Сообщество - История болезни

История болезни

5 906 постов 6 708 подписчиков

Популярные теги в сообществе:

13

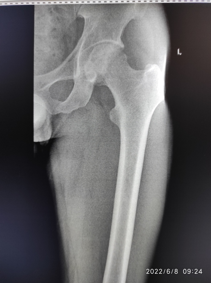
Сказали нужна операция

В общем сказали нужно менять головку бедренновой кости на железную. Пока пытаюсь записаться на консультацию в республиканскую больницу. Я пока ещё не совсем понимаю что за операция и долго ли проходит реабилитация. Кто сталкивался с таким прошу рассказать. У меня боли начались года 2 назад. Могу ответить в комментариях, если интересно.

Показать полностью 3
2123

Жизнь и дылочка

Всем привет!
Бдагодарю всех за поддержку 😌

Ну что, Друзья, настал тот момент, когда
дылка стала дылочкой! Да-да. Она значительно уменьшилась, почти в 2 раза!
У десны 4 мм, у режущего края 3 мм!
Зубы сдвигаются довольно ровно, сильного наклона нет, и это радует)

Последние два дня резко стало тянуть зубы на нижней челюсти. Брекеты в действии))
Плюс стрессовый завал на работке провоцирует ноющие ощущения.
Все зубы чешутся. Очень. Почесать не получается, только терпеть. Развлекаюсь, кайфую))

Но не смотря на всю гамму ощущений - я могу жевать! Пусть это мягкое и порезано на миллион кусочков, могу! Уже осиливаю целый нектарин за раз.

Снова стало сложно выговаривать "Р". Для нормальной речи необходимо нижнюю челюсть выдвигать вперёд, а это тяжело. Мышцы устают и начинают болеть, а за ними и головная боль подключается. Поэтому не стараюсь, не напрягаюсь, не выговариваю)
На самом деле, "Р" как бы есть, но очень калтавая и ее плосто не слысно) И чем меньше выдвигаю челюсть, тем более калтавая "Р")

И я всë равно рада! Кайфую от каждого ощущения, даже неприятного)) чувствую себя мазохистой (О да, ещё, ещë!) 😁😁
На самом деле я радуюсь прогрессу. Есть ощущения, значит идёт работа брекетов, а я приближаюсь все ближе к цели! И это прекрасно!
Не было ни единого момента, чтоб я пожалела о происходящем)

Друзья, писала данный пост пока ехала в метро, и в какой-то момент со мной заговорил рядом стоящий человек! Оказывается, ранее читал мои посты, а тут и я встретилась) И это таааак приятно! Это тот самый случай, где настроение взлетает до небес, не смотря ни на что! Уиии)
Уважаемый Пикабушник, если Вы это читаете, хочу Вас поблагодарить за приятную встречу и беседу!) Мне понравилось!) А то я растерялась, а Вы так быстро убежали в суматохе метро и я даже сказать ничего не успела)) Спасибо!

Пожалуй, сегодня и закончим на данной прекрасной ноте) Всем обнимашки 🤗🤗🤗


Немножко меня, уставшей и измученной после работы🤪

Показать полностью 2 1
58

Боль в туалете после месячных

Девушки, подскажите, может, кто-то сталкивался - после месячных, как только они заканчиваются, становится больно ходить по-большому. Проктолог сказал - ну, трещина, ну, питание, ну, лекарства - но толку никакого...


Существую в этом аду уже несколько месяцев, неделя красная, три недели боль в туалете. Всерьёз думаю о самоубийстве, потому что это не жизнь.

5793

Год без желудка и рака

В предыдущих сериях:

В январе прошлого года обнаружили рак желудка. В феврале проводили обследования, в марте и апреле проводили химию по схеме FLOT.

В мае удалили желудок и часть пищевода.

В июле, как уже писал раньше, схлопнулось лёгкое из-за жидкости в брюшной полости. Жидкость откачали, лёгкие вентилировали искусственно. Потом случился перитонит, который загнал меня на месяц в реанимацию.

Месяц я питался через зонд, дышал через трахеостому, в основном валялся обдолбаный наркотой, ловил некислые приходы и отращивал пролежень на крестце. Периодически проводили операции разной степени сложности, провели некрэктомию, сформировали анастамозы, санировали дыхательные пути частенько, переливали кровь. Мышцы и рецепторы атрофировались, а мозг охреневал от произошедшего и старался удержать кукуху на месте.

В конце августа меня выписали, но рекомендовали несколько дней пожить в гостинице, чтобы в случае эксцесса не добираться тысячу километров, и я поехал к семье.

Еда заходила крайне туго и в малых количествах. После приёма пищи накрывало демпинг-синдромом, сердце колотилось как бешеное, пробивал жар и дикая боль в животе. Послеоперационная рана на брюхе, что удивительно, затянулась быстро. Разрез трахеостомы тоже, но говорить нормально я начал в конце сентября, до этого только шопотом. Диких размеров пролежень окончательно затянулся только в феврале.

Ходить было больно и тяжело, по улице я передвигался с тростью и на небольшие расстояния. После прогулки в 200 метров была сильная слабость и давление в животе, поэтому первое время такая прогулка была раз в день, остальное время был дома, валялся в кроватке.

К концу ноября смог более-менее сносно ходить сам и мы с женой и детьми вернулись на постоянное место жительства, до того времени жили у моих родителей. С питанием лучше не становилось, после приёма пищи ДС, кроватка и знакомая дорога в туалет.

В январе на фоне постоянных головных болей и недосыпа решил попробовать донормил. Так себе решение. Однажды ночью жена разбудила, сказала, что у сына долго течёт кровь из носа и надо вызывать скору. Я вскочил с кровати (ага, ага), давление сделало шатай - болтай и отправило организм спать дальше. Проснулся я через несколько секунд с дикой болью в плече, которое оказалось сломано. Кровь у сына остановилась сама, а я, приняв очередную порцию обезбаливающих, пополз спать.

На следующий день поехал в поликлинику, где мне сообщили, что упал я удачно и можно обойтись без операции, примотали левую руку к телу таким образом, что запястье как раз лежало на эпигастральной области. Не очень комфортно, короче. В феврале ребёнок принёс из садика какую-то заразу, которая быстренько скосила и меня.

Аппетит пропал полностью. Несколько дней питался бульоном, жиденьким супчиком и таблетками. Потом перешёл на воду, таблетки, которые уже ел горстями, и коньяк. Таблетки уже не действовали, а болело все. Убитая химиотерапией печень возмутилась и выдала мне желтизну в глазах и квас вместо мочи. Анемия была как после реанимации. С трудом дотянув до последнего приёма травматолога по месту жительства, я, созвонившись с врачом, отправился в уже ставшую родной клинику, где мне поставили токсический гепатит на фоне приёма НПВС. Как оказалось, мешать кеторол, анальгин, пенталгин и нурофен было плохой идеей (табличка сарказм). Плюс, как и у всех безжелудочников был дефицит витаминов В12 и В9. Неделю пролежал под капельницами, восполнили дефицит витаминов, подняли гемоглобин и я забегал как новый.

И тут меня обрадовали новостью о новой операции. В конце марта мне убрали все анастамозы и разделили спайки в кишечнике. 3-4 недели послеоперационного периода особо ничего не менялось, а к маю я начал замечать, что у еды вкус появился, причём он был таким сильным и ярким, что аппетит стал просто зверским. Приём пищи перестал причинять дискомфорт, демпинг-синдром больше не накрывал с такой силой. Максимум что случалось - учащение сердцебиения.

Стали появляться силы, стал ходить 7-9 км в день с собакеном и дочкой. Мне люди часто говорили, что были бы кости, а мышцы нарастут, да и здесь многие писали это. Так вот, мышцы растут. Прогулки и велосипед укрепили ноги, бицепс тоже появился, теперь без особых проблем поднимаю бутылку с водой 19 литров.

Кишечник, конечно, работает не как в молодости, вечерами частенько гоняет в туалет, но жить стало намного комфортнее по сравнению с тем, что было пол года назад.  Из лекарств принимаю только мелоксикам, да ито очень редко. Диету соблюдают, но могу позволить иногда и вкусняху типа шаурмы.

Последний анализ крови был неплохим, даже гемоглобин был в нижней границе. Онкомаркеры в пределах нормы, такчто можно сказать, что рак и его последствия я победил (тьфу 3 раза).  Если бы не дети и жена, которая делала каждый день перевязки, ставила уколы и подбадривала меня, кукуха точно бы улетела за этот год.

Летом планирую выйти на работу. И вы не болейте.

Показать полностью
996

Пикабу, пожалуйста, помоги (советом)

Пишу сюда уже с каким-то чувством отчаяния. Второй год мучаюсь с проблемой, которая летом становится более заметна. Может, сидящие здесь врачи направят куда-то. Или кто-то сталкивался с этим сам.


(Заранее прошу за качество некоторых фото, фоткала сама в попытке извернуться)


С предысторией


В 2020 году летом ехала на работу - у меня на глазах в руке от пальцев до локтя стали появляться кровавые точечки, под кожей. Вечером после работы заехала в больницу, развели руками. Ночью резко проснулась от чувства, что мне в спину кулаком вдарили. Вызвала скорую - не послушали, сказали, - идите грыжу ищите. Хотя боль при дыхании.


Чуть обалдела (скорее от грубости одного из врачей). Показала руку. Этот врач ничего не увидел. Молодой паренек, что был с ним увидел эти точки на моей руке. Но спорить со страшим товарищем не стал.


Грыжу искать не стала - умудрилась записаться платно на КТ. В "ударе кулаком" очаг пневмонии. Может, это неважно, но вдруг... Мазок из поликлиники отрицательный.


Вот рука на следующий день, точки - это не родинки и не веснушки, ближе к указательному пальцу более заметно, там три таких "точки" слились в одну

После излечения пневмонии - полезли разные штуки в здоровье , которые постепенно прошли усилиями разных врачей и вливанием денег.


Но не эта неизведанная хрень. С того дня любая небольшая нагрузка на кожу верхней части тела (скорее, спина и руки) - и у меня словно капилляры лопаются под кожей (наверное, так и есть?). Не болит, в синяки не переходит. Становится темнее и просто проходит, но летом это очень заметно, и нет небольшой защиты в виде толстой куртки...


Свитер с узором (это рука - локтевая складка)

Задремала на диване

Я уже прошла кучу терапевтов, сосудистого хирурга, гематолога, ревматолога, дерматологов...


Ела витамин C, цинк, какие-то таблетки желтые с содержанием телячьей крови (кажется, актовегин), аскорутин ела месяцами - лишь слегка приглушается, но не уходит эта ерунда...


По анализам после болезни некоторое время были немного повышены тромбоциты и моноциты, со временем пришли в норму, если это важно...


Пост без рейтинга от человека, который сидит с отпечатками от лямок рюкзака на плечах...

Показать полностью 3
1050

Вы меня ещё не похоронили?

Привет, пикабушники! Почти год меня не было с вами. Кто думал что я померла, рано радуетесь. Клешнявый покинул моё тело и больше не возвращался. Живу и в ус не дую. Хуй знает что значит эта фраза и зачем дуть в усы - в душе не ебу. Но короче, братишки, возвращаюсь к вам со своими писульками. Не буду пиздеть, что я по вам скучала. Да и вы думаю не особо грустили. Но отныне я снова буду мелькать в ваших лентах. Хотите вы этого или нет.

Че по новостям. Опухоль у меня в матке была. Миома злоебучая, как же она моей кровушки попила. Субмукозная дрянь. Вростала она значит в тело матки. Удалить хирургически её можно было только вместе с органом. В Казани мне предложили органосохраняющию операцию. Планировалось всё это сделать в два этапа. Сперва должны были убрать часть миомы, что не вростает в матку, а через месяц хотели сделать эмболизацию маточных артерий, чтобы остаток миомы не кровоснабжался и не прогрессировал.

День икс настал 20 апреля. Жду я значит в больничке своей очереди, меня оформляют и отправляют в палату. Потом ко мне подходит врач и заявляет, что произошла ошибка. Мол меня случайно записали по ОМС. А эта операция вообще-то платная и нужно отстегнуть в кассу 18800р. Знаете, я достаточно в жизни перенесла операций и всякого повидала, но бля, этот случай однозначно попадает в топ самых странных, самых быстрых и самых дорогих операций моей жизни. Согласна, такой себе рейтинг и хвастаться тут нечем. Но что есть, то есть. Меня даже от рака лечили бесплатно и грудь бесплатно делали. Дважды. Я получала дорогущее лечение в Москве бесплатно... А тут с самого начала что-то пошло не по плану. Я конечно ахренела, но возражать человеку, которому я собираюсь вот вот доверить свое тело я не стала, а тянуть с операцией уже не могла. Хрен с ним. Оплатила сумму и меня стали готовить.

В палату завезли каталку: "Надевай чулки, снимай трусы, ложись." Не от врачей я мечтала услышать эту фразу, ох не от врачей. Легла я значит, меня накрыли зелёной простынью и повезли по длинному коридору в операционную. Всё как в фильмах: пациент видит только потолок с лампами и слышит шум металлических колёс и затуманенные голоса. Хотелось бы расписать как я покрылась холодным потом от страха. Но ничего такого не было. На удивление мне было очень спокойно. Видать привыкла уже к весёлым наркозам и морально была готова. Хотя когда врач в операционной спросила: "Как самочувствие?" Я ответила, что очкую. Видимо хотела, чтоб она меня как-то взбодрила. А она сказала: "Хочешь правду? Я сама очкую."😂 Ваще нормально. А можно я домой пойду?)) Она рассказала, что абсолютно перед каждой операцией боится и всегда идёт через страх и делает всё, что от нее зависит. И бояться это нормально. Ну короче адекватная баба оказалась. Ссать и делать это нормально. Не нормально ссать и не делать.

Ассистенты хотели воткнуть мне капельницу в левую. Я сказала что туда как бы нельзя, лимфоузлы удалены, давайте в правую. А у них там всё на левую сторону настроено. И пришлось им из-за этого немного покрутиться. Воткнули мне значит катетер и пустили по моим сожженным венам жгучий наркоз. В процессе стали расспрашивать где я делала грудь, кто меня оперировал, а потом я вдруг оказалась в своей палате и бурно признавалась всем в любви. Обожаю это ебанутое состояние после наркоза. И да, никакого света в конце туннеля там нет. Пиздеж это всё.

Через два часа я уже во всю гуляла по коридору. А на следующий день мне заявили: "Аскарова, готовься к выписке."  Вот тут я офигела: "Не поняла. Как так? Врач говорила 5-7 дней лежать." На что мне ответили: "Это если бесплатно, а платно у нас только сутки лежат." Ебануться девки гнутся. Иду я значит к врачу разбираться что за беспредел такой. А она достала свой телефон и стала показывать запись операции. Вот, говорит, твоя миома. А вот она уже лежит в тазике. А это твоя чистая матка. Я, грит, полностью тебе миому удалила и скорее даже второй этап не понадобится... Я от такого зрелища так обрадовалась, что забыла зачем пришла:
– А как такое возможно? Она ж вростала в матку.
– Ну кое-кто может и такое...
Врач отправила меня на УЗИ для контроля, которое почему-то показало наличие миомы и моя радость быстро улетучилась. Объяснили мне это тем, что на месте миомы могут быть сгустки и УЗИ видит его как миому. Короче решили подождать месячных и провериться после. А теперь пиздуй вон отсюдава, Аскарова. Время прибывания истекло.

В целом самочувствие было будто ничего и не было. Операция не полосная, во мне даже маленькой дырочки не сделали и даже не кололи антибиотики. Короче как-то лайтово всё прошло, по этому валяться там и правда не было смысла. Ну я собрала манатки и пошла странствовать.

Мне нужно было выждать время до результатов гистологии. Думаю меня поймут те, когда-либо сталкивался с онкологией. Онкофобия ебучая. Мысль о том что это может оказаться злокачественной хренью меня не покидала. Спустя две недели пришли хорошие результаты и я наконец-то выдохнула.

Осталось подождать месячных и сходить на УЗИ. Знаете, впервые за год они у меня длились всего 5 дней и без боли. Это просто фантастика. Обычно я на 10 дней выпадала из жизни и лежала в кровати, накидавшись кеторолом. А потом до следующего раза пила препараты железа, ибо гемоглобин падал в жопу. Я была такой слабой, что порой доходило до потери сознания.

Короче всего этого пиздеца больше не было. Настал момент долгожданного УЗИ. От его результатов зависела дальнейшая судьба моей писечки. Врач внимательно смотрела на монитор. Сравнивала с предыдущим узи и выдала: "Ювелирную работу тебе сделали. Ни намёка на образования. Матка как у девственницы. Ставь свечку своему врачу!"

Я уходила от нее, прыгая от счастья. Получается, что никакого второго этапа операции не будет и перекрывать мне просто нечего. Ничего не осталось. Всё чисто. И никаих 18 тыс. не жалко.

Это то что касается здоровья. О переменах в личной жизни расскажу в другой раз.

Вы меня ещё не похоронили?
Показать полностью 1
659

О генетике. Вводное

В двадцать лет после сотрясения мозга попала я на МРТ. Обследование врач попросил повторить с контрастирующим веществом. По завершению надо мной стояло много врачей (вообще эта сцена с моего ракурса была похожа на котов из мема "Наташа, мы все уронили") и один из них сказал замечательную фразу:

- Вы главное не пугайтесь, вы такая уникальная!

Пугаться я и не собиралась, вообще человек достаточно хладнокровный, но напряглась.

Оказалось,  что у меня редкое генетическое заболевание - туберозный склероз и одним из проявлений оного в моем случае аж пять опухолей в мозгу. В моем городе на тот момент об этом загадочном заболевании никто и не слышал, неврологи отфутболивали с фразой "опечатка". С информацией в интернете тоже было скудно,  а что было, то страшно и ко мне никакого отношения не имело. Если совсем кратко,  то при туберозном склерозе рандомно в органах образовываются доброкачественные опухоли, сосуды и прочее.

Я же по итогу просто мониторилась повторяя МРТ с определённой периодичностью, чтобы контролировать рост опухолей. Прошло 14 лет, не растут, никак не мешают и препараты принимать не нужно (тут я по праву считаю, что родилась в рубашке). Но эта зараза стала напоминать о себе с прошлого года. Весной опять оперировали, но другие новообразования.

Я что-то подустала быть "уникальной") Особенно сейчас, со свежим шрамом в 13 см на правом боку.

Показать полностью
565

Как я вылечился от описторхоза

Здравствуйте друзья, после многочисленных просьб я таки решился рассказать еще об одном непростом этапе моей жизни. Описторхоз тяжело выявить и не менее сложно его победить. Потому расскажу свою историю.

Если вам данная тема не актуальна то проходите мимо, история действительно не из приятных. Тоже самое касается граммар-наци, эта история не для вас, проходите мимо.

Действия начались в городе Кемерово. Примерно в 2010 году у меня начались проблемы с ЖКТ. Я ходил по врачам, проходил различные обследования, мне назначили лечение от гастрита и ЖКБ(обнаружили песок в печени). Данное лечение не давало никаких результатов. А меня беспокоили постоянные боли и нарушение работы ЖКТ. Позже меня направили на  дуоденальное зондирование.

Дуоденальное зондирование делали, по старой методике, с самостоятельным проглатыванием зонда с оливой на конце(Эту экзекуцию я никогда не забуду). Желчь шла очень плохо и продуктов жизнедеятельности описторхов в ней не обнаружили. Годами я пил лекарства и питался пищей по диете стол №5П. На мой вопрос: "Почему не помогает?" врачи разводили руками.

Через год я полетел в Таиланд. И там на удивление от местной пищи мне стало легче. Так же я купил там местное лекарство для лечения ЖКТ. Лекарство называлось "Камин Чан"(как я потом выяснил в капсулах была куркума). По возвращению с поездки на всякий случай я выпил одну таблетку Немозола (думал, мало ли что я мог там подхватить, плющило меня в тот вечер знатно). Далее на протяжении 2 месяцев я пил Камин Чан по инструкции. И мне полегчало. Через 2 месяца я мог есть пельмени! Но к сожалению моя радостная жизнь продолжалась не долго.

В марте(видимо пришла весна и они начали проявлять активность) мне опять стало плохо и симптомы постепенно начали нарастать, но на этот раз живот болел не так сильно как раньше. Вновь принятие лекарств, диета. Веру во врачей к тому времени я уже потерял.

Через год я переехал в Новосибирск и еще какое то время держался на диете и ферментах. Но как-то на утро после командировки живот заболел так сильно что пришлось вызывать скорую.

В больнице меня обследовали и поставили неуточненный диагноз пищевое отравление (дуоденальное зондирование мне никто не делал). Так и отправили домой. После этого случая меня начали беспокоить печеночные колики. Это был просто ад. 

В городской поликлинике к гастроэнтерологу было не пробиться и мне пришлось обратиться в

частную клинику (думал ну мало ли, может здесь лучше будет). О том, что такое частная медицина я тогда не особо понимал(там деньги зарабатывают, а не людей лечат, но к счастью бывают исключения). Раскрутили меня тогда знатно. Тянули из меня деньги на различные обследования и консультации специалистов почти год. Но дуоденальное зондирование почему-то не назначали.

На очередном узи органов брюшной полости УЗИст сказал мне; "У Вас печеночный паразит!" Я незамедлительно сообщил это своему гастроэнтерологу, но она сделала вид что этого не может быть и это какой то бред и продолжила меня лечить от жирового гепатоза печени! Но я тут же начал рыть в чем может быть дело и понял что мне нужно обследоваться на описторхоз более тщательно. Кал на паразитов я сдавал множество раз и понял что мне вновь нужно сделать дуоденальное зондирование. Переступая через себя я записался.

Как оказалось в Новосибирске дуоденальное зондирование делают иначе чем в Кемерово. Выполняют промывание минеральной водой, заливают сорбит или магнезию(зависит от методики), кроме того используют одноразовые зонды! Из меня вымыли огромное количество взвеси. После зондирования сразу стало легче, а результат обследования показал наличие яиц описторхов!

Вы бы видели грустные глаза моего гастроэнтеролога из частной клиники, когда она выписывала направление в инфекционную больницу.

Я думал ну теперь то я наконец вылечусь и заживу счастливой жизнью как нормальные люди(как я ошибался!).

На протяжении полугода я не мог попасть в инфекционную больницу. У них то одно, то другое, то третье. Мест нет! Описторхоз не такое опасное заболевание, может подождать!

Через полгода я надавил на терапевта в поликлинике и получил направление в другую больницу(гастроэнтерологическую) где тоже лечат описторхоз. В больнице меня неплохо подлечили на дневном стационаре и пролечили от описторхоза Празиквантелом(бильтрицид).


Лечение:

Лечили в ночь

Вес 56кг

6 таблеток Празиквантела  (2 таблетки в 3 приема через каждые 2 часа)

Утром тюбаж с магнезией(полная фигня, по возможности делайте всегда дуоденальное зондирование).

Через сутки отпустили домой с назначением делать тюбажи дома.

Так же назначили принимать неделю Экорсол(невыносимо горькая дрянь, от него только хуже было, но честно пропил неделю).


Никому не порекомендую так лечится.


Такой жести я не испытывал еще никогда. Последствия приема бильтрицида сказались на мне не сразу, только а через пару дней. Я чувствовал себя разбитым, как будто с высоты упал. Не мог пройти 2 км от остановки до дома. Более-менее пришел в себя только через месяц. Но при этом в течении нескольких дней после больницы тяжесть в правом боку спала на пару дней. После все симптомы вновь начали возвращаться.

Далее по лечению требовалось делать тюбажи. Так как тюбажи мне не помогают я на начал ходить на зондирования(схему восстановления оттока желчи распишу позже, на данном этапе не вижу смысла). Все зондирования не показали наличие трупов описторхов и продуктов их жизнедеятельности.

Отмечу что после курса зондирований самочувствие мое улучшилось, но спустя месяц самочувствие опять начало ухудшаться, что касается питания, я так же сидел на диете стол№5П, другую пищу принимать не мог.

Спустя полгода после лечения я пошел на контрольное дуоденальное зондирование. Результат опаять показал наличие яиц описторхов.

К этому моменту я уже нашел про описторхоз очень много информации. И для себя решил что я больше никогда не буду принимать бильтрицид. Через месяц после приема лекарства АЛТ, АСТ были в на уровне 450-500 единиц. Очень тяжело переносится лекарство. А результат так себе. Знаю много недолеченных.

В результате моих поисков в интернете я узнал что существует препарат Лезаксис(LESAXYS). Я нашел где его можно купить и нашел дозировку. Так как этот препарат не зарегистрирован на территории РФ, то так просто мне его назначить врач не мог(не имеет права по регламенту). Я нашел врача который согласился лечить меня Лезаксисом (кстати в это время Празиквантел отсутсвовал в аптеках, были сложности с перерегистрацией препарата).

Инструкция была полностью на вьетнамском языке. Но продавец приложил схему дозировки препарата. Врач принял решение: "За сутки до приема препарата исключить все другие лекарства, чтобы исключить воздействие лекарственных препаратов".


Итак лечение:
1. Желчегонные препараты 2 недели.
2. Прием Лезаксис в 2 приема с промежутком в 12 часов.
3. Утром делаем дуоденальное промывание(оно же зондирование с минеральной водой) и вымываем мертвых описторхов(Если нет возможности зондироваться делаем тюбаж).
Следующий этап очень важный им нельзя пренебрегать.
4. Проходим курс дуоденального промывания(при невозможности делаем тюбажи):
-Первый месяц после лечения 1 раз в неделю.
-Второй месяц раз в 2 недели.
-Далее раз в 2 недели до чистой желчи.
На протяжении всего курса лечения прием одного из препаратов содержащих в своем составе урсодезоксихолевую кислоту(хорошо разжижает желчь).
После лечения восстановление кишечника, прием витаминов.
Как я вылечился от описторхоза

Лечение перенес я довольно легко. Препарат принимал дома. Лекарство оказало на меня довольно странное воздействие. Каждый раз, через 3 часа после приема возникало чувство тревожности и все раздражало(но я справился с собой и не трогал домочадцев, только попросил чтобы меня не трогали).

На утро я пошел на дуоденальное зондирование и из меня наконец вымыли мертвых описторхов! Далее был долгий путь промывания печени, но боли прошли и печеночные колики закончились!

После данного лечения описторхи в зондировании большее не попадались уже на протяжении 5 лет, хотя я подозревал, так как оставался дискомфорт в правом подреберье и я не мог есть все что хочу. Как далее выяснилось, в больнице я еще подхватил лямблиоз + был бактериальных холангит и только после победы над этими недугами я вновь почувствовал себя человеком и слез с лекарств.

По данной схеме так же вылечились от описторхоза моя жена и моя мама. Схема рабочая. Им потребовался 1 курс лечения Лезаксисом.


Мои советы если вы подозреваете что у Вас описторхоз:
1.Дигностика - только дуоденальное зондирование, остальные методы малоэффективны!
2.Если в вашем городе умеют делать дуоденальное промывание то - Не жалейте денег! Эта процедура очень важна для излечения.
3.Боритесь! Не опускайте руки! У Вас все получится!
Показать полностью 1
Отличная работа, все прочитано!