Сообщество - Все о медицине

Все о медицине

13 960 постов 41 613 подписчиков

Популярные теги в сообществе:

96

Про бляшки и сосуды1

Про бляшки и сосуды

Речь, конечно, о бляшке в сонных артериях, которую находят на УЗИ брахиоцефальных артерий (те, что в шее). Невролог направил на исследование, оценил результат (бляшка 30% всего, "ни о чем"). И на этом пациенты часто успокаиваются и к кардиологу даже не заходят. Ну и зря.

Во-первых, не только размер имеет значение. Даже в небольшой бляшке может развиться воспаление со всеми вытекающими последствиями: тромб - инсульт.

Во-вторых, бляшка уже есть. Атеросклероз - это системный процесс. Значит, такие бляшки, скорее всего, есть и в сосудах сердца, и в артериях нижних конечностях, и в артериях всяких интимных не будем упоминать к ночи ближе.

В третьих, почему эта бляшка образовалась? Не только от того, что у вас холестерин повышен. Это было бы слишком просто. В вашем организме, возможно, происходит еще много интересного: эндотелиальная дисфункция, системное воспаление, гипертония, которую вы не ощущаете, нарушения обмена глюкозы. Это лучше выявить и остановить, пока не появились неприятные последствия типа инфаркта, инсульта, сахарного диабета, импотенции, ой, ну, я же не хотела запугивать.

Самое главное: на этом этапе это остановить еще несложно. И не понадобится больших усилий от вас, как от пациента. Всего лишь прийти на приём к кардиологу.

Что делает кардиолог, когда видит бляшку?
Нет, он не чистит сосуды. Он определяет ваш индивидуальный риск. Не одним только проницательным взглядом. Ему могут понадобиться дополнительные исследования (но там не больно и не страшно).

В соответствии с этим риском он и будет вас вести дальше: назначать или нет вам статины, а если да, то в какой дозе.
Шок: мы не всем пациентам с повышенным холестерином назначаем статины! И вообще, мы очень любим начинать с образа жизни. Но только если вы пришли вовремя, а не откладывали до последнего.

Хотите пить меньше таблеток в будущем- зайдите к кардиологу, уточните свой сердечно-сосудистый риск. Не бойтесь. Всё будет хорошо.

Показать полностью 1
309

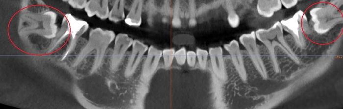
Сага о стоматологии. Глава 37. Можно ли удалить сразу все зубы мудрости за один раз?

Для ЛЛ: можно, но не всем и не всегда.

Предыдущие 32 и 33 главы вызвали ажиотаж и меня прям закидали вопросами, касаемо зубов мудрости.

Сага о стоматологии. Глава 32. Нужно ли удалять зубы мудрости?

Сага о стоматологии. Глава 33. Как удаляют зубы мудрости?

Разумеется топ-1 уверенно держит вопрос- а можно ли удалить все зубы мудрости разом за один присест? Вопрос этот абсолютно адекватный, так как у кого-то нет времени, а у кого-то желания ходить и поэтапно это все делать, кто-то не хочет несколько раз пить препараты.

Разумеется технически удалить можно, но так как ты это делаешь не себе, нужно учитывать еще и особенности пациента.

Сразу скажу! Так лучше не делать, ибо несколько простых операций несёт в себе меньше рисков осложнений, чем одно, но сложная. Да, пациент тебя может умолять сэкономить его время, коллектор с паяльником стимулировать тебя быстрее заработать, а собственная самооценка заставить выкладывать такие случаи в группы стоматологов в соцсетях, дабы все увидели какой ты крутой... но лучше не торопиться.

Давайте всё-таки разбираться, когда и с кем это можно провернуть.

1) Пациент имеет кучу сопутствующих заболеваний из-за чего мы это делаем в стационаре или в клинике с седацией, наркозом и палатой интенсивной терапии. Причем делаем ещё много что. Тут чем больше сделаем за раз, тем лучше. Операция и ранний послеоперационный период будет происходить под неустанным надзором анестезиологов и лечащих и дежурных врачей, которые в случае чего купируют осложнение. Наркоз- штука небезопасная. Сегодня не об этом, напишу позже. Делать наркоз тупо ради удаления восьмерок не имея на то веских причин- варварство. Например, у меня был пациент с 4 очень сложными восьмерками, который работает в цирке воздушным гимнастом. График работы ненормированный, отпуска для поэтапного удаления не хватит, а с зубами вопрос решать надо. Направили в стационар на плановую госпитализацию в челюстно-лицевую хирургию.

2) У пациента относительно несложные зубы, он стойко переносит любое лечение, здоров как конь, может в ближайшее время оказаться без качественной и своевременной стоматологической помощи( армия, вахта) и, самое главное, что он крайне лоялен, осознаёт риски и не будет в случае чего бузить.

Все! Больше причин так поступать нет! После удаления могут быть такие осложнения, как кровотечение, нагноение, альвеолит Сага о стоматологии. Глава 24. Что делать если сильно болит челюсть после удаления зуба? Как лечить альвеолит лунки? и прочее. Тем более удаление зуба- хоть и маленькая, но операция, а после любой операции в нас имеет место отек, боль, гематома, температура и прочие прелести послеоперационного периода.

Сага о стоматологии. Глава 14. Заживление после удаления зуба

Кому из вас выпиливали хоть одну сложную восьмерку? Как потом себя чувствовали? А теперь умножаем тяжесть этого состояния на 4. Представили? Кровило ли у кого-то ночью после удаления? А теперь представляем, что кровит сразу в 4 местах. Ну вы поняли…

Это, кстати, относится к остальным зубам тоже, поэтому удалять лучше зубы либо в пределах одного сегмента, либо с одной стороны, чтобы пациентку хотя бы было, где жевать. За редкими исключениями.

Ясное дело, что разом все восьмерки, которые полностью лежат в кости, я не взялся бы удалять в амбулаторных условиях сразу даже себе, так как риск осложнений крайне высок, а пациент потом на утро проклянет весь твой род до пятого колена, так как потом будет ПИСЕЦ КАК ПЛОХО. Как вот тут.

Как же всё-таки быть в такой ситуации?

Во-первых, ещё раз смотрим на пациента, если он не внушает доверия и готовности перенести последующие мучения, то оказываем, пока ещё это можно на берегу.

Если это человек с системными заболеваниями внутренних органов( сердце, печень, почки, центральная нервная система и т.д.)-нафиг. Если это барышня репродуктивного возраста и у неё менструация- сразу нафиг, так как в этот период свертываемость крови снижается. Пусть приходит через недельку-другую. Если это человек старше 50-нафиг. Если много лишнего веса-нафиг. Если дитё до 18 лет-нафиг. Если сидит на кроворазжидающих-нафиг, гипертоник-нафиг. Не выспался, не поел перед приемом, находится в тяжелом эмоциональном напряжении-нафиг. Если это сентиментальный и плаксивый юнец, который обмочил уже тебе кресло-нафиг. Если у пациента нет уважительной причины удалить всё сразу- нафиг. Если у тебя срабатывает чуйка(которая есть у каждого врача и часто спасает ему жопу), что ИМЕННО ЭТОМУ товарищу лучше не надо сразу всё удалять- туда же. Короче, удалять или нет решаешь только ты, так как за пациента отвечаешь только ты, а не сам пациент или менеджер по продажам твоей сетевой клиники. Если твоей жопе спокойнее будет сделать всё поэтапно, то делай поэтапно, и пациент должен это понять. Если не понимает-...ну ты понял куда его. И т.д.

Короче, отбираем как космонавтов!

Даже если он слезно умоляет и за него ручается его батя\брат\сват\сутенер(нужное подчеркнуть), который является твоим лучшим другом. Никогда не обещаем 100% удалить всё за раз! Всегда говорим, что всё зависит от того, как пойдет процесс. Также, обговариваем все риски и последствия, чтобы не было неоправданных ожиданий. В противном тебя ждет либо вызов скорой помощи на приеме, либо потом звонок посреди ночи и фраза: "ДОКТОРУМИНЯКРОВИТБОЛИТПАМИРАЮ!!!!!!1111". А потом придет на утро злой батя этой милой девчушки, которая на коленях умоляла тебя удалить всё за раз, чтобы побыстрее фиксировать брекеты, и скажет: "МОЕЙДЕВОЧКЕПЛОХАРАСПУХЛОЛИЦОТЫГАВНОАНЕДОКТОР!!111"

Во-вторых, если всё-таки взялся за это варварство, то сначала начинай делать анестезию с одной стороны( или с верхней челюсти, так как она попроще в плане анестезии), только потом идем на другую сторону (или вниз). Если пациента плохо берет анестезия, то говорим, что сразу все 4 удалить сегодня не судьба. Максимум, удаляем верх и низ с одной стороны. Сразу всё не обдалбывать, так как если закопаешься в одном месте, то в другом может анестезия уже проходить и придется добавлять. Передоз анестетика тоже не вариант. Для взрослого человека-это 1 карпула( 4% артикаин) на 10 кг веса. Учитываем, что в анестетике есть ещё и вазоконстриктор, который также влияет на общее состоянии пациента.

В-третьих, контролируем ситуацию. Если пациент выглядит не очень хорошо после 1-2 удалений, то лучше в этом акте BDSM произнести стоп-слово(несмотря на то, что ты сверху): "На сегодня хватит, приходите через недельку-другую". И это будет правильным, так как после 1-2 удалений ожидания пациента также могут не совпасть с реальностью. Если пациент склонен сильно кровить, то тоже говорим стоп после 1-2 удалений, так как он потом может обильно закровить ночью.

В-четвертых, после сложных удалений лучше класть либо тромбоцитарную массу, либо гемостатические губки, а также ушивать потуже, так как существует предание, что это снижает риск ночных звонков многократно.

В-пятых, назначаем антибиотики, даже если удаления прошли относительно быстро и малоинвазивно. С одной дыркой, как уже говорили ранее, организму справиться проще, чем с четырьмя, а рот-это самое грязное место у человека, и триста видов различных и злых микроорганизмов могут передавить местный иммунитет.

Сага о стоматологии. Глава 12. Применение антибиотиков в стоматологии

В-шестых. так как мы конкретно подырявили человека и любое повреждение тканей приведет к воспалению и отеку, то лучше ужалить пациента 4-8 мг. дексаметазона внутрижопномышечно. Также назначаем антигистаминный(противоаллергический) препарат, который также приводит к снижению отека. Пить и колоть это всё надо в первые 3 дня, так как в это время отек именно нарастает. После того как он уже вырос, смысла колоть пациенту жопу и кормить таблетками уже нет.

В-седьмых, ограничения более строгие. Вместо 2 дней ограничиваем все "блага" на 5-7 дней.

Сага о стоматологии. Глава 10. Рекомендации после удаления зуба

В-восьмых, всегда давать пациенту своё номер телефона после такого экстрима. Если ты работаешь в говноклинике с ушлыми коммерсами, которые ссут, что ты уведешь клиентуру и запрещают давать номер, то работаем более предсказуемо, то есть 1-2 зуба за раз. С пациентом после тяжелых операций надо быть на связи 24\7. И лучше работать в нормальной клинике.

Тут многие коллеги взвоют и скажут: «Да ты че!? Твой номер пойдёт по рукам и трубка будет разрываться по любому поводу от сотен пациентов! Не надо так!»

Я отвечу, есть такой момент, особенно, когда ты становишься более опытным и известным. Заводим отдельный номер, либо пользуемся услугами колл-центра. Я нашёл компромиссный вариант- ЛС в телеграме. И овцы сыты, и волки целы!

Теперь рассмотрим один из примеров. Вчера это был крепкий 18-летний парень, сын медсестры, он абсолютно здоров и готовится к службе в армии, куда уезжает через недели 3. Но вот беда, начали резаться зубы мудрости, а пользоваться потом услугами военной карательной стоматологией где-то у черта на рогах желания нет. Он стойко переносит все тяготы службы и лишения военной службы любого лечения, да и в случае чего мама ужалит дома необходимым препаратом.

Его восьмерки лежали под десной, но кость пилить не приходилось, поэтому удаление всех четырех зубов прошло за минут 30

Положили тромбоцитарную массу, ушили, дали рекомендации, отпустили.

Если вы тут недавно, то читаем предыдущие главы, уверен, много нового для себя узнаете.

Если есть какие-то вопросы, то смело задавайте в комментариях. Если что-то персональное, то пишите в ЛС в телеграм https://t.me/vadbel1310, отвечу всем. Консультация БЕСПЛАТНАЯ, мне не жалко.

Так как вас становится больше, а времени у меня меньше, то пишите СРАЗУ ПО ДЕЛУ! Не надо всяких- а можно вопрос, удобно ли вам и т.д. Пишем так: Здравствуйте, меня зовут ...., я с Пикабу. Из такого-то города( это важно чтобы смог сразу найти того, к кому можно будет вас направить, если что). У меня такая ситуация\вопрос.... что, где, когда. Если есть снимок, то сразу скидываем, если их много, то пишем какие, как давно делали. Если КТ, то пишем, ЕСТЬ КТ от такого-то числа. Пишите, пожалуйста, текстом, так как мне проще читать. Отвечать буду голосовыми, так как строчить ответ десяткам людей в день достаточно тяжело. Без обид, я стараюсь помочь всем.

Если не отвечаю, то могу быть загружен, позже на пишу. Если вдруг забыл про вас, не стесняемся, через день другой напоминаем. Живу в очень интенсивном ритме.

Если вдруг кому удобнее читать всё это в телеграме, то у меня есть паблик https://t.me/vadbel1310public Там дублируются все посты. Я там выкладываю аудиоподкасты, которые удобно слушать в авто. Ни разу не настаиваю на этом! Колхоз-дело добровольное!

Показать полностью 4
179

Ответ в «Как учатся студенты-медики»

Я поступил в 1997. На курс набрали человек 150, на педфак 180. Закончили 6 курс- лечебники человек 110. Педиаторов человек 80. Вылетели как мухи. Но кто хотел учится, тому препятствий не было. При этом многие, особенно, общаговские бухали. Некоторые участвовали в соревнованиях. Была неплохая команда КВН. Личная жизнь била ключём.
После окончания универа, став уже авторитетным врачём и поездив по регионам нашей родины понял, что моя Альма Матер давала одно из лучших медицинских образований в РФ. Многие мои однокашники не затерялись, работают врачами и заведующими, причем во многих регионах, включая москву, Сочи и тд.
Кому интересно, закончил ДВГМУ.

61

Система здравоохранения Чили - от цен Рязани до цен Майями

На данный момент система система здравоохранения и медицинского страхования Чили максимально схожа с моделью США с её частной и государственной моделями финансирования медицинских услуг. За исключением разве что отсутствия в Чили сколько-нибудь значимых частных фондов, покрывающих медицинские расходы населения в случаях его низких доходов или слишком высокой стоимости тех или иных операций, лекарств, которые не могут быть профинансированы страховой компанией и тем более пациентом - частным лицом (не секрет, что существуют лекарства и технологии, стоимость которых превышает несколько миллионов долларов США). В Чили роль таких фондов чаще всего берет на себя само государство, по крайней мере после последней социальной революции 2019 года.

Чили была одной из первых латиноамериканских стран, внедривших всеобщее здравоохранение за счет вычетов заработной платы. В 1950-х годах Чили запустила национальную систему здравоохранения FONASA. Однако в качестве всеобщей система здравоохранения просуществовала не долго. В период военной диктатуры Пиночета развивалась двухуровневая система, больше ориентированная на частный сектор. Инвестиции в государственную медицинскую систему, как и финансирование со стороны государства бесплатной медицины было сведено к минимуму. Почти вся сфера медицины перешла за период правления диктатуры в частные руки. Стараниями диктатора и приближенных к нему олигархов - для большинства населения получение качественных медицинских услуг было априори невозможно, как и перекрыты пути, чтобы выбраться из нищеты - ведь в образовании происходили абсолютно схожие процессы.

После ухода диктатора, резкого социально-политического разворота страны, ситуация не изменилась молниеносно, так как Чили не прошла процедуры "люстрации", фактически оставив элиты неизменными, то есть в стране продолжили и продолжают по сей день владеть большинством активов "друзья", "коллеги", "партнеры" того самого Пиночета. Это осложняет процессы социализации государства и создания для людей возможностей выбраться из бедности. Тем не менее ключевые изменения уже к 1995 году были произведены и в том числе под давлением международного сообщества в стране были произведены серьезные социальные преобразования, значительно расширено бесплатное медицинское страхование, доступность бесплатного образования.

Сегодня в Чили граждане и любые лица официально проживающие в Чили (по ВНЖ - visa temporaria или ПМЖ - visa difinitiva) могут выбирать между государственным и частным здравоохранением. При определенном уровне дохода бесплатная медицинская система страхования FONASA перестаёт быть выгодной и граждане в общем-то сами переходят в сектор частного медицинского страхования.

Частная медицинская система страхования, более известная как Instituciones de Salud Previsional или ISAPRE представлена 9 основными компаниями. Существуют также дополнительные специальные программы страхования, предназначенные для определенных секторов. Наиболее распространенным примером является программа, предназначенная для военнослужащих.

Система здравоохранения Чили признана одной из самых эффективный в мире. Работники медицины являются одним из самых уважаемых людей в Чили и совершенно точно одним из сильнейших коммьюнити с крупными доходами, зарплатами (при средней зарплате в Сантьяго равной 1200 USD, медики даже с относительно не большим опытом зарабатывают от 4000 USD) и очень сильным политическим влиянием. Именно медики пролоббировали ещё во времена диктатуры и настояли на максимальной доступности чистой питьевой воды, как основы для улучшения качества жизни граждан. Соответственно, не смотря на климат, количество инфекционных и детские заболеваний значительно сократилось.

Кроме того, система общественного здравоохранения также предусматривает обязательное общественное здравоохранение. К ним относятся такие программы, как иммунизация и программы питания.

Однако сохраняются и значительные проблемы в доступности качественного здравоохранения в Чили, так как примерно 3,5% страны живет в крайней нищете. Социальное неравенство приводит к неравному доступу к здравоохранению.

Стоимость медицинских услуг и лекарств.

Основной блок медицинских услуг по ценовым диапазонам не сильно отличается от госпиталя к госпиталю, особенно в части амбулаторного типа оказания помощи пациентам. Однако значительно отличаются при госпитализации. Например, одной из самых серьёзных разниц являются направления кардиохирургии, нейрохирургии и акушерства (роды в Чили). Цена в госпиталях может отличаться до четырехкратного размера. Например роды в Чили в госпитале Bicentenario обойдутся в 2000 USD, а вот родить ребенка в клинике Алемана (Clinica Alemana) обойдётся в сумму не менее 9000 USD.

Стоимость лекарств в Чили является достаточно высокой, выше среднемирового уровня при том что ассортимент не является идеальным и доступен лишь в строго-ограниченных рамках. Также широко распространены и ограничения в продаже лекарств без рецептов. Без назначения врачей с электронным подтверждением доступны далеко не все привычные виды лекарств.

Оплата труда медикам.

Уровень окладов и заработка врачей в Чили является достаточно высоким. В среднем врач-хирург с опытом работы 10 лет в Чили зарабатывает около 8000 USD/мес, что для данного региона является очень высоким уровнем оплаты труда. Типичный врач в Чили - это человек с несколькими квартирами, загородным домом или квартирой у океана, хорошим автомобилем, ежедневно посещающий рестораны, частый визитёр закрытых гольф-клубов (у них имеется проход в рамках своего медицинского коммьюнити). Типичная квартира медика в Чили обычно не хуже, чем примерно вот такая (фото квартиры одного знакомого врача):

Система вознаграждения медиков очень напоминает США за некоторыми отличиями. В Чили врач может выбирать между тем, находится ему в штате госпиталя или быть свободным специалистом, аккредитованным для работы в данном (а возможно и других) госпиталях. Если специалист выбирает второй вариант, то он является фактически индивидуальным предпринимателем, который сотрудничает с госпиталем, берет на себя исполнение всех требований по страхованию своей деятельности и так далее. С точки зрения налогообложения такой подход определённо для медиков является намного выгоднее, чем пребывание в штате, хотя и имеет свои минусы такие как чуть меньший потенциал для роста и развития в своей специализации. Однако последнее может возмещаться медиком за счёт самостоятельного разрешения данных вопросов и участие в исследованиях скажем в одном из медицинских ВУЗов Чили или других стран. Также при работе медика, как независимого специалиста - его заработки зависят от количества наработанного времени, проведенных операций и так далее и не является абсолютной цифрой зарплаты.

При оказании сложных медицинских услуг в Чили в счете всегда присутствуют 2 отдельных цены - стоимость использования медицинского учреждения и стоимость работы специалистов. Можно сказать, что если врач работает, как независимый специалист, то он получит большую часть из суммы, указанной, как оплата его услуг.

Затраты на систему здравоохранения.

По независимым оценкам до 5% семейного дохода граждан Чили идет на расходы в сфере здравоохранение. Система здравоохранения финансируется в основном за счет налогов на заработную плату и государственного финансирования. Налог направляемый из заработной платы на медицинское страхование составляет - 7%. Все управление и регулирование контролируются Министерством здравоохранения на федеральном уровне. Федеральная система отвечает за сбор и объединение средств и закупку оборудования и материалов.

Надо отметить, что страховка ISAPRE не покрывает на 100% стоимость "дополнительных" медицинских услуг и часто является даже менее выгодной, чем FONASA. Однако имеются и очевидные преимущества, например в части стоматологии, акушерства и гинекологии. Конечно же государственная медицинская страховка не даст Вам направления в действительно хорошие медицинские центры для оказания расширенного набора услуг в данных направлениях.

Если грубо, то государственная FONASA - это для критически необходимых медицинских услуг без права выбора лучших госпиталей, а частная ISAPRE - это для поддержания действительно высокого уровня жизни.

Средний взнос на ISAPRE составляет около 200 USD/мес на человека, соответственно на семью из 4 человек будет выходить тарифа в районе 800 USD/мес. Из позитивного - на эту сумму сокращается налоговая база, а потому при зарплате более 8000 USD/мес использование частной медицинской страховки становится более выгодной, чем государственной.

Различия между частной и государственной медицинской страховкой.

После 2020 года в виду массовых социально-ориентированных изменений в стране - разница между частной и государственной системой медицинского страхования сократилась до минимума. В принципе государственная медицинская страховка FONASA стала гарантировать практически весь перечень услуг и практически во всех госпиталях Чили. Одним из ключевых различий остались сроки ожидания и порядок согласования медицинских услуг, а также виды медицинских учреждений, в которые направляют своих клиентов по не критичным вопросам частные страховые компании и государственная фонаса. При этом для проведения сложных операционных вмешательств или для оказания экстренной помощи отличий для пациентов между FONASA и ISAPRE практически нет, кроме сроков согласования и ожидания.

Основные компании, предоставляющие услуги частного медицинского страхования по программе ISAPRES:

1) https://tuplanbanmedica.cl

2) https://www.somosesencial.cl

3) https://www.colmena.cl

4) https://www.consalud.cl

5) https://www.cruzblanca.cl

6) https://www.vidatres.cl

7) https://www.nuevamasvida.cl

8) https://www.isapredecodelco.cl

Показать полностью 8
14

Возможно ли заразиться болезнью Крейтцфельдта-Якоба?

Некоторое время назад попалось упоминание поста пикабушника @GSN1, о том что он подозревает у себя эту болезнь. В поисках информации о этом заболевании били найдены несколько однотипных статей и упоминание, что в РФ такой диагноз не ставят. Поэтому пишу тут в надежде найти понимающих людей. Есть какая-то неофициальная статистика по этой болезни, стоит ли еë вообще бояться? Лично меня больше всего нервирует вероятность заражения при поедании говядины как в Великобритании, но у нас ГЭ КРС так же официально не регистрировалась.

48

Ответ на пост «Как учатся студенты-медики»5

Первые три курса в универе заваливают знаниями, которые студент, который бывший школьник на секунду, не может "привязать" (ну или соотнести) к чему либо. Например, зачем изучать гисту и смотреть разные (особенно на внешний вид, ха-ха) ткани? Препод с умным видом вещает что мол "это лейкоциты в борьбе за правое дело, а это ткань мозжечка девственницы". А студент не понимает: ну да 50 оттенков фиолетового, а зачем мне это? А потом, спустя год студент приходит на патанатомию, а там "воспаление мозжечка девственницы". Но ессесно никто уже не помнит как выглядит мозжечок в оригинале, хотя и понимает, что та информация на гисте была важна, но она была полгода, год назад, и соответственно информация абсолютно не усваивается. Потому что заболевание, которое связано с подобной гистологической картиной студент обычно учит на 5-6 курсе, и хорошо если там вообще упомянут про гистологию. А потом вдруг оказывается, что на биохимии рассказывают о патпроцессе с точки зрения молекулярных взаимодействий. Та же история со всем остальным: анатомия и пат анатомия, нормальная и пат физиология, гиста, биология с паразитологией. И всё это часто с перерывами по одному году между порциями знаний. А еще я обожал внезапную пропедевтику внутренних болезней на втором курсе: когда преподу нужно рассказать о том, как смотреть пациента с заболеванием, но не называть само заболевание.

Как нам говорил наш препод по патанатомии: в России преподы в меде - это преподы узких специальностей, они обычно знаю за своё, а дальше не особо. На западе же препод обычно знает всё по полочкам от тканей и функций, до заболевания и нарушений. Не берусь судит, что это истина, но такой подход реально более адекватен, чем ежегодное вываливание материала, который студент должен типа сам связать воедино. Но опять же, как говорил препод, у нас в стране не принято такое и лабораторные крысы отдельно, а врачи-клиницисты (в красивых белых халатах) отдельно. Бесспорно, за время учёбы были преподаватели, которые могли начать рассказ с низов, про нормальную ткань, потом патологический процесс, про биохимию процесса и связать это с конкретным заболеванием. Но таких можно посчитать по пальцем одной руки.

В связи с этим у многих студентов, на фоне такого объёма несвязной информации, происходит какое-то выгорание, и к моменту начала клинических дисциплин все уже хотят быстрее закончить. Может конечно сейчас что поменялось, хоть я и выпустился в 20 году. Но зная наш минздрав, они скорее заставят студентов ходить на пары 24/7, чем попытаются структурировать.

PS: а еще больше я люблю бесполезный латинский язык как отдельный предмет. Все эти склонения, рода, окончания, названия цветочков и веществ. Который в реальной медицинской практике нужны примерно в 0% случаев. Даже тот же рецепт можно нынче писать на русском, да и в курсе фармы, так или иначе, кратко объясняются правила выписки рецептов и почему "дротаверине", превращается в "дротаверини". Вообще эта тема с латинским подавалась как "универсализация" врачебного языка для всех врачей мира. Вот только для ангоязычных это плюс минус тот же язык, а в России это больше похоже на понты типа "смотрите, я знаю все образования височной кости на латинском, юхху я супер первокурсник врач".

PS2: я учился имея уже фельдшерское образование и какой-никакой клинический опыт, для моих сокурсников же первые три года универа стали каким то испытанием. Те кто поумнее конечно позже всё поняли и смогли сориентироваться, но теперь, работая полноценно врачом, я вижу, что даже врачи выпускники советских времен знают медицину по вершкам.

Показать полностью
34

Ответ на пост «Как учатся студенты-медики»5

Привет с педфака РНИМУ)) закончила в 2015, в итоге педиатром проработала недолго, пошла в ординатуру по клд (сейчас ни капельки не жалею об этом).

Ответ на пост «Как учатся студенты-медики»

Мне на первых курсах было легко: я перед универом закончила мед.колледж на фельдшера-лаборанта, там были многие предметы, что и на первом/втором курсах (углубленная химия, биология с генетикой, анатомия, микробиология, гистология (прям в ПАО больничном занятия проходили), гигиена, и т.д.). Это мне прям очень помогало, т.к. некий базис уже был заложен. Конечно, в универе все предметы более углубленно изучались, чем в колледже. Учить приходилось много. Но было проще.

Работать я смогла, когда после универа в ночную смену, когда на сутки выходила. Потом просто на отработки приходила и все. Но на работе была возможность отдохнуть, когда не было срочных исследований, так что тут просто повезло.

А вообще конечно, несмотря на все "тяготы и лишения" - в основном положительные воспоминания остались: со многими сокурсниками общаемся, поддерживаем связь, группа получилась дружная и сплоченная, преподы попадались разные, но в основном хорошие (добрым словом вспоминаю Салмаси по патшизе, Боброву по физиологии, Митрофанова по анатомии, и почти все с клинических циклов). Всегда старались максимально понятно все объяснить, показать на пациентах.

От воспоминаний о некоторых преподах правда до сих пор холодный пот прошибает (Галаева по детскому пропеду и Чугунова с цикла по детской нефрологии в Филатовке - вы до сих пор в моих кошмарах).

Конечно обучение на клинических кафедрах с 4 по 6 курс не сравнить с 1-3 курсами: занятия проходили прямо в больницах/поликлиниках, в виде цикла (т.е. ближайшие 2-5 недель ты изучаешь конкретную дисциплину каждый день - неврологию, офтальмологию, эндокринологию, челюстно-лицевую хирургию, инфекционные болезни, онкологию и т.д. (у нас были и во взрослых, и в детских больницах). Есть возможность посмотреть разные больнички, сравнить их между собой, ну и присмотреть будущее место работы, если зацепит)) До сих пор с теплотой вспоминаю столовую в 52 ГКБ (хз, как она сейчас называется).

С 3 курса еще можно посещать всякие студенческие кружки, в них много чего интересного рассказывали, можно было через них походить на дежурства с практикующими врачами в самые разные отделения и больницы. Посмотреть на работу врачей изнутри. Я так на 5 курсе походила в кружок  акушерства и гинекологии и на дежурства тоже, хотела в эту специальность уйти. Но посмотрев, как оно там на самом деле - не пошла. Потом еще в несколько ходила. А в итоге, получилось что вернулась в свое родное КЛД))

Показать полностью 1
109

Как побороть страх операции?

В ноябре прошлого года у меня обнаружили рак молочной железы. Прошла курс химиотерапии и таргетной терапии. Послезавтра у меня мастэктомия с установкой эспандера. Не могу справиться со страхом перед операцией. Головой понимаю, что не нужно бояться, но всё равно тревожусь. Подскажите как можно побороть этот страх.

Отличная работа, все прочитано!