Повреждение неба у девушки спермой кальмара
21-летняя девушка испытала острую, сильную боль во рту сразу после употребления сырого кальмара. Она проконсультировалась в отделении отоларингологии нашей больницы. Клиническое обследование показало, что несколько белесых фиброзных инородных тел прилипли к слизистой оболочке ее твердого неба Фото 1.
Figure. 1. Несколько белесых фиброзных инородных тел (стрелка) прилипли к слизистой оболочке твердого неба пациентки.
Была проведена биопсия твердого неба. Пациентка принесла оставшуюся часть сырого кальмара, включая его внутренние органы, и было проведено гистологическое исследование этого образца. После удаления всех объектов и введения антибиотиков боль уменьшилась, а раны со временем зажили.
Образцы, полученные из полости рта, фиксировали в формалине, обработали раствором спирта и ксилола и залили в парафин. Парафиновые срезы каждого образца окрашивали гематоксилином и эозином (HE) для гистологического исследования.
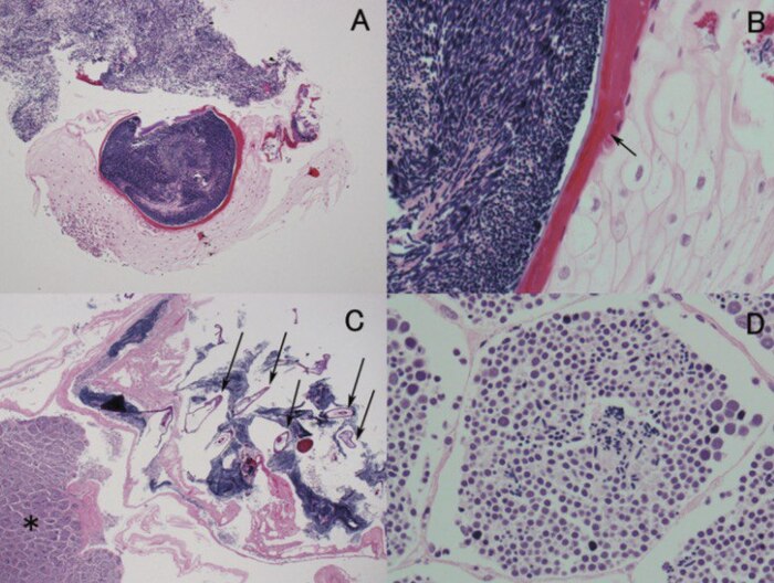
Окрашивание биоптатов слизистой оболочки твердого неба показало, что сперматозоидные мешочки кальмара, содержащие многочисленные сперматозоиды, проникли в плоский эпителий полости рта пациентки Фото 2. На основании гистологических данных мы подтвердили, что оставшаяся часть сырого кальмара состояла из семенника и мешочков со спермой Фото 2.
Figure. 2 (а, б) Сперматозоидный мешок кальмара, содержащий многочисленные сперматозоиды, проникающие в плоский эпителий полости рта пациента (окрашивание HE; первоначальное увеличение, a: ≈100, b: ≈600). Стрелка на В указывает на цементное тело мешочка для сперматозоидов, внедрившегося в слизистую оболочку полости рта. (c) оставшуюся часть сырого кальмара. Помечены тестикулы кальмара (звездочка) и мешок со спермой (стрелка). (d) тестикулы кальмара (окрашивание HE, 600).
О жжении в полости рта, вызванном проглатыванием мешочков со спермой кальмара, сообщалось редко, хотя на самом деле такие случаи могут быть достаточно распространёнными. Первый случай был зарегистрирован в 1980-х годах. Насколько нам известно, на сегодняшний день в литературе зарегистрировано около 15 случаев.
Кальмар, относящийся к классу головоногих моллюсков, обладает уникальной репродуктивной системой, использующей мешок для спермы Фото3.
Figure 3. Микрофотография мешочка со спермой (окрашивание HE, х200) и принципиальная схема мешочка со спермой кальмара. Эякуляторный аппарат напоминает пружину. Цементное тело представляет собой эозинофильный материал.
Например, японский летучий кальмар (Todarodes pacifi- cus) является одним из самых популярных сырых морепродуктов, потребляемых в Японии. Одна из щупалец зрелого самца Todarodes pacificus — «гектокотилизированная рука» — служит половым органом животного. Используя эту «руку», кальмар хватает мешок со спермой, который выходит из его пениса, и прижимает его к телу самки. Впоследствии эякуляторный аппарат высвобождает массу сперматозоидов и цементное тело из сперматозоидного мешка, а затем они прикрепляются к самке.
Употребление кальмара с мешочками для спермы и активным аппаратом для эякуляции может привести к непреднамеренному выбросу мешочка для спермы и повреждению слизистой оболочки полости рта. Выброс сперматозоидов из мешка - очень быстрый и мощный процесс; фактически, в одном из описанных случае мешок со сперматозоидами добрался до слизистой оболочки желудка.
Травмы от мешка со сперматозоидами могут проявляться в двух клинических формах. В одной форме, как видно из этого случая, пациент съедает внутренние органы сырого кальмара. В другой форме, описанной Цуцуми, пациент ест сашими из сырого кальмара, носящего неактивированный мешок с сперматозоидами. В первом случае на слизистую оболочку полости рта выделяется множество пакетиков сперматозоидов, в то время как во втором случае наблюдается только один пакетик сперматозоидов.
В Японии употребление различных видов сырых морепродуктов является обычной практикой и, судя по опыту, люди удаляют пакетики со спермой из кальмара при приготовлении сашими. Хотя Япония имеет долгую историю потребления сырых кальмаров, на сегодняшний день зарегистрировано очень мало случаев жжения в полости рта из- за повреждения репродуктивной системой кальмара. Однако в последнее время число таких случаев, по-видимому, увеличилось. Это увеличение можно объяснить
совершенствованием методов разведения и транспортировки кальмаров, а также увеличением доступности сырых кальмаров во всех частях мира. Поэтому врачам, которые сталкиваются с пациентами с внезапной болью в полости рта после употребления сырых морепродуктов, следует учитывать возможность жжения, вызванного употреблением мешочков со спермой кальмаров.
Перевёл и опубликовал: Немедицина





