимая нинешнию ситуацию, договорилась со своей коллегой, чтоб меня взяли на дневной стационар

. И чтобы я успокоился и поспал, выписала мне рецепт на алпразолам. Я не буду подробно описывать данный препарат, но кому интересно, загуглите и всё поймете. Но врач верно распознала текущую ситуацию и приняла верное решение! Этим же вечером я уже спал! Я спал ночь! Для меня это уже была сказка! На следующий день я уже поступил на дневной стационар. Меня опросил и осмотрел врач и вынесла свое видение: Ни чего страшного с Вами не произошло, у Вас на фоне текущего состояния здоровья появилось чувство тревоги. Но уверяю Вас, что оно характерам, ниже среднего и Вам сейчас уже не о чем беспокоиться. Вы попали в руки профессионалов и мы подберём нужное и эффективное решение и у Вас пройдет чувство тревоги!

Это были наитеплейшие слова для меня, в тот момент! В этот же день мне назначили лечение, а алпразолам сказали более не принимать. Это была пятница, а на выходные выдают только лекарство, а посещений нет. В целом, всё было неплохо, за исключением субботней ночи. Я пол ночи не мог заснуть и меня посетила паническая атака. Скажем так: она с ноги открыла дверь и выбила, нахрен, замок, который я не мог починить часа два, но кое что сделать я смог. ВЫЗВАТЬ СКОРУЮ И ПРОГЛОТИТЬ ЕЩЁ ОДНУ ТАБЛЕТКУ АЛПРАЗОЛАМА!😱😱 жуткой силы атака была! Скорая ехала больше часа! Когда она приехала, меня уже начинало помалу отпускать. Сотрудники, которые приехали, вообще вначале возмутились, что я их вызвал. С такими паниками нужно справляться самим, говорят! Но к удивлению, один специалист оказался понимающим и хорошо знающим свою работу. Он грамотно расставил все точки и наставил на путь нужных дальнейших действий. Пришел понедельник и после уже двухдневного курса, я почти прекратил хождение по квартире, начал есть с малым, но удовольствием, начал ни на долго включать даже телевизор, начал читать. Атак вообще более не было. Вообщем, начал входить в русло. На 6-й день лечения, врач проконсультировалась с неврологом и всё же посоветовала мне сделать МРТ, чтобы исключить все риски.

Бирку мне бесплатную не дали, сославшись на то, что я сейчас на лечении и они не могут из за этого оформить запись. Но этот червь уже начал опять поедать мои мысли и я решил сделать платно. Записавшись на 22:00, я взял с собой два последних диска, оба они были сделаны бесплатно, 2022 год был сделан в МЕДСИ, а 2023 год был сделан на велте. Более всего я боялся, что не смогу пролежать неподвижно 30 минут, в нынешнем положении моего духа. Данная процедура идёт 30 минут, т.к. снимки мне нужно делать с контрастом.

В итоге, я смог пройти этот квест, был лишь один нюанс: по снимку, который был сделан на велте нельзя было описать текущие изменения и хорошо, что я взял с собой снимки за последние два года (как чувствовал), а обычно описание делают при помощи последнего сделанного снимка.

Время 23:00 и мне сказали, что результаты будут готовы не позднее 8:00, и скорее всего, врач все сравнит утром. А так, результаты обычно готовы через пару часов.

Ладно, подумал я. Главное сделал и приехав домой, сладко лег спать. Но не долго получилось поспать. Сон мой прервал телефонный звонок в 03:00 с городского номера. Всем своим нутром я уже понял, кто это звонит.

Процитирую текст: - Игорь Владимирович, здравствуйте. Вас беспокоит клиника РЖД. (там я сделал МРТ) Срочно вызывайте скорую и госпитализируетесь. Ситуация очень сложная. Результаты Вам выслали на почту.

Сказать, что я был в мощнейшем шоке в тот момент, ничего не сказать. Звоня в скорую я двух слов связать не мог.

Как тебе, мой читатель, после такого, компетенция врачей на Никулина 10, которые всем нутром отказывали мне делать МРТ?🙂 И куда ты думаешь, меня привезла скорая? Правильно. На Никулина 10!🤣

Меня встречает местный нейрохирург, если что, то тот самый, который в 2018 году предрек мне или смерть, или инвалидность, и что в Перми такую операцию никто не сможет сделать.🙂 Он посмотрел на снимок и своей манерой вещать известия произнёс (если что, то я всё ещё не читал описание, очканул): - Ну да, было кровоизлияние, но сейчас не вижу смысла тебя госпитализировать. Операцию и я сам сделать смогу, исход будет печальный, так что иди домой и дальше живи. Сейчас ни один врач тебе не скажет, будет ли ещё раз кровоизлияние или нет. Ты просто должен понимать, что у тебя в голове бомба замедленного действия и можешь прожить до 80 лет, а можешь и завтра умереть. Уснуть и не проснуться. Просто, иди домой.

Как тебе, читатель?🙂

Я побрел в 4 утра домой и вообще не представлял, что дальше делать.

  • Дождался утра и последовал на приём в дневной стационар. Рассказал доктору текущую ситуацию, а он в свою очередь, в течении пяти минут провёл консультацию по телефону с неврологом у которого были выходные. После короткого разговора мне настоятельно посоветовали обратиться к Доку., который меня оперировал в 2019 году. Естественно, вначале я начал обрывать местные телефоны той поликлиники, чтобы хотябы для начала узнать, работает он сегодня или нет. Я дозванивался часа 2 с половиной, в итоге я все таки дозвонился по одному из номеров. Трубку взял какой то молодой специалист и сказал мне, что доктор на месте. Я обрисовал всю свою ситуацию, а в ответ услышал: - записывайтесь на приём в 103 кабинет. Т.е. триггеры для простого обывателя, в роли меня, которые меня беспокоили, а именно: «срочно госпитализируйтесь», «ситуация довольно серьезная», его вообще никак не коснули. Я их повторил, со всей настойчивостью, на которую был способен на тот момент, а ответ немного изменился🙂 Цитирую: - Вы меня не слышите?? Я же сказал, что записывайтесь на приём в 103 кабинет! Я решил, что моя жизнь по настоящему волнует только одного человека, меня. Как правило, ведь так в жизни и бывает, по факту! Не спорю, есть друзья, родня, самые близкие люди, так скажем, но так, как человека волнует собственная жизнь, при всём уважении ко всем поддерживающим людям, в такие тяжелые моменты в жизни, будет волновать только владельца этой жизни. Это я к тому всё сказал, что есть ооочень мизерный процент в мире докторов, которые искренне способны понять те чувства, которые испытывает почти полностью разбитый человек в такие тяжелейшие моменты. И их можно понять. Они тоже люди, с нервной системой, особенно практикующие хирурги, которые каждый день делают по несколько операций и любая операция, это колоссальная ответственность. На кону жизнь человека, за которую ты несёшь ответственность. Это не переобувать машину в зимнюю резину и не навесной потолок делать. Здесь права на ошибку нет. Но есть человеческий фактор, который всё равно может сыграть злую шутку даже у самого опытному в мире профи. И в 1000-й раз заставит его ошибиться. Бесспорно, что огромное влияние на исход зависит и от самого пациента, но когда происходит что нибудь ужасное и необратимое после операции, попробуй потом себе объясни, что ты делал всё четко и это просто пациент не справился! Как ни крути, но на протяжении нескольких лет такой практики, даже если ты самый невозмутимый в мире удав, ты всё пропускаешь через свою нервную систему, а вечного в жизни ведь ничего нет🙂 Это как с машиной, чем лучше ухаживаешь, тем на дольше хватит, но ты хоть заухаживайся, всё равно придёт время поломки, это неизбежно. Есть ещё один фактор: мерседес прослужит дольше, чем лада🙂 (есть сильный характер, а есть слабый, но выполняют одно и то же). Но на свалке рано или поздно будут обе машины🙂 Позвольте объяснить, к чему была сейчас вся эта лирика. Такие люди, как практикующие хирурги, не размениваются на каждого пациента. Да у него в день может быть по несколько пациентов, таких как я. И если будешь размениваться на каждого, то быстро закончишься! Тогда возникает логичный вопрос: А что делать то тогда?? Просто лечь и умереть? Вот именно в такие жизненные ситуации у любого человека проходит все его чувства бессмертия и включается инстинкт самосохранения. Объясню, как это работает: Ты находишься в горах и перед тобой лужа, которая образовалась от мочеотделения горного козла. И ты не не можешь покинуть горы, и как ты думаешь, ты выпьешь эту лужу через 7 дней?🙂 Уверен, что найдутся те, кто скажет, что в жизни не выпью это и лучше умереть. Поверьте, выпьют ВСЕ! Так как когда включается инстинкт, то себе вы уже не принадлежите! И не даром есть такая поговорка, что сытый голодного не поймёт! Это как раз про такие случаи, как мой крайний диалог с доктором, но зла я на него не держу. Выше описал, почему🙂 Умирать я не лёг, а включился мой инстинкт! Мы поехали в поликлинику на авось! Я попал в приёмную, объяснил, что происходит и что я хочу получить и мне ответили: - идите в 103 кабинет и ждите, врач к вам подойдёт.🙂 Мы пошли в 103 кабинет и сидели там два часа, но врача всё нет, а знаете, кто подошёл?? Пациенты, которые записывались когда-то, по времени😂 Я понял, что ни чего я тут не дождусь и решил брать штурмом, А иначе никак. Мы просто пошли попытаться проникнуть в отделение нейрохирургии. Объясняю, в чем сложность. Сейчас в этой больнице как в пятизвездочном отеле, где есть алинклюзив! А чтобы понять, что у тебя всё включено, у тебя особый браслет! Так вот, в отделение открывает замок только этот браслет, а так, дверь закрыта всегда и часы приема с 17 до 18! И надежда лишь на каково нибудь блудного, решившего выйти🙂 К удивлению, ждать пришлось всего часок, но это крупинка на общей картине! Я попал в отделение, сел на лавочку у кабинета врача и просто стал ждать. Через 20 мин. я уже увидел доктора, он возвращался после операции и я решил не начинать назойливость сходу, а подождать, пока спросит сам, но он не спросил😂 Зато из кабинета вышел тот доктор, с которым я разговаривал по телефону и знаете, что он мне сказал? Вот: - Ты что тут делаешь? Я же сказал ждать у кабинета! Я не выдержал и огрызнулся чуть: - ДА Я УЖЕ ЧЕТЫРЕ ЧАСА ЖДУ!!!!! Что не понятно в моём поведении простого человека, который услышал от другого доктора ночью «срочно госпитализируйся» и «ситуация серьозная»???????? Только после этого он попросил снимок и сказал, что сейчас посмотрит. Он смотрел пять минут, потом позвал врача, который делал мне операцию. Они вышли через пять минут и молодой доктор подошел и спрашивает: - На операцию согласен? Но риски большие и можно стать инвалидом или впасть в кому. «Нормальный» такой раскладец! Но я ответил: - Док, вы посмотрите на меня! То что сейчас происходит, не жизнь! Согласен. Док: - на самом деле, сейчас ситуация ни на грани смерти, всё уже произошло. Конечно, сейчас ни кто не спрогнозирует, будет ли ещё кровоизлеяние и когда, но если будет, то оно только все усугубит! Иди оформляйся и госпитализируйся. Я оформился и госпитализировался, но с врачём я поговорил только через три дня и то, я сам подошел! В первый же день я лишь подошёл к местному психологу и поговорил с ним. Мне сказали, что сейчас моя главная задача, это позитивно настроится на операцию, так как от этого много зависит! Я лишь рассказал психологу, что на протяжении месяца со мной происходило, как меня «лечили» и что по поводу операции я слышал один лишь негатив! Каким образом мне положительно настроиться??? Мне нужна помощь и услышать от доктора хоть немного позитива, иначе я не смогу. Психолог меня услышал и оперирующий доктор всё же дал мне и положительные расклады, ведь операция для этого и делается, по факту. Просто доктора всегда озвучивают все риски и перестраховывают себя. Но сказал, что я буду лежать минимум две недели, пока не рассосется кровь и не спадет отек. Лекарств мне вообще ни каких не дают и состояние никто из докторов не проверяет, а я просто лежу на сохранении🙂 Я потом понял, почему дома нельзя ждать операцию, ведь всё равно мне ничего не делают, а я просто место занимаю. Что за прикол??? А вот, что за прикол: дома можно подхватить даже какую нибудь незначительную инфекцию, а это сразу отмена операции! Подвиду итог моего мемуара, но это ещё не конец! Надеюсь на хеппи энд!😉 Написал я это всё на восьмой день ожидания, каждый вечер выпиваю таблетку алпразолам. Как бы мне этого не хотелось, но без неё я не могу спать и 100% она поддерживает мой нынешний позитивный настрой. Ещё забыл прикол рассказать, что первые три дня я жил в палате с челом, который ночами издавал такие звуки, как будь то на нас бомбу сбросили. Король храпа, короче! Вы же не забыли, что у меня шумы в ушах и раздражают громкие звуки? Так вот. Ночами я не спал а гулял по коридору! Лишь на третий день я не выдержал и попросил психолога, чтоб она посодействовала и меня перевили, а иначе будет срыв. А хирург мне сразу сказал, что если будет срыв, то меня выпишут без операции.

  • Сейчас я живу один в палате и даже туалет свой🙂 Повезло, что палата была свободная! В общем, лежу и жду операцию и настрой только позитивный!!! Работающие, если дочитали, то слушайте лайфхак! Если не знали, то он вообще чёткий! Если ты уволился с места работы и сейчас в поиске и в течении месяца после увольнения заболел, но ещё не устроился ни куда, то работодатель бывший обязан оплачивать больничный в размере 60% от обычного больничного, на весь период длительности больничного, т.е. хоть месяц он будет длиться, хоть год! Ждите продолжение😉

  • The Show Must Go On

Показать полностью
14

Моя история

Всем, кому интересно, прочитайте краткий период моей текущей жизни. Будет интересно 100% и немного полезной, я думаю, информации, связанной с нашей медициной и лайфхак для официально работавших и сейчас в поиске работы. Написал давольно таки не дурно, на мой взгляд.

2018 год, я в рассвете сил, куча амбиций, куча здоровья, живу полной жизнью с одним исключением, ни одной вредной привычки, 100% ЗОЖ! В 2019 году ко мне постучалась головная боль. Ну думаю, бывает же, сейчас поболит пору дней, таблетки всё вылечат, но идут недели и к головной боли приходит в гости онемение пальцев правой руки. А вот это уже необычно, думаю. Записываюсь к неврологу. Та, в свою очередь, сопоставив все жалобы, говорит - Сделай ка дружок, МРТ головного мозга, чтоб исключить самое ужасное. Я без задней мысли иду делать МРТ, думая о каких то завтрашних делах.

Мне делают МРТ и через 15 минут меня завет к себе врач, который описывает снимки и говорит: - у Вас в голове кавернома и нужна консультация нейрохирурга. Думаю, ну ладно, всё таки 21 век на дворе, что ерунда какая то.

Приезжаю в свою медсанчасть по прописке «Никулина 10» и там местный спец. мне начинает излагать: - У тебя в голове бомба замедленного действия и если её оперировать, то, во 1-х: ни один хирург в Перми не возьмётся за данную операцию, а во 2-х: это или инвалид или смерть. Меня начинает пробирать холодный пот, ведь решений ни каких я больше не услышал. С такими новостями я иду домой. Я уже не помню достоверно, как я узнал про 4-ю больницу и ещё, оказывается, что в мире есть такая вещь, как Гамма нож, но не очень дешевая. Появилась какая то надежда, но случилось непоправимое: кровоизлияние в мозг. Объясняю, что произошло: онемело вся правая часть тела и не просто онемела, а рукой я даже не мог держать кружку, онемела вся голова (это, как после укола новокаина, когда замораживают на время, чтоб не чувствовать боль), так это тоже самое, только всей головы, но боль будешь чувствовать, а онемение не проходит. Плюсом к этому арсеналу добавьте ещё головокружение и тошноту (головокружение и тошнота прошли лишь через неделю. НЕДЕЛЮ, Карл!!!). Меня хотели отвезти на скорой в больницу у Велты. Я сказал, что сам туда дойду и когда дошёл, мне сделали кт, узнали, что было кровоизлияние в мозг и врач меня спросил: - Ты как вообще ещё ходишь?? Меня лечили там 10 дней, прошло головокружение и тошнота, но головокружение не до конца, при подъеме головы вверх она кружилась. Всё онимение и слабость в руке и ноге остались. При выписке мне сказали: - опухоль уменьшилась в размерах. ОПУХОЛЬ, БЛЕАТЬ???? Как потом выяснилось, что кавернома - это просто по факту опухоль, но доброкачественная. Но вишенку на торт я ещё не положил.🙂 в течении пары недель появилось головокружение и усилилась слабость в ноге и руке(они уже почти не принадлежали мне). Я поехал в 4-тую медсанчасть, которая находится на Ким. Там я встретил его. Зав. отделения нейрохирургии Штадлер Дмитрий Иванович. Он посмотрел все снимки, оценил, а вот и вишенка: кавернома не уменьшилась а увеличилась!!! Камень в компетенцию врача на велте!

И первых два вопроса врача звучали так: Лет сколько? Дети есть? Нормальные такие вопросы, да?🙂 Далее он сказал: я возьмусь за эту операцию, но ни один врач в мере ни даст тебе никаких гарантий. Я дребезжащим голосом: но есть же гамма нож, там же без вмешательства. Он ответил, что она слишком большая и они уже не возьмутся.

Согласен на операцию?

Да!

И начались три недели ожидания, лёжа в больнице. Операцию переносили 4 раза и на протяжении сего времени я слушал от врача только одно, из-за дня в день: - Ни какой гарантии. За всё это время я вспоминал свой пройденный к 33 годам путь: ездил в турцию в роскошнейший отель 5+, был в Дубае почти месяц, объездил более 30-ти Российских городов, был на 4-х незабываемых матчах ЧМ 2018 по футболу. Служил в элите Росийских войск. ВДВ. Прыгнул с парашютом 33 раза, из них 1 ночной и два боевых (с минимальной высоты, чтоб только парашют успел раскрыться) более 15-ти раз с самолета Ил-76! (А Вы знаете, что такое прыгнуть с ила?😏) Те, кто знает, те поймут! Я сидел в носовом отсеке Ила 76 - это где у самолета внизу морды большой иллюминатор, где сидит штурман и даёт команду десантироваться. Наш самолёт летел последним в колонне, были полковые учения, с десантированием всего полка с техникой, а наша рота обслуживала эти учения и по этому этот единственный прыжок я пропустил🙂, но сейчас представьте вид из этого иллюминатора. Более 1000 парашютистов в небе с 10-ками танков приземляются и это не вид с земли даже, хотя и с земли он бы был шикарен, а это всё на высоте более 1000 метров, из иллюминатора самолета. Это незабываемый вид. Пострелял из танка, птура, многочисленного вида оружия, пожил не мало в военных условиях зимой (в лесу, в землянке, которую сам готовил для жизни). Вспомнил незабываемый вид уральских гор на расстоянии 100 метров, где я провёл более месяца по работе. Водил танк, водил целую роту на многочисленные учения, рулил отделением, состоявшим из 7-ми человек, 2 года. Написал 19 стихов (Не Есенин, конечно, но всё же). Даже ребёнка успел повоспитать, не долго, не своего, но всё же. Что то хорошее в голове у него 100% активируется, когда повзрослеет. Я жал 130 кг от груди при весе 75, 11 раз с 50-ю кг. отжимался на брусьях, 100 раз от пола, 60 раз на брусьях. И говна, конечно, я сделал не мало, перечислять не буду😁 Но добра я делал на много больше. Зачем я всё это перечислил? Потому, что всем этим я горжусь и согласитесь, не так уж и мало к 33 годам.

И вот наступает заветный день, я передал другу все необходимую информацию, что нужно будет сделать, если…ну вы поняли. Вводят наркоз, считаю до 10, не досчитываю, отключаюсь.

Открываю глаза! Все недуги исчезли, осталась лишь небольшая слабость в правой ноге. Ещё действует наркоз и боли я не чувствую. Первая мысль, сделать селфи🤣 но есть одна проблема, я не помню пароль от телефона! Я вспоминал его более часа и всё же вспомнил! Запилил сэлфач🙂, думаю, что надо кому нибудь написать и начинаю писать, но как выясняется, я писал невообразимую белиберду, как 3-х летка, наверное. И тут отпускает наркоз и приходит она.. Головная боль. И знаете, как я её опишу? Одной фразой: Зачем я согласился на операцию?? Представляете, какая это боль, с учётом того, что все недуги ушли, а такая мысль возникла! Боль длилась несколько дней, не помню точно, сколько, но меньше недели, с учётом того, что мне же каждый день ставили обезболы. Жутко давила повязка на голове, что я даже один раз снял её с головы! Конечно, по факту она не давила, но мне просто до жути она напрягала! А ещё, так жутко боялся, что в шоф попадёт какая нибудь инфекция. Прям до жути боялся!😁 Ещё одна из фобий была - это закрытая в палату дверь! Хоть в палате я был и не один, а с бабулей, которая частенько кричала и постоянно кому-то рассказывала, что в морге носилуют. Не приукрашаю, реально это были её частые диалоги с самой собой. Она лежала за дверью, но палата была одна, а общую дверь из палаты я всегда просил медсестер не закрывать.

Шли дни и когда я стал более менее адекватен и боль почти отпустила, у меня состоялся диалог с доктором.

Док сказал, что операция прошла хорошо, но…

Блядь, «НО»!!!😟

Всю каверному удалить не получилось, т.к. она находится в стволе головного мозга и были слишком большие риски повредить какие нибудь нервные окончания, что произойдет что то ужасное и безвозвратное!

Всё же он сказал: - я её сейчас вскрыл и набираться она больше не сможет и больше тебя она не побеспокоит, так что радуйся дальше жизни! И ещё одна хорошая новость, что пришли анализы образца коверномы и она доброкачественная!! ПРИКИНТЕ??? Ещё и не были уверены, что она доброкачественная! Меня, если честно, это ошеломило немного, с учётом того, что потом мне ещё другой доктор отдал какие то стекла с образцами и сказал после выписки идти в анкоценр и проверить образцы! Меня всего затрясло и я пошёл к Штадлеру и спросил: - Это что, прикол какой то???🥶🥶🥶

Он сказал, что это просто формальность и можно вообще туда не ходить, ведь результат уже есть, а те образцы можно выкинуть! Я так и сделал!🫡

Наконец, через пару месяцев в больнице, меня выписали и в заключении было написано: каждый год делать МРТ. Ну да ладно. Надо, так надо!

Я восстанавливался ,в общем, через пол года. Находясь дома во время восстановления я обнаружил один прикол. Открыв книгу, я смотрел и не мог понять, что там написано!😟 Короче, я заново учился читать! Это, конечно, ни как двух летнего ребёнка учить читать, но скажу я вам, около того! Времени это заняло не очень долго, чтобы опять научиться, но я научился. Скорость чтения не вернулась, конечно, и сейчас я редко, но теряюсь в месте, где читаю. Ну да ладно!😏

Начинался новый период моей жизни! Амбиции, конечно, сошли на нет, к сожалению, но я хотел жить! Пришел великий, для меня день. Знаете какой? После такого жуткого периода жизни, я вернулся в зал! Я клянусь, я прослезился, когда там стоял. Ведь я думал, что больше я сюда не вернусь! Но не тут то было! Я начал заниматься и постепенно обретать былую форму! БЫЛУЮ ФОРМУ!!!!🥲 Спора нет, к прежним результатам я не вернулся, но был ооочень близок! 120 от груди, 80 от пола на кулаках и 50 на брусьях! Согласитесь, не плохо. Я даже в бокс пошёл. В БОКС!😊 Я конечно, далекооооооо не профи, но скажу так, что скорость рук очень хорошая и выносливость неплохая, для любителя! Местный тренер, вообще не зная меня, подумал, что я даже где то занимался и сразу только для меня выделил мне новые перчатки и сказал, что это будут мои личные! Думайте, зачем я всё это рассказываю?? Повыё.?? Нет. Я лишь описываю правдивые факты и это всё было после операции, когда мне до операции только и говорили: Ни каких гарантий. Смерть или инвалид, а третьего не дано! А тут 120 от груди и личные перчатки, не плохо, я считаю😏

Шли года, а точнее 4 года. Каждый год МРТ без изменений, всё хорошо. 2023 год, начало лета, ко мне в дверь постучался приступ головокружения и такое чувство, что вот вот умрёшь. Это не приступ паники. Объясню ниже, почему я это знаю! Головокружение прошло, приступ отпустил в течении часов трёх. Но заболела голова. Если честно, на протяжении 4-х лет после операции, у меня были подобное приступы, но они были настолько кратковременные, что я даже и не брал их в оборот. А на этот раз он долго тянулся, ещё и голова заболела и не проходила. Потом ещё и лицо онемело. Подумал, что точно надо вызывать скорую! Положили в нашу «великую» поликлинику на Никулина 10. Вы потом поймёте, почему я так иронизирую. Мне сделали кт, ставили какие то капельницы и на ночь давали какие то таблетки. Пролежал 10 дней, всё более менее прошло, через 20 дней почти восстановился. Пришел на прием к неврологу, она там мне сказала: ты дурак? Какой бокс? Какие 120 кг? Хочешь жить, остепенись!

Я всё и списал на сильнейшее переутомление на боксерских спаррингах! Я действительно, там жутко уставал. Молодые пацаны за мной не успевали. Думаю, ладно. Завязываю со всей жестью и оставлю лишь ОФП и бассейн!

Крайний год жил спокойно и размеренно! Ни нервоза и тяжелых тренировок. Почему про нервоз так уверен? Я помню себя раньше, как я ко всему относился и вел себя! В сравнении с ранними случаями, просто само спокойствие! Психовал пару раз, не отрицаю, но в разумных рамках, не ярче многих людей, скажу так!

2024 год на дворе, конец мая. Уволился со старого места работы, меня уже ждут на более перспективное место, с большей зарплатой и без жутких командировок! В пятницу я планирую, что выйду в понедельник на новое место, хотя планировал вначале недельку отдохнуть. Собираюсь на тренировку но мне маленько не по себе. Думаю, что ни чего страшного. Вечером посплю и в субботу будет хорошо. В субботу встаю, а мне всё ещё не по себе. Если честно, сейчас и не вспомню, что меня беспокоило. Встаю в воскресенье, но мне всё ещё жутко. Думаю, что в понедельник всё же не на новое место выходить, а записаться на МРТ и к неврологу. Так и делаю, записываюсь на понедельник к специалистам, ложусь спать.

Показать полностью

Облысение- закономерность, наследственность или приобретенное3

В связи с моим "открытием", обнаруженном мною случайным образом Черные точки на лице - ошибочное мнение врачей, почему то подумалось, что выпадение волос надо предупреждать, а не лечить уже полученные последствия, ну за редким исключением конечно.

Фото из интернета

Фото из интернета

Потеря волос на голове человека, это нативный вопрос связанный как с генетикой так и естественными процессами старения организма. Но вот когда человек вдруг начинает терять волосы спонтанно и если это не связано с радиацией, отравлением химическими элементами или иное приобретенное случайным или производственным процессам на предприятиях где работает человек, то есть высокая вероятность, что в процессе выпадения задействованы какие либо Staphylococus epidermidis или иная живность незаконно проживающая на нашей голове.

Так как процесс потери волос при естественных условиях идет достаточно медленно, то многие обращают внимание на это когда работа идет "полным ходом", условно говоря. Нет, лечиться неведома от чего не предлагаю, а вот сдать волосы головы, с волосяной фоликулой на анализ, на предмет определения живых микроорганизмов, это да, возможно это предупредит от раннего выпадения волос кому то. Почему я обратил внимание именно на эту проблему. Если прочитать мой пост, указанный вначале этого поста, то там есть замечание, где именно образуются "колонии" черных точек, то есть на освещенных участках тела и лица. Так что на голове может разместится та же животина и ее жизнедеятельность, как правило. скрытая от внешнего наблюдения и ничем себя не выдающая, то есть отсутствуют следы подрывной деятельности , может неблагоприятно влиять на существование фоликул волосяных луковиц, что и приводит в частном случае к выпадению волос. Подозрение усиливает то обстоятельство, что другие волосы при этом не страдают этим. Это брови борода, усы. Я думаю, что те кто обращался по поводу выпадения волос к врачам, то естественно что проводится анализ волос, на выявление причины этого следствия. Я пишу для тех, кто заметил данный процесс у себя, и махнул рукой, не стоит затягивать, стоит провериться, а вдруг. Не думаю, что мой пост блещет новизной, но вот если бы я не попробовал, то никогда бы не узнал, что на поверхности моего лица жил целый зоопарк разно-видовой. А вот в тридцать лет терять волосы, это тоже не есть хорошо или я ошибаюсь и многим это нравится.

Показать полностью
3

Посоветуйте толкового врача...

Тут в одной Вайберской группе, в которой я имею честь состоять, обратился мой онлайновский знакомый с общим кличем- посоветуйте толкового эндокринолога..

Я вот и задумался - а что есть такое "толковый врач" в какой-либо узко-специализированной области? И почему наш народ по прежнему ищет что-то по знакомству и рекомендациям?

Нет, я серьёзно... Это не наезд на врачей (низкий поклон им до земли, хотя бы за то, что с того света на чистом энтузиазме меня вытаскивали не раз,...), это риторический вопрос... Почему такой стереотип?

Узкая специализация у врача. Если это не кардиохирург, которому всю жизнь учиться и множить свое персональное кладбище ... А допустим... Ну, допустим проктолог.

Если ты ковырялся в чужих задницах лет пять с восьми утра до пяти вечера каждый день на протяжении пяти лет ...

Если ты хоть как то пытаешься расти в своей профессии, и не просыпаешься каждое утро со словами "Блять... Скорее бы на пенсию, как меня все это за@@##ло.."

То ты, как врач, по умолчанию толковый.

Ты должен быть Профи с большой буквы. Ты должен быть непререкаемым авторитетом.

Не важно, работаешь ты в больничке в Мухосранске, или в крутом мед центре в Нерезиновой, но налет часов не пропьёшь...

Может сумбурно получилось но вопрос такой - как можно проработать большое количество лет врачом и быть "не толковым"?

Показать полностью
841

Свищ прямой кишки!

Предыстория, как началась моя болезнь.

Мой диагноз : Свищ прямой кишки.


Но до этого наберитесь терпения, присаживайтесь поудобнее. Начало болезни , все было хорошо. До момента как я пошла зимой смотреть , на самую красивую новогоднюю ёлку в городе.

На следующий день, в области женских половых органов появилась ноющая

, боль. Боль с каждым днем нарастала. Потерпев пару дней, дома обсудив с мамой пришли к выводу. Что простудила седалищный нерв. Не знаю, почему я пришла к такому выводу. Но не суть.


Вот прием у невропатолога, на минуточку врач высшей категории, профессор.

Посмотрев меня, она поставила диагноз «защемление-воспаление седалищного нерва». Написала целый список лекарств, капельниц, уколов и согревающих мазей. Сказала через 10 дней станет лучше.


И так началось мое лечение «нерва». С каждым днем мне становилось хуже. Температура 39-40, давление 80/50, пульс 140-150. Уже ни сесть, ни встать было невозможным, плюс ко всему, я в уплотнение где был отек , интенсивно мазала согревающими мазями и от этого мое состояние ухудшалось. Спустя пять дней, на месте где был отек появился пузырь и он лопнул. Был ужасный запах. Тут-то я и поняла что это далеко не нерв…


3 часа ночи из меня выливается гной. Проштудировав интернет. Поставив себе диагноз «киста бартолиновой железы». Еду к гинекологу, она осмотрев меня выпучив глаза говорит это не по-женски, поезжайте к гнойному хирургу.


И вот уже я в районой больнице, в отделении гнойной хирургии.

Хирург говорит операция будет сейчас же, времени ждать нет. И начинает резать, говорит что сделал обезболивающее, по моим ощущениям он резал на живую.

Было жутко больно , я и кричала и плакала. Было и морально тяжело, от непонимания что происходит. Они с медсестрой походу операции ставят диагнозы: фурункул, атерома, бартолинит.


И так его диагноз «бартолинит» . Выписывает антибиотики и перевязки каждый день и осмотр у хирурга в районе в своей поликлинике . В течении месяца. Не буду лукавить, первые 5-6 перевязок были болезненными.


И так визит к хирургу, он увидев мою рану заявляет

-это абсцесс и спрашивает сообщили ли мне про вторую операцию через месяц. Я в недоумении, говорю нет не говорили ничего подобного, сказали это киста за месяц все зарастет. Хирург отвечает что это свищ и что у меня был острый парапроктит. Я реву, на что он говорит возможно само все заживет , ведь организм молодой. Я вычитав в интернете что это за напасть такая, пришла к выводу «да что может знать хирург, в поликлинике». Врач в больнице лучше знает и ох как я была не права.


Прошел месяц, рана полностью зажила. Но в ней появилась маленькая щель… И время от времени, были очень скудные , не понятные выделения. После этого мне стало не спокойно. Решила я обратиться на этот раз к гинекологу , он сказал это не киста, и что на этом месте был самый обыкновенный фурункул. И опять месяц непонятных перевязок. А отверстие то закрывается, то открывается.


Решила пойти дальше, нашла хирурга. Он зондом ковырял в этой щели и был поставлен с его стороны тоже интересный диагноз что фурункул нашел вход во влагалище😄

Сказал надо будет сделать рентген с контрастным веществом чтобы посмотреть, как идет путь свища. И перенаправил меня куда? Правильно, к проктологу.


И вот я уже в кабинете и проктолога. Он начал у меня спрашивать, что же со мной случилось и я начала ему рассказывать, внимательно выслушав, он пригласил меня в смотровую.

Рассматривал пальчиком минут 5 и был поставлен диагноз: Свищ прямой кишки. Причем самый сложный свищ.

Объяснил что будет операция в два этапа. Первая установление лигатуры, вторая операция иссечение свища. А еще он сказал о рисках и вот это было самое ужасное. Уже в его кабинете мои руки и ноги онемели от ужаса услышанного. Я вся в слезах вернулась домой.


Обдумав 10-15 дней я решилась на операцию. Все эти дни, мне было тяжело. Я не спала, не кушала и бесконечно плакала. На этом фоне у меня сбился цикл месячных и я похудела.


Вот я уже в больнице.

Все стандартно, капельницы перед началом операции, клизма. Все терпимо.


В 6 часов вечера, пришел помощник хирурга. И вот мы уже идем в операционную, ну и понятное дело я вся трясусь, плачу его слов поддержки, не слышу. Захожу в опер-блок вижу анестезиолога и он объясняет что наркоз будет спинальной и что от него отходить легче. Я реву так как у меня уже был печальный опыт во время родов. Но я согласилась, что уже теперь поделать… Но он с первого раза попал, я даже не почувствовала укола в спину.


Начинается операция, мне все так же страшно. Попросила чтобы мне вкололи что-нибудь, чтобы я спала. Анестезиолог ввел успокоительное и вот я уже с отключенными эмоциями, читаю молитву чтобы все это быстрее закончилось.


И уже минут через 10-15 заканчивают операцию. Я удивленна что так быстро закончилось. И я уже в своей палате.

Через 5-6 часов отошел наркоз. Мне всю ночь кололи уколы, капельницы.


На утро я ждала боли ее не было. Сама сходила в туалет.

Хирург просит пройти в перевязочную, я уже всего страшного начиталась в интернете, ждала боли но ее не было. Было немного неприятно когда убирают трубку из заднего прохода, все остальное терпимо. Ничего страшного не было. Первый поход в туалет, тоже все нормально.


Сегодня уже 19 день после операции, я пока восстанавливаюсь . Болей нет, вообще. Ну бывает время от времени пощиплет и пройдет.


Но меня пока смущает моя рана , выделения из нее. И выход кала и газа из разреза. Но конечно же что пока не могу контролировать иногда газы. Врач говорит что за пару месяцев все наладится. Посмотрим…


Если есть вопросы, спрашивайте. Буду рада общению и обмену опыта. У меня тоже много разных мыслей. Мне морально тяжело пока. Физически все терпимо.

Показать полностью
166

СЛУЧАЙНОСТЬ ИЛИ ПРЕДОПРЕДЕЛЕННОСТЬ?

27 мая я вызвала скорую сыну. Он жаловался на острую боль в животе. Привезли нас в приемное отделение, ребенка посмотрел хирург, назначил ему анализы, поставил укол дротаверина, сделал клизму и отпустил домой со словами: "Показаний для госпитализации нет. Аппендицит исключаю. Это обычные колики. Вздутие..."

На утро пацан уже с трудом ходил. Боль опустилась ниже. Я приспустила трусы и ужаснулась от вида опухшего, покрасневшего яйца. Тут же вызываю скорую. Нас снова везут в больничку. На этот раз его уже смотрел уролог. Сразу же сказал: "Оформляем. Будем оперировать."

Врач приказал следовать за ним и быстрым шагом поторопился к кабинету узи. Протолкнув всю очередь пригласил нас в кабинет, внимательно осмотрел ребёнка и подтвердил свои предположения: "Ни есть, ни пить. Оформляйтесь. Вас позовут на операцию."

Через два часа ребёнка уже прооперировали. Только потом я поняла причину такой спешки. Оказалось, в таких ситуациях, время играет против нас. Произошёл перекрут гидатиды. Его ещё называют мужским аппендиксом. Если во время не прооперировать, то воспалительный процесс переходит на окружающие ткани, что приводит к некрозу яичка и есть риск полного удаления придатков.

После операции врач сказал, что воспаление было уже достаточно запущенное. Уже произошёл некроз...гидатиды. Только самого отростка. Пошла стадия заражения органов. Но благо вовремя успели. Яичко сохранили. Сейчас пацан лежит в больнице. Колят ему антибиотики, делают перевязки, и он уже бегает.

Самое забавное в этой истории, что 28 мая, в день его операции, у меня предстоял рейс в долгожданное путешествие. А 1 июня сын должен был пойти в лагерь. Но за день до случившегося я получаю сообщение об отмене рейса. По началу я взгрустнула. Ведь я так долго ждала завершения учебного года, чтоб можно было спокойненько отдохнуть одной. А тут эта чёртова отмена рейса. Немного позлившись на ситуацию, которая вышла из-под моего контроля, я успокоилась, сказав: "Ладно, пох. Всё идёт как надо. Значит жизнь приготовила для меня что-то другое." Даже в сторис это написала. А через два часа мы уже ехали в скорой с подозрением на аппендицит🙃

Что было бы если рейс не отменили? Вариантов куча. До лагеря дети остались бы с отцом. Возможно уехали бы в деревню. Жаловаться ему они боятся. Вероятнее в больницу бы обратились позже и последствия могли быть куда более плачевными.

Вот так, в очередной раз я убедилась, хочешь рассмешить бога - расскажи ему о своих планах. Ибо нехуй бежать впереди жизни. Ей лучше знать где кому и как. Да и кто знает что могло произойти в моей поездке. Возможно и меня от чего-то уберегло.

А у вас случилось такое, что срывалось что-то значимое, а в последствии оказывалось, что нихренашечки это не значимое? Верите в случайности? Или всё таки они не случайны? У меня так однажды сорвалась сделка купле-продажи квартиры. В день сделки меня увезли с апоплексией яичника, а позже я узнала, что заключи я ту сделку - то лишилась бы всех своих сбережений.

Показать полностью
Отличная работа, все прочитано!